| БЕЛОРУССКИЙ ГОСУДАРСТВЕННЫЙ УНИВЕРСИТЕТ
Выпускная работа по
«Основам информационных технологий» 3ФР90
Магистрант
физического факультета
кафедры биофизики
Мухортова Анна Владимировна
Руководители:
ведущий научный сотрудник,
кандидат биологических наук
Горудко Ирина Владимировна,
старший преподаватель
Кожич Павел Павлович
Минск – 2010 г.
ОГЛАВЛЕНИЕ.. 2
СПИСОК ОБОЗНАЧЕНИЙ КО ВСЕЙ ВЫПУСКНОЙ РАБОТЕ.. 3
РЕФЕРАТ НА ТЕМУ «ИСПОЛЬЗОВАНИЕ ИТ В ИССЛЕДОВАНИЯХ БИОФИЗИЧЕСКИХ СВОЙСТВ КЛЕТОК КРОВИ». 4
Введение. 4
Глава 1 Обзор литературы.. 5
1.1 Информационные технологии в научных исследованиях. 5
1.2 Origin®.. 7
Глава 2 Методика исследования. 9
2.1 Объекты и материалы исследования. 9
2.2 Методика выделения нейтрофилов. 9
2.3 Экстракция холестерина из плазматической мембраны нейтрофилов и его количественное определение. 9
2.4 Измерение генерации H2
O2
нейтрофилами. 11
2.5 Исследование агрегации нейтрофилов. 11
Глава 3 Результаты исследований и их обсуждение. 12
3.1 Изучение особенностей лектин-индуцированной продукции Н2
О2
нейтрофилами с пониженным содержанием холестерина. 12
3.2 Влияние MβCD на лектин-индуцированную агрегацию нейтрофилов. 16
Заключение. 18
Список литературы к реферату. 18
ПРЕДМЕТНЫЙ УКАЗАТЕЛЬ К РЕФЕРАТУ.. 19
ИНТЕРНЕТ РЕСУРСЫ В ПРЕДМЕТНОЙ ОБЛАСТИ ИССЛЕДОВАНИЯ.. 20
ДЕЙСТВУЮЩИЙ ЛИЧНЫЙ САЙТ В WWW (ГИПЕРССЫЛКА) 21
ГРАФ НАУЧНЫХ ИНТЕРЕСОВ.. 22
ТЕСТОВЫЕ ВОПРОСЫ ПО ОСНОВАМ ИНФОРМАЦИОННЫХ ТЕХНОЛОГИЙ.. 23
ПРЕЗЕНТАЦИЯ МАГИСТЕРСКОЙ ДИССЕРТАЦИИ.. 24
СПИСОК ЛИТЕРАТУРЫ К ВЫПУСКНОЙ РАБОТЕ.. 25
ПРИЛОЖЕНИЕ 1. 26
ИТ (информационные технологии) – совокупность методов, производственных процессов и программно-технических средств, объединенных в технологическую цепочку, обеспечивающую сбор, хранение, обработку, вывод и распространение информации.
MbCD – метил-бета-циклодекстрин.
Введение
Бурное развитие информационных технологий (ИТ) за последние два десятилетия вызвало существенные изменения почти всех сфер деятельности человека. Научные исследования начали изменяться под влиянием ИТ задолго до массового внедрения информационных технологий как в повседневный быт, так и в другие сферы профессиональной деятельности. Со временем использование ИТ в процессе получения научных знаний перестало ограничиваться расчетными моделями, и проникло на каждый из этапов научного исследования.
Действительно, на начальном этапе изучения литературы и знакомства с проблемой ключевую роль играет поиск по электронным базам данных статей и монографий по рассматриваемому вопросу. На этапе построения теоретической модели значительную помощь могут оказывать системы аналитических вычислений. ИТ повсеместно используются при обработке экспериментальных данных, а также при оформлении результатов исследования для публикации.
Нет сомнений в том, что создание эффективных средств коммуникации значительно упростило процесс взаимодействия между учеными и научными сообществами в мире. С одной стороны, это привело к упрощению определенных этапов научного исследования и фокусированию на задаче исследования, с другой – к резкому увеличению потока научной информации, иногда не представляющей значительной ценности. С помощью ИТ стало возможным осуществлять поиск необходимых сведений не только в локально доступных источниках, но и в научных базах данных по всему миру. Помимо этого, возникла возможность улучшить проведение координированных исследований в пространственно разнесенных лабораториях.
Таким образом, развитие ИТ способствовало развитию сферы поиска научных данных и взаимодействия между учеными. Также нельзя не учитывать тот факт, что на сегодняшний день как теоретические, так и прикладные исследования требуют применение ряда ИТ на всех этапах проведения.
Особое значение имеет использование ИТ в процессе проведения измерений. Практически вся используемая в научных исследованиях техника основана на применении микроэлектроники. Следовательно, каждый из приборов должен обладать цепями преобразования аналоговой информации, получаемой от исследуемого объекта, в цифровой вид, доступный для обработки.
