Клинико-морфологические особенности язв желудка и двенадцатиперстной кишки в пожилом и старческом возрасте
Т.Л.Горшенин, Ал.Ан.Смирнов, Ал.Ал.Смирнов, А.А.Хасанов, Ш.Ф.Адылов
Госпиталь для ветеранов войн, Санкт-Петербург
Проанализированы результаты лечения 307 пациентов пожилого и старческого возраста, страдающих язвенной болезнью желудка и двенадцатиперстной кишки. Выделены три варианта течения язвенных поражений гастродуоденального отдела пищеварительного канала. Отмечены особенности патогенетических механизмов язвообразования и клинических проявлений гастродуоденальных язв у людей старших возрастных групп. Показана необходимость коррекции терапии язвенной болезни у пациентов преклонного возраста с учетом сопутствующей патологии.
Язвенная болезнь (ЯБ) желудка (Ж) и двенадцатиперстной кишки (ДПК) относится к наиболее распространенной патологии системы пищеварения. У пациентов старших возрастных групп, учитывая атипичные клинические проявления заболевания со стертой клинической картиной, оказание медицинской помощи сопряжено с некоторыми медико-социальными проблемами [1,2]. Частота ЯБ Ж и ДПК у людей пожилого и старческого возраста колеблется от 10 до 23% [3].
Несмотря на несомненные достижения гастроэнтерологов показатели частоты осложнений ЯБ Ж и ДПК у больных, возраст которых составляет 60 лет и старше, не имеют тенденции к снижению [2,4,5]. В случаях гастродуоденальных язв у людей пожилого и старческого возраста выделяют три типа поражений желудка и двенадцатиперстной кишки. К первому варианту заболевания относится длительно протекающая ЯБ, симптомы которой впервые возникают в молодом или зрелом возрасте с сохранением чередования периодов обострений и ремиссий. Этот вариант течения ЯБ нередко определяется как «старая язва». Ко второму типу язвенных поражений Ж и ДПК у людей пожилого возраста относится так называемая «поздняя язвенная болезнь». В этих случаях заболевание впервые проявляется в пожилом или старческом возрасте. К третьему типу относятся острые (симптоматические) язвы, развитие которых обусловливается заболеваниями других органов и систем, приемом ряда лекарственных препаратов и некоторыми другими факторами [4].
Цель исследования — изучить особенности клинической картины ЯБ Ж и ДПК у людей пожилого и старческого возраста.
Материалы и методы исследования
В Санкт-Петербургском госпитале для ветеранов войн с 1998 по 2008 гг. по поводу язвы Ж или ДПК проходили обследование и лечение 307 пациентов в возрасте 60 лет и старше. Большинство контингента больных составляли женщины — 179 (58,3%). Средний возраст пациентов 77,5±4,7 лет. В 65 (21,2%) случаях больные поступали в госпиталь в экстренном порядке, а в 242 (78,8%) наблюдениях обследование и лечение проводилось планово в терапевтических отделениях стационара. Отмечена полиморбидность во всех случаях. У больных констатировано от двух до шести заболеваний.
У 85 (27,7%) пациентов диагностирована длительно протекающая так называемая «старая» ЯБ. В 170 случаях (55,4%) констатирован «поздний» тип гастродуоденальной язвы. Острые язвы Ж и ДПК отмечены в 52 (16,9%) случаях.
Всем больным, поступавшим в госпиталь, проводилось комплексное обследование, включавшее клинические и биохимические анализы крови и мочи, оценку состояния свертывающей системы крови, фиброгастро- дуоденоскопию, электрокардиографию, рентгенологические исследования, ультразвуковое исследование органов брюшной полости. По показаниям (с учетом противопоказаний) выполнялись компьютерная томография и рентгеноскопия желудка. При эндоскопическом исследовании Ж и ДПК особое внимание обращалось на локализацию, размеры и форму язвенных дефектов, а также состояние слизистой оболочки этих органов. Консервативное лечение больных осуществляли согласно рекомендациям Европейской ассоциации гастроэнтерологов (Маастрихт III, 2005 г.) [6-8].