Данный реферат затрагивает вопросы исследований в области биофизики. Биологические системы активно взаимодействуют с внешней средой, обмениваются энергией и веществом, а также обладают малым временем жизни. Вышеперечисленные факты значительно усложняют получение статистически значимых результатов и требуют использования высокочувствительных и селективных методов, не приводящих к разрушению самой системы. Участие ИТ проявляется на всех этапах исследования – от процесса передачи информации от физического прибора к компьютеру до обработки результатов измерений – и является неотделимым от научного исследования.
В данном реферате освещается ряд программных продуктов, наиболее часто применяемых в физических исследованиях, и дается некоторое количество примеров их применения в процессе проведения исследований в указанной выше области.
Глава 1 Обзор литературы
Несколько десятилетий назад единственным способом накопления информации по интересующей исследователя тематике был анализ традиционных печатных источников информации – книги, журналы, справочники. Для получения более-менее законченного представления о предмете исследований необходимо тщательно выбирать и анализировать имеющуюся в наличии литературу. Появление сети Интернет за считанные годы изменило представление об источниках информации и процессе поиска.
На сегодняшний день поиск информации в сети Интернет является самым эффективным способом накопления литературы по тематике исследования. В сети Интернет существуют как специализированные базы статей по определенным тематикам, так и общие средства поиска.
Так, среди общих поисковых систем можно отметить Google Scholar. Разнообразие критериев поиска, выделение списка наиболее цитируемых авторов, автоматическое нахождение свободных для доступа публикаций (что особенно актуально, учитывая значительную стоимость подписки на электронные публикации) позволяют сравнительно быстро найти требуемые статьи. Тем не менее, можно отметить некоторую разобщенность выдачи результатов поиска.
Примером специализированной научной поисковой системы является система Scirus, позволяющая осуществлять полнотекстовый поиск по статьям журналов большинства крупных иностранных издательств (порядка 17 млн. статей), статьям в крупных архивах статей и препринтов, научным ресурсам Интернет (более 250 млн. проиндексированных страниц). Система Science Research Portal позволяет осуществлять полнотекстовый поиск в журналах многих крупных научных издательств, таких как Elsevier, Highwire, IEEE, Nature, Taylor & Francis и др. Ищет статьи и документы в открытых научных базах данных: Directory of Open Access Journals, Library of Congress Online Catalog, Science.gov и Scientific News.
Особый интерес для исследователей в области биофизики представляют системы Medline и HighWire Press, позволяющие осуществлять поиск по статьям медицинской тематики. Бесплатной версией базы данных MEDLINE – самой крупной базы данных опубликованной медицинской информации в мире, охватывающей около 75% всех мировых изданий – является PubMed. Эта текстовая база данных медицинских публикаций на английском языке создана на основе раздела биотехнология национальной медицинской библиотеки США (National Library of Medicine, NLM) национальным центром биотехнологической информации (National Center for Biotechnology Information, NCBI) США. На сегодняшний день документировано около 3,800 биомедицинских изданий. Ежегодно база данных PubMed увеличивается на 500.000 документов. Поиск происходит по принципу Medical Subject Headings (MeSH).
Анализ данных последних лет позволяет утверждать, что в настоящее время одним из актуальных направлений медицинской биофизики является изучение процессов модификации функциональной активности клеток крови в присутствие различных физико-химических факторов. Ярким примером проведения исследований по данной тематике является выявление молекулярных механизмов функциональных свойств нейтрофилов и способов их модификации. Нейтрофилы являются центральными участниками воспалительной реакции, которая сопровождает протекание различных патологических процессов – атеросклероза, диабета, рака, болезни Альцгеймера и ишемической болезни сердца. Поэтому глубокое изучение функциональных свойств нейтрофилов и способов их модификации имеет большое значение не только для фундаментальной биологии, но и для практической медицины, постановки правильного диагноза, контроля эффективности лечения, профилактики заболеваний.
Ряд часто встречающихся патологий – тиреотоксикоз, анемия, атеросклероз – протекают на фоне гипо- или гипер- холестеринемии, которая может приводить к изменению доли мембранного холестерина в различных типах клеток. Изменение содержания холестерина в нейтрофилах влечет за собой изменение механических свойств и вязкости их плазматической мембраны, что, в свою очередь, может приводить к модификации функциональной активности клеток, так как свойства и функционирование различных мембранных белков и их комплексов – рецепторов, ферментов, ионных каналов – зависят от состояния мембраны клеток.
На поверхности нейтрофилов экспрессировано значительное количество углеводных структур, которые входят в состав мембранных гликорецепторов и легко выявляются на основании связывания клеток с лектинами. Лектины представляют собой белки неиммунной природы, обладающие свойством обратимо и избирательно связывать углеводные компоненты различных типов гликоконьюгатов, и являются активными стимуляторами функциональных свойств нейтрофилов.
Несмотря на то, что взаимосвязь функциональных свойств нейтрофилов и изменения липидного состава клеточных мембран не вызывает сомнений, данная проблема изучена недостаточно. Исследование роли холестерина в реализации функциональных свойств нейтрофилов при действии лектинов важно не только для понимания механизмов передачи сигналов, но и является ценным для выявления принципиально новых подходов профилактики и лечения социально-значимых заболеваний, связанных с развитием воспалительной реакции и окислительного стресса.
Методики исследования, использованные в данной работе, достаточно хорошо описаны в литературе. Флуоресцентная спектроскопия является хорошо изученным методом исследования биосистем. Теоретические основы флуоресцентной спектроскопии молекул вошли в книгу известного спектроскописта Дж. Лаковича [1]. Флуоресцентная спектроскопия дает информацию о физико-химических свойствах среды, таких как строение молекул, природа химических связей, межмолекулярные взаимодействия, позволяет определить качественно и количественно состав среды. Созданные на основе флуоресцентной спектроскопии, флуориметрические методы анализа позволяют получать информацию о концентрациях веществ в исследуемом образце и оценивать кинетические характеристики химических реакций.
Обработка полученных данных требует специализированного знания программных пакетов обработки, поскольку программное обеспечение, поступающее в комплекте с приборами, зачастую не позволяет осуществить надлежащий и полный анализ получаемых экспериментальных данных.
Так, определение характеристических параметров, численную и статистическую обработку полученных данных, а также графическое представление имеющихся данных (а также последующее оформление их для публикации) удобно производить с использованием следующих программных средств: Microsoft Office Excel, Origin, Mathematica, MatLab и Microsoft Office Word. В данной работе рассмотрим обработку данных с использованием Origin.
1.2
Origin®
Origin – пакет программ фирмы Origin Lab Corporation, предназначенный для численного анализа данных и научной графики, работающий под операционной системой Microsoft Windows. В целом Origin ориентирован на исследователя, которому необходимо обрабатывать и визуализировать большие объемы информации (например, данные, получаемые с различных датчиков и т.п.).
Origin поддерживает создание двухмерной и трехмерной графики при помощи готовых шаблонов, доступных для редактирования пользователем. Также возможно создавать новые собственные шаблоны. После создания изображения оно может быть отредактировано с помощью меню и диалогов, вызываемых двойным щелчком мыши на его элементах.
Полученные графики и таблицы можно экспортировать в ряд форматов, таких как PDF, WMF, TIFF, GIF, GPEG и д.р. Кроме того, графические данные, полученные с помощью Origin, можно легко вставить в документы Microsoft Word, CorelDraw, PowerPoint. Импорт данных – еще одна сильная сторона Origin. Доступен не только импорт ASCII-файлов, но и поддержка формата *.xls (формат табличного редактора Microsoft Excel) и других форматов.
Существенным преимуществом программы Origin является то, что для построения графиков сложных функций не требуется навыков программирования, так как интуитивно понятный интерфейс Origin позволяет легко запрограммировать функцию на языке, максимально приближенном к обычной математической записи и выбрать нужный тип графика.
Общая схема построения графиков такова: пользователь выделяет нужные данные, представленные в таблице, выбирает один из десятков типов предлагаемых двух- и трехмерных диаграмм, и система строит диаграмму или график. Настройка диаграмм выполняется в основном в диалоговых окнах, связанных со строящимся объектом.
В пакете Origin есть много возможностей оформления построенных графиков. Существует возможность выбора стиля, толщины, а также цвета линии. Редактирование осей позволяет выбирать начальное и конечное значения шкалы, шаг, с которым на данной шкале будут отображаться численные величины. Можно отобразить на графике невидимые по умолчанию верхнюю и правую шкалы. Кроме всего прочего, возможно также изменение цвета, размера, шрифта и стиля заголовков осей, задание параметров самих осей, а именно, толщины, длины, направления рисок и т.п. Кроме заголовков осей, выбор соответствующей функции позволяет вносить различные текстовые вставки, подписи для графиков и т.п.
С помощью Origin можно проводить численный анализ данных, включая различные статистические операции, обработку сигналов и т.п. Как и Excel, Origin позволяет совершать операции над столбцами таблицы (нормировка и т.п.). Доступна обработка данных с использованием различных стандартных функций или, при необходимости, с использованием функций, создаваемых пользователем [2]. Можно воспользоваться функциями линейного или полиномиального приближения. Помимо их в Origin имеется большой выбор функций (экспонента, уравнение Больцмана и т.п.), служащих для аппроксимации вводимых данных [2].
Origin позволяет проводить различные статистические исследования экспериментальных данных, такие как нахождение среднего и среднеквадратичного отклонения, поиск минимумов и максимумов и т.п. Origin также может сортировать данные отдельных столбцов, нескольких выделенных столбцов, выделенного диапазона рабочего листа или всего рабочего лист (например, по возрастанию, убыванию).
С помощью встроенной функции Screen Reeder можно с высокой точностью определить координаты любой точки графика.
Кроме всего прочего, предоставленная Origin возможность одновременного представления данных различных проектов на одном рисунке с использованием нескольких слоев существенно облегчает сравнительный анализ данных.
Описанные возможности – лишь часть имеющихся в Origin функций. Однако и их в большинстве случаев вполне достаточно для быстрой и удобной обработки экспериментально полученных данных.