Результаты исследования и их обсуждение
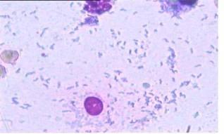
При длительно протекающей болезни язвенные дефекты, как правило, не превышали 1 см в диаметре. Такие размеры язв верифицированы в 68 случаях. В большинстве наблюдений (57 из 85, т.е. в 67,1%) «старая» язва располагается на задних стенках тела Ж или луковицы ДПК. Форма язв оказывалась преимущественно округлой (44%) или овальной (35%). В случаях «позднего» варианта ЯБ дефекты слизистой и располагались плотно. Во всех случаях края язвы выстилались уплощенным гиперхромным мукоидным эпителием, напоминающим эпителиоциты пилорического отдела желудка (желудочная метаплазия). В зонах желудочной метаплазии в 88% случаев у больных обнаруживался Helicobacter pylori (НР). В большинстве наблюдений степень инфицирования НР расценивалась как высокая (+++) — более 50 микробных тел в поле зрения (рис.).
Таблица 1
Распределение клинических наблюдений с учетом размеров язвенных дефектов
Число случаев с размерами язв (см)
Число случаев с размерами язв (см)
| Типы язв
|
в желудке
|
в двенадцатиперстной кишке
|
| |
0,3-1
|
1,1-2
|
2,1-3
|
>3,1
|
0,3-1
|
1,1-2
|
2,1-3
|
>3,1
|
Всего
|
| «Старая»
|
26
|
7
|
3
|
2
|
42
|
4
|
1
|
0
|
85
|
| «Поздняя»
|
48
|
21
|
9
|
5
|
55
|
27
|
4
|
1
|
170
|
| Острая
|
8
|
15
|
9
|
0
|
12
|
8
|
0
|
0
|
52
|
| Всего
|
82
|
43
|
21
|
7
|
99
|
39
|
5
|
1
|
307
|
оболочки с одинаковой частотой локализовались как в Ж, так и в ДПК. Преобладали язвы до 1 см в диаметре. Однако чаще, чем в случаях «старой» язвы, дефекты в слизистой оболочке представлялись гигантскими (табл.1).
При гистологическом исследовании биоптатов из дна и краев язвенных дефектов, выявлено, что у всех пациентов дно язвы составляли рыхлые некротические массы с прожилками фибрина, обильно инфильтрированные нейтрофильными лейкоцитами. Согласно рекомендациям Л.И.Аруина и соавт. [9] в зоне фибриноидного некроза можно было верифицировать два слоя: глубокий и поверхностный. Глубокий, так называемый эозинофильный, слой располагался на грануляционной ткани и на рубце, содержал фибробласты и макрофаги, вокруг которых формировались коллагеновые тяжи различной формы. Поверхностный слой располагался над глубоким, граничил с зоной экссудата и представлял из себя рыхлые глыбки деструктурированного фибрина, обильно пропитанного макрофагами и нейтрофилами. Глубокий и поверхностный слои фибриноидного некроза разделялись лейкоцитарной прослойкой. Зона грануляционной ткани в области дна язв оказывалась скле- розированной и местами переходила в рубцовую ткань. Зрелая грануляционная ткань, как правило, обнаруживалась в краях язвы и покрывалась регенерирующим эпителиальным пластом, играющим (по мнению А.С.Логинова и соавт. [10]) протективную роль. В зрелой грануляционной ткани дна язв наряду с признаками фибриноидного набухания и хронической воспалительной инфильтрации обнаруживался продуктивный васкулит микроциркуляторного русла. В большинстве случаев фокально определялись беспорядочно расположенные фибробласты. Рубцовая ткань в зоне язвенного дефекта не очерчивалась четкой границей и плавно формировалась из зрелого слоя грануляционной ткани. В зоне рубцовой ткани коллагеновые волокна приобретали грубый характер

Колонии Helicobacter pylori в железах слизистой оболочки антрального отдела желудка при степени инфицированно- сти +++
Острые язвы Ж и ДПК, отмечаемые у 52 пациентов, в размерах колебались от 2-3 мм до 2 см. В 32 случаях острые язвы локализовались в желудке, в 15 — в луковице ДПК, а у 5 больных констатировано сочетанное поражение Ж и ДПК. Макроскопически отмечались два вида острых язв: плоские (39 случаев, 73,6%) и кратерообразные (13 наблюдений, 26,4%). Острые язвы чаще всего (в 58% случаев) оказывались множественными, их форма выглядела округлой (52%) или овальной (31%), реже (17%) — полигональной. Дно острых язв, как правило, составляли некротические ткани с участками гематина. Иногда дно острых язв покрывалось серовато-желтым фибрином или сгустком крови. В отличие от хронических язв Ж и ДПК вокруг острых язв при гистологическом исследовании не обнаруживался периульцерозный воспалительный вал. Вместо него рядом с язвенными дефектами наблюдался ярко-красный ободок воспалительной гиперемии.
По клиническим проявлениям язвенной болезни у больных пожилого и старческого возраста можно выделить пять вариантов течения заболевания:
болевой, диспептический, смешанный, бессимптомный и латентный.
Для болевой формы длительно протекающей ЯБ Ж и ДПК характерны «сглаженность» болевых ощущений, отсутствие зависимости возникновения болей от приема пищи. Ранние, «голодные» и ночные боли констатированы только в каждом четвертом наблюдении. Диспептический вариант течения заболевания отмечен у 14 больных «старой» язвой. В этом случае преобладали жалобы пациентов на изжогу, тошноту, горечь во рту. В 21 (24,7%) случае диагностирован сочетанный вариант течения заболевания, при котором на фоне невыраженного болевого синдрома присутствовали проявления желудочной диспепсии. У 28 пациентов (32,9%) констатирован лавы», в клинической картине которой преобладали отрыжка, изжога, запоры, констатирован у 19 (11,2%) пациентов. Сочетанный вариант течения «поздней язвы» обнаружен в 81 случае. В 34 наблюдениях (20%) «поздней язвы» диагностирован латентный вариант, когда язвенная болезнь впервые проявлялась осложнениями.
При острых язвах чаще (24 случая) других вариантов течения заболевания преобладали латентные его формы. Как правило, на первое место выходили клинические проявления желудочно-кишечного кровотечения. Нередко прослеживалась связь манифестации острых язв Ж и ДПК, осложненных кровотечением, с приемом нестероидных противовоспалительных препаратов (табл. 2).
Таблица 2
Распределение типов язвенной болезни
| Варианты
|
Число случаев язвенных поражений по типам
|
|
| клинического
|
«старая»
|
«поздняя»
|
острая
|
Всего
|
| течения
|
в Ж
|
в ДПК
|
в Ж
|
в ДПК
|
в Ж
|
в ДПК
|
|
| Болевой
|
7
|
7
|
18
|
9
|
4
|
2
|
47
|
| Диспептический
|
6
|
8
|
10
|
9
|
3
|
1
|
37
|
| Сочетанный
|
10
|
11
|
63
|
18
|
8
|
4
|
114
|
| Бессимптомный
|
5
|
3
|
5
|
4
|
4
|
2
|
23
|
| Латентный
|
10
|
18
|
13
|
21
|
13
|
11
|
86
|
| Всего
|
38
|
47
|
109
|
61
|
32
|
20
|
307
|
тентный вариант, при котором язвы впервые проявлялись осложнениями (кровотечением, перфорацией, пенетрацией, рубцовой деформацией желудка и двенадцатиперстной кишки с формированием стеноза). У 8 больных (9,4%) ЯБ протекала бессимптомно и верифицирована как случайная находка при проведении профилактических эндоскопических исследований верхних отделов желудочно-кишечного тракта.
Так называемая «поздняя» язвенная болезнь — особая нозологическая форма, отличающаяся от классического варианта течения заболевания как по патогенезу, так и по клиническим проявлениям. В патогенезе «поздней» ЯБ особую роль играют факторы, способствующие ослаблению защитных свойств слизистой оболочки гастродуоденального отдела пищеварительного тракта у людей пожилого и старческого возраста [11,12]. У пациентов преклонного возраста так называемую «позднюю» ЯБ в основном (81%) удается диагностировать на основании данных инструментальных методов исследований. Сведения истории заболевания и истории жизни пациентов в этих случаях оказываются малоинформативными. Болевой вариант «поздней язвы» диагностирован у 27 пациентов. Болевые ощущения в этих случаях оказываются невыраженными и не сопровождаются четкой связью с приемом пищи. В 9 наблюдениях «поздней» ЯБ (5,3%) можно выделить бессимптомный вариант заболевания, когда язва обнаруживалась только как эндоскопическая находка без каких-либо клинических проявлений. Диспептический вариант «поздней яз-
Результаты терапии при ЯБ у пациентов старших возрастных групп с использованием схем противоязвенной терапии, рекомендованных Европейской ассоциацией гастроэнтерологов (Маастрихт III — 2005 г.), в большинстве случаев нельзя считать удовлетворительными. У больных пожилого и старческого возраста при гастродуоденальных язвах часто отмечается рефрактерность к традиционно и стандартно проводимому противоязвенному медикаментозному лечению. Купирование болевого и диспептического синдромов в этих случаях происходит медленнее, чем у больных с гастродуоденальными язвами, обследование и лечение которых осуществляется в молодом возрасте. У пациентов пожилого и старческого возраста язвы гастродуоденальной зоны заживают длительно и не во всех случаях удается достигнуть их полного рубцевания. Нередко рубцевание язв Ж и ДПК у пациентов пожилого возраста происходит с формированием грубых деформаций органа, обусловливающих стеноз пилородуоденальной зоны.