Глава 2 Методика исследования
2.1
Объекты и материалы исследования
В работе были использованы метил-b-циклодекстрин (MbCD), b-циклодекстрин (bCD), Тритон Х-100, N-формил-Met-Leu-Phe (fMLP) были получены от фирмы “Sigma”(США), N-ацетил-D-глюкозамин (GlcNAc), декстран Т70 фирмы «Roth» (Германия); скополетин, пероксидаза хрена, азид натрия, лимфопреп фирмы “Nycomed” (Норвегия); лектины фирмы НПК Лектинотест (Львов, Украина): Triticum aestivum L. (WGA), Urtica diooca L. (UDA), Glycine hispida L. (SBA), Canavalia ensiformis L. (ConA), Leucojum vernum L. (LVA), Arachis hypogaea L. (PNA), Caragana arborescens L. (CABA), Viscum Album L. (VAA), Phaseolus vulgaris L. (PHA-E/-L), Vicia sativa L. (VSA), Sambucus nigra L. (SNA).
Донорскую кровь, стабилизированную 3,8%-ным раствором цитрата натрия, получали из Республиканской станции переливания крови МЗ РБ. Нейтрофилы выделяли из 20 мл донорской крови. Кровь смешивали с 6% раствором декстрана Т70 в соотношении 5:1 и осаждали клеточную массу в течение 30-40 мин при комнатной температуре с использованием пластиковых шприцов. Слой обогащенной лейкоцитами плазмы собирали в пробирки и центрифугировали в течение 8 мин при 1500 об/мин с использованием лабораторной центрифуги ОПН-3, после этого примесь эритроцитов удаляли гипотоническим лизисом. К осадку клеток добавляли 3 мл охлажденных 0,2% NaCl, затем 3 мл 1,6% NaCl и 3 мл фосфатно-солевого буфера (PBS), не содержащего Mg2+
и Ca2+
(pH 7,3; 137 мМ NaCl; 2,7 мМ KCl: 10 мМ Na2
HPO4
/ KH2
PO4
) и аккуратно перемешивали. Полученную суспензию центрифугировали в течение 5 мин при 1500 об/мин. Осадок клеток ресуспендировали в 6 мл PBS и наслаивали на 3 мл лимфопрепа. Центрифугировали в течение 15 мин при 1500 об/мин при комнатной температуре. Полученный осадок нейтрофилов отмывали в буфере PBS в течение 6 мин при 1500 об/мин. Отмытые нейтрофилы суспендировали в PBS и хранили при 4°С в течение нескольких часов.
2.3 Экстракция холестерин
а из плазматической мембраны нейтрофилов и его количественное определение
Для экстрагирования холестерина из плазматической мембраны нейтрофилов были использованы циклодекстрины двух видов – МbCD и bCD. Для анализа действия циклодекстринов на нейтрофилы и подбора оптимальных условий эксперимента по экстракции холестерина были протестированы различные концентрации данных веществ при варьировании их времен инкубирования с клетками.
Выделенные нейтрофилы инкубировали при 37°С в отсутствие (контроль) или в присутствие 10 мМ раствора МβCD или 15 мМ βCD в течение 5, 10, 20 или 30 мин. Затем каждую пробу центрифугировали 10 мин при 3000 об/мин. Содержание холестерина в полученных супернатантах нейтрофилов определяли спектрофотометрически с использованием соответствующего набора фирмы Анализ-Х (Минск, Беларусь) по интенсивности окраски исследуемой пробы. Интенсивность окраски пропорциональна содержанию холестерина в ней.
Содержание холестерина в исследуемой пробе рассчитывали как процент от общего содержания холестерина в клетках, лизированных под действием 0,1% Тритона Х-100 (рисунок 2.1).

Рисунок 2.1 – Выход холестерина из нейтрофилов, обработанных 15 мМ bCD и 10мМ MbCD
При этом условия обработки циклодекстрин
ами были подобраны таким образом, чтобы жизнеспособность клеток не нарушалась.
Активность лактатдегидрогеназы (ЛДГ) в супернатантах определяли для оценки жизнеспособности нейтрофилов после инкубирования в присутствии МβCD или βCD с использованием набора реагентов фирмы “Анализ Х” (Минск, Беларусь).
Кинетический метод определения каталитической активности ЛДГ основан на ферментативной реакции:

Восстановленная форма никотинамидадениндинуклеотида HAДH имеет выраженный максимум поглощения в ультрафиолетовой области на 340 нм, тогда как окисленная форма HAД+
этого максимума не имеет. Различия в поглощении НАД+
и НАДН между 300 и 400 нм обусловлены изменениями никотинамидного кольца при окислении или восстановлении.
Такие различия в спектрах поглощения позволяют следить за ходом ферментативной реакции, например, по уменьшению величины оптической плотности А на длине волны 340 нм, т.е. по уменьшению содержания HAДH в анализируемом образце.
В таблице 2.1 представлена активность ЛДГ в супернатанте необработанных клеток (контроль) и клеток, обработанных в bCD 15 мМ в течение 15 и 30 мин, относительно активности ЛДГ в супернатанте клеток, обработанных 0,1% Тритоном Х-100.