Эндоскопический контроль заживления гастродуоденальных язв проводили на 14-20 день лечения. Контроль проводился не всем пациентам в виду противопоказаний к фиброгастроскопии по причине сопутствующей патологии со стороны других органов и систем (особенно сердечно-сосудистой). Данные о результатах терапии у пациентов пожилого и старческого возраста при язве Ж и ДПК представлены в табл.3.
Таблица 3
| |
Число случаев поражений язвой
|
Всего (n = 203)
|
| Результаты лечения
|
«старой» (n = 67)
|
«поздней» (n = 101)
|
острой (n = 35)
|
| |
в Ж
|
в ДПК
|
в Ж
|
в ДПК
|
в Ж
|
в ДПК
|
| Рубцевание
|
18
|
5
|
41
|
12
|
14
|
15
|
105
|
| Уменьшение в размерах
|
15
|
4
|
26
|
8
|
6
|
0
|
59
|
| Без перемен
|
20
|
5
|
10
|
4
|
0
|
0
|
39
|
Распределение наблюдений ЯБ Ж и ДПК с учетом результатов терапии заболевания у пациентов пожилого и старческого возраста
В целом очевидно, что при язвенной болезни желудка и двенадцатиперстной кишки у людей пожилого и старческого возраста отмечаются как клинические, так и патогенетические особенности заболевания. Рост численности контингента людей пожилого и старческого возраста в человеческой популяции с большой долей вероятности позволяет прогнозировать увеличение численности группы больных, наблюдаемых по поводу язвенной болезни в старших возрастных группах. Данное обстоятельство позволяет рассматривать поиск путей улучшения результатов обследования и лечения больных язвенной болезнью у людей преклонного возраста как насущную задачу современной гастроэнтерологии.
Выводы
У больных старших возрастных групп при язвенной болезни желудка и двенадцатиперстной кишки отмечаются особенности клинического течения данного заболевания, не наблюдаемые у людей, страдающих гастродуоденальными язвами в молодом и зрелом возрасте.
Особенности морфологического строения гастродуоденальных язв у людей преклонного возраста следует учитывать при воздействии на язвенные дефекты во время эндоскопии.
При проведении противоязвенной терапии больным пожилого и старческого возраста особое внимание необходимо предавать полиморбидному фону, отмечаемому у этих пациентов, по причине которого возможны случаи полипрогмазии.
Необходимость улучшения результатов обследования и лечения людей старших возрастных групп при язвах желудка и двенадцатиперстной кишки побуждает к совершенствованию организации оказания медицинской помощи пациентам данной категории с преимущественным ее проведением в специализированных медицинских учреждениях.
Списоклитературы
Malfertheiner P., Megraud F., OMorain C. et al. Current concepts in the management of Helicobacter pylori infection: the Maastricht III Consensus Report // Gut. 2007. V.56. №7. P.772-781.
Гастроэнтерология: Национальное руководство / Под. ред. В.Т.Ивашкина, Т.Л.Лапиной. М.: ГЭОТАР-Медиа,
704 с.
Минушкин О.Н., Володин Д.В., Зверков И.В. и др. Возраст и эрадикационное лечение язвенной болезни двенадцатиперстной кишки // Терапевтический архив. 2007. №2. С.22-26.
Аруин Л.И., Капуллер Л.Л., Исаков В.А. Морфологическая диагностика болезней желудка и кишечника. М.: Триада-Х, 1998. 496 с.
Логинов А.С., Аруин Л.И., Ильченко А.А. Язвенная болезнь и Helicobacter pylori. Новые аспекты патогенетической терапии. М., 1993. 230 с.
Лазебник Л.Б., Дроздов В.Н. Клинические проявления болезни и пожилой возраст // Заболевания органов пищеварения у пожилых. М.: Анахарсис, 2003. С.25-34.
Звенигородская Л.А., Горуновская Л.А. Язвенная болезнь у пожилых лиц, клинико-морфологические особенности. Проблемы лекарственной терапии // Губернские медицинские вести. 2002. №2. С.26-27.
|