Таблица 2.1 – Выход ЛДГ из нейтрофилов после воздействия bCD 15мМ
| Активность ЛДГ (% от общей активности фермента)
|
| Время обработки bCD
|
15 мин
|
30 мин
|
| Контроль
|
12,9 ± 7,9
|
| bCD 15мМ
|
12,4 ± 1,8
|
10,4 ± 0,9
|
Таким образом, можно видеть, что воздействие на клетки bCD в течение 15 и 30 мин не оказывает значительного влияния на жизнеспособность клеток.
Продукцию Н2
О2
нейтрофилами оценивали флуоресцентным методом на компьютеризированном спектрофлуориметре LSF1211А (“СОЛАР”, Минск, Беларусь) с использованием скополетина в качестве субстрата пероксидазной реакции [3]. Лектины добавляли к 1,5 мл суспензии нейтрофилов (106
кл/мл в фосфатно-солевом буфере, 37°С), содержащей 1 мкМ скополетина, 20 мкг/мл пероксидазы хрена и 1 мМ NaN3
. Кинетику окисления скополетина регистрировали по уменьшению интенсивности флуоресценции при 460 нм (возбуждение при 350 нм). Для характеристики процесса лектин-индуцированной генерации Н2
О2
нейтрофилами использовали два параметра: скорость продукции Н2
О2
и длительность лаг-периода этого процесса, которая зависит от скорости сборки функционально активного НАДФН-оксидазного комплекса в плазматической мембране. Скорость продукции Н2
О2
клетками определяли как тангенс угла наклона линейного участка кинетической кривой, на котором происходит падение интенсивности флуоресценции скополетина в результате его окисления Н2
О2
. Лаг-период генерации H2
O2
принимали равным промежутку времени между моментом добавления лектина к суспензии клеток и началом уменьшения интенсивности флуоресценции на кинетической кривой (началом линейного участка).
Агрегацию нейтрофилов изучали путем записи кинетических кривых изменения светопропускания клеточных суспензий при 540 нм с применением компьютеризированного агрегометра АР2110 (“СОЛАР”, Минск, Беларусь). Степень агрегации определяли как максимальное значение светопропускания клеточных суспензий на агрегационной кривой после инициирования процесса агрегации [3].
Стабильность WGA-индуцированных агрегатов нейтрофилов определяли по образованию межклеточных контактов, устойчивых к действию гаптенного углевода GlcNAc [3]. Как показано на рисунке 2.2, через 4-5 мин после добавления лектина (WGA) величина светопропускания клеточной суспензии достигала максимального значения и агрегационная кривая выходила на стационарный уровень. После достижения такого динамического равновесия в суспензию клеток для индукции дезагрегационного ответа добавляли GlcNАc и в течение 5 мин продолжали непрерывную запись кинетической кривой изменения светопропускания клеточных суспензий.

Рисунок 2.2 – Кинетические кривые WGA-индуцированной агрегации нейтрофилов и их дезагрегации при действии GlcNAc (22 мг/мл) в отсутствие (1) и присутствие (2) МβCD. I и I0
– параметры, используемые для расчета R. Нейтрофилы человека инкубировали в течение 10 мин при 37°С в присутствии MβCD (10 мМ) до внесения WGA (7,5 мкг/мл)
Для количественной характеристики стабильности агрегатов был введен параметр стабильности R
, который рассчитывали по формуле:
,
где R
– параметр стабильности;
I
− значение светопропускания клеточной суспензии через 5 мин после добавления гаптенного углевода;
I
0
− максимальное изменение величины светопропускания суспензии клеток в процессе агрегации.
Параметр стабильности может иметь следующие предельные значения: R
= 0% – все клеточные агрегаты разрушаются под действием гаптенного углевода и R
= 100% – все клеточные агрегаты полностью устойчивы и нечувствительны к действию гаптенного углевода.
Глава 3 Результаты исследований и их обсуждение
3.1 Изучение особенностей лектин
-индуцированной продукции Н2
О2
нейтрофилами с пониженным содержанием холестерина
Для исследования особенностей лектин-индуцированной продукции Н2
О2
нейтрофилами с пониженным содержанием холестерина регистрировали кинетики тушения флуоресценции скополетина, возникающие при взаимодействии молекулы скополетина с молекулой пероксида водорода, продуцируемого нейтрофилами.
Для характеристики процесса лектин-индуцированной генерации Н2
О2
нейтрофилами использовали два параметра:
1. скорость продукции Н2
О2
– численно равна модулю тангенса максимального угла наклона линейного участка кинетической кривой;
2. длительность лаг-периода продукции Н2
О2
(зависит от скорости сборки функционально активного НАДФН-оксидазного комплекса в плазматической мембране) – определяется длинной линейного горизонтального участка кинетической кривой от момента добавления в пробу лектина до момента начала спада (тушения флуоресценции).
Следует отметить, что программа регистрации данных на использованном спектрофлуориметре позволяет выводить данные в формате ASCII, однако не обладает возможностью для их первоначальной обработки. В таком виде полученные экспериментальными данными могут быть импортированы в программу Origin (см. рисунок 3.1) для графической визуализации и последующего сохранения проекта в виде рисунка, который может быть вставлен потом в текстовый документ.

Рисунок 3.1 – Графическая визуализация кинетик тушения скополетина в программе Origin
В программе Origin выполняется нормировка полученной кинетики на максимальное экспериментальное значение, чтобы выразить интенсивность сигнала в относительных величинах. Кроме того, оптимальным образом подбираются стили графической визуализации данных (стили, толщины, цвета линий и шрифтов). Для лучшего восприятия графической информации кинетические кривые тушения флуоресценции скополетина в пробах с различным типов нейтрофилов – обработанные и необработанные MβCD – представляются в одном проекте (на одном рисунке) с использованием нескольких слоев. Это позволяет проследить изменение выбранных характеристических параметров процессов, происходящих в системе при модификации свойств плазматической мембраны нейтрофилов.
Стоит отметить, что для получения достоверных результатов в биофизических исследованиях необходимо проведение серии экспериментов и дальнейшая статистическая обработка результатов. Анализ экспериментальных кривых – аппроксимацию линейного участка и последующую статистическую обработку результатов – также удобно производить при помощи средств Origin (рисунок 3.2).

Рисунок 3.2 – Графическая визуализация кинетик тушения скополетина в программе Origin (аппроксимация линейного участка кинетической кривой)
В ходе экспериментов было обнаружено, что базальный уровень флуоресценции скополетина, находящегося в клеточной среде в отсутствие и в присутствие MbCD, практически не изменялся (рисунок 3.3, кривая 1). При добавлении лектина ConA к суспензии клеток после небольшого промежутка времени (лаг-периода) наблюдалось снижение интенсивности флуоресценции скополетина (рисунок 3.3, кривая 2), свидетельствующее об активации НАДФН-оксидазы и продукции Н2
О2
лектин-активированными нейтрофилами.
В присутствии MbCD наблюдалось увеличение лаг-периода активации НАДФН-оксидазы ConA-активированных нейтрофилов с последующим более быстрым снижением интенсивности флуоресценции скополетина, свидетельствующим об увеличении продукции Н2
О2
(рисунок 3.3, кривая 3).

Рисунок 3.3 – Кинетические кривые интенсивности флуоресценции скополетина в суспензии контрольных (1) и ConA-активированных нейтрофилов в отсутствие (2) и в присутствии MβCD (3). Нейтрофилы инкубировали в течение 10 мин при 37°С в присутствии MβCD (10 мМ) до внесения Con A (20 мкг/мл)
При действии почти всех использованных лектинов лаг-период активации НАДФН-оксидазного комплекса обработанных клеток увеличивался по сравнению с аналогичным параметром для необработанных клеток.
При изучении кинетики генерации Н2
О2
нейтрофилами при действии растительных лектинов было выявлено два различных эффекта влияния экстракции холестерина из мембраны на скорость генерации Н2
О2
. Обработка нейтрофилов MβCD увеличивала скорость окисления скополетина при действии таких лектинов, как САВА, PHA-L, PHA-E, UDA, WGA и Con A (рисунок 3.4A) – т.е. для большинства тестируемых лектинов наблюдался эффект праймирования НАДФН-оксидазной системы обработанных MbCD нейтрофилов. Однако, экстракция холестерина MβCD уменьшала скорость SBA- и SNA-индуцированной генерации пероксида водорода нейтрофилами (рисунок 3.4Б).
Итак, увеличение лаг-периода и увеличение скорости лектин-индуцированной продукции Н2
О2
нейтрофилами после обработки циклодекстринами свидетельствуют о нарушении динамики сборки НАДФН-оксидазного комплекса в плазматической мембране обедненной холестерином. Не исключено, что ключевую роль в этих процессах играет специфическая кластеризация мембранных гликорецепторов, необходимая для эффективной агрегации клеток [4].
Рисунок 3.4 – Кинетические кривые интенсивности флуоресценции скополетина в суспензии контрольных (1) и PHA-L- (A) и SNA-активированных (Б) нейтрофилов в отсутствие (2) и в присутствии MβCD (3). Нейтрофилы инкубировали в течение 10 мин при 37°С в присутствии MβCD (10 мМ) до внесения лектинов (50 мкг/мл). Измерения проводили при 37°С
3.2 Влияние MβCD
на лектин-индуцированную агрегацию нейтрофилов
Турбидометрический метод изучения агрегации, предложенный Борном и О'Брайеном, является в настоящее время наиболее распространенным при исследовании агрегации нейтрофилов. Он основан на регистрации изменений светопропускания суспензии нейтрофилов в буфере.
Для подтверждения участия специфической кластеризации мембранных гликорецепторов в процессе сборки НАДФН-оскидазы было исследовано влияние MbCD на агрегацию нейтрофилов при действии лектина WGA. Специализированное программное обеспечение использованного агрегометра Agr Version 2.01, к сожалению, не обладает необходимыми возможностями для обработки полученных данных, однако позволяет выводить данные в формате ASCII, которые, опять же, в таком виде могут быть импортированы в Origin (см. ранее).
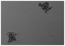
В качестве примера рисунке 3.5 представлена типичная кинетика WGA-индуцированной агрегации нейтрофилов, полученная при помощи – при добавлении к нейтрофилам лектина WGA наблюдается увеличение светопропускания суспензии клеток (рисунок 3.5А, кривая 1), что свидетельствует об образовании клеточных агрегатов. Методом световой микроскопии показано, что в образцах клеточных суспензий, зафиксированных при максимальной степени агрегации после добавления WGA, практически все клетки находились в агрегированном состоянии (рисунок 3.5В). После обработки клеток MbCD степень WGA-индуцированной агрегации нейтрофилов снижается по сравнению с контролем (рисунок 3.5А, кривая 2). На фотографиях суспензий видно, что обработка клеток MbCD при WGA-индуцированной агрегации приводила к уменьшению размеров агрегатов нейтрофилов и увеличению доли единичных, не находящихся в агрегатах клеток (рисунок 3.5Г).
Рисунок 3.5 – Микроскопический анализ WGA-индуцированных агрегатов нейтрофилов после обработки МβCD. А – кинетические кривые WGA-индуцированной агрегации нейтрофилов в отсутствие (1) и присутствие (2) MβCD. Б – одиночные клетки; В – агрегаты, образованные при добавлении WGA (7,5 мкг/мл) к суспензии нейтрофилов в PBS; Г – агрегаты, образованные после добавления WGA к суспензии нейтрофилов, предварительно инкубированной в течение 10 мин при 37°С в присутствии MβCD (10 мМ)
При исследовании стабильности WGA-агрегатов нейтрофилов было выявлено уменьшение степени GlcNAc-индуцированной дезагрегации нейтрофилов с пониженным содержанием холестерина (см. рисунок 2.2, кривая 2). Так, параметр стабильности WGA-индуцированных агрегатов интактных нейтрофилов составлял 85 ± 4%, в то время как этот же параметр для нейтрофилов, предварительно обработанных MbCD, достоверно увеличивался и составлял 97 ± 3% (P<0,05, n=7). Таким образом, у нейтрофилов с пониженным содержанием мембранного холестерина были достоверно снижены степень и скорость WGA-индуцированной агрегации, в то время как параметр стабильности R WGA-агрегатов нейтрофилов увеличивался.
Заключение
В представленной работе показано, что проведение биофизических исследований на современном уровне невозможно без использования информационных технологий на каждом из этапов исследований.
В работе был проведен анализ методик биофизических исследований, а именно – изучение процесса активации НАДФН-оксидазны и количественная характеристика процесса генерации пероксида водорода нейтрофилами (оценка лаг-периода сборки НАДФН-оксидазного комплекса и скорость генерации Н2
O2
), исследование процессов агрегации и дезагрегации клеток, а также средств обработки полученных результатов.
Произведение расчетов требует вдумчивого подхода к выбору вычислительных сред, поскольку для выполнения относительно несложной обработки больших массив данных лучше использовать специально созданные для этого программы (например, Origin®). В то время как мощные вычислительные системы (Mathematica, MatLab) могут увеличивать временные затраты на проведение вычислений без улучшения выходных результатов, однако позволяет создавать собственные алгоритмы расчета прикладных параметров исследуемых структур. В каждом конкретном примере исследования зачастую необходимо применение широкого спектра средств ИТ.
Программное обеспечение аппаратного исследовательского комплекса в ряде случаев требует интеграции в общий программный комплекс, поскольку в настоящее время одной из проблем использования спектра приборов требует как знаний по использованию программных продуктов приборов, так и часто ограничивает возможности применения результатов проведенных измерений.
Список литературы к реферату
1. Лакович Дж. Основы флуоресцентной спектроскопии // Пер. с англ. М., 1986. – 453 с.
2. Поликарпов, В.М. Современные методы компьютерной обработки экспериментальных данных: учебное пособие / В.М. Поликарпов, И.В. Ушаков, Ю.М. Головин. – Тамбов: Изд-во Тамб. гос. техн. ун-та, 2006. – 84 с.
3. Горудко, И.В. Лектин-индуцированное образование межклеточных контактов, устойчивых к действию гаптенных углеводов, и внутриклеточная сигнализация: дис. ... канд. биол. наук: 03.00.02 / И.В. Горудко – Мн., 2001. – 173 с.
4. Тимошенко, А.В. Кластеры мембранных рецепторов и их движение в клетках / А.В. Тимошенко, С.Н. Черенкевич // Успехи совр. биол. – 1990. – Т. 109, Вып. 2. – С. 206 – 218.
M
Mathematica, 7
, 19
MatLab, 7
, 19
O
Origin, 7
, 8
, 9
, 14
, 15
, 17
, 19
А
агрегация, 12
, 13
, 16
, 17
, 18
, 19
Б
биофизика, 4
, 5
, 6
, 14
, 19
И
ИТ, 2
, 3
, 4, 5
, 19
Л
лектин, 6
, 7
, 9
, 11
, 12
, 13
, 15
, 16
, 17
, 19
М
мембрана, 6
, 7
, 10
, 12
, 13
, 14
, 16
Н
НАДФН, 11
, 13
, 15
, 16
, 17
, 19
нейтрофил, 6
, 7
, 9
, 10
, 11
, 12
, 13
, 14
, 15
, 16
, 17
, 18
, 19
П
пероксид водорода, 11
, 12
, 13
, 16
, 19
С
скополетин, 9
, 11
, 12
, 13
, 14
, 15
, 16
, 17
Х
холестерин, 6
, 7
, 10
, 13
, 16
, 18
, 19
Ц
циклодексрин, 3
циклодекстрин, 9
, 10
, 11
, 13
, 14
, 15
, 16
, 17
, 18
http://vac.org.by – сайт Высшей аттестационной комиссии Республики Беларусь. Здесь собраны все нормативные акты, касающиеся оформления и защиты диссертаций.
http://www.ncbi.nlm.nih.gov/pubmed/ – архив статей медицинской направленности. Содержит достаточное количество публикаций в свободном доступе. Удобная система поиска.
www.scopus.com – расширенная поисковая система, созданная издательством Elsevier. Содержит информацию и по журналам других издательств.
www.arxiv.org – архив статей по естественнонаучным дисциплинам. Наибольшим положительным фактором является бесплатный доступ к материалам.
http://www.mathworks.com/support/books/index_by_languagetitle.html?language=15&sortby=title – библиотека русскоязычной литературы на сайте разработчика The MathWorks.
http://www.mathworks.com/ – официальный Web-ресурс разработчика MatLab The MathWorks.
www.sciencedirect.com – поисковая система по журналам издательства Elsevier. В РБ подписка на большинство журналов присутствует в библиотеке НАНБ. В свободном доступе – лишь рефераты статей.
www.sigmaaldrich.com – сайт ведущего производителя реактивов Sigma-Aldrich. Содержит расширенную поисковую систему с перекрестным поиском. Содержит ряд статей по методикам проведения исследований.
http://www.originlab.com – официальный сайт разработчика программного пакета Origin – фирмы OriginLab Corporation.
http://www.ann-muhortova.narod.ru/
магистранта Мухортова А.В. Физический факультет
Специальность: 01.04.00 – физика
| Смежные специальности
| 03.00.13 – физиология
|
| 1. Механизмы регуляции функций.
2. Моделирование функциональных состояний.
3. Разработка технологий и методов коррекции физиологических функций.
|
| 01.04.05 – оптика
|
| 1. Атомная и молекулярная спектроскопия, включая спектроскопию биообъектов, спектроскопия твердого тела. Люминесценция. Первичные фотохимические процессы. Физические основы фотографического процесса. Физиологическая оптика. Оптика мезоскопических структур, нанооптика.
|
|
Основная специальность
| 03.00.02 – биофизика
|
| 1. Биофизика клетки. Физико-химические свойства клетки и ее элементов. Биофизика клеточных процессов. Механические, осмотические и электрические явления в клетках. Биофизические механизмы клеточного гомеостаза.
2. Биофизика природных мембран. Структура мембран. Внутримолекулярная динамика и латеральная подвижность мембранных белков. Молекулярная динамика липидов в мембранах. Белок-липидные взаимодействия. Механизмы модификации структуры мембран, их белковых и липидных компонентов. Ионные насосы. Транспортеры. Транспортные АТФазы и другие системы переноса ионов. Системы переноса молекул неэлектролитов. Сопряжение транспорта ионов и метаболитов. Электронный транспорт и возбудимые мембраны. Взаимосвязь структуры и функции мембран и их компонентов. Биофизические механизмы функционирования мембранных рецепторов. Мембранные патологии.
3. Теоретическая и математическая биофизика. Термодинамика биологических процессов. Диссипативные структуры в биологии. Колебательные процессы в биологии. Модели биологических процессов.
|
|
Сопутствующие специальности
| 03.00.25 – гистология, цитология, клеточная биология
|
| 1. Структурная организация и основы жизнедеятельности клеток и тканей животного организма.
2. Разработка цитологических и гистологических методов исследования и экспериментальных моделей для изучения структурной организации и жизнедеятельности клеток и тканей.
|
| 03.00.28 – биоинформатика (включен в область исследований)
|
| 1. Механизмы трансдукции сигнала в клетке.
2. Структура и функции мембранных рецепторов и ферментативных комплексов.
|
|
<question type="close" id="090">
<text>Тег в языке HTML, который позволяет создавать бегущую строку на странице: </text>
<answers type="request">
<answer id="1" right="0"> applet </answer>
<answer id="2" right="1"> marquee </answer>
<answer id="3" right="0"> blockquote </answer>
<answer id="4" right="0"> mark </answer>
</answers>
</question>
<question type="close" id="590">
<text> Консолидацию данных в Excel можно произвести только при условии, что исходные области данных располагаются:</text>
<answers type="request">
<answer id="1" right="0">на одном листе </answer>
<answer id="2" right="0">в одной книге</answer>
<answer id="3" right="0">на листах с одинаковыми названиями в разных книгах</answer>
<answer id="4" right="1">на любом листе или книге, на других открытых листах или книгах</answer>
</answers>
</question>
Доступна через Интернет. Помимо этого, черно-белые выдачи находятся в приложении.
5. Кент, П. Microsoft Word 2003. Библия пользователя / П. Кент – Москва: Вильямс, 2004. – 784 с., ил.
6. Аленова, Н. Учебник по html для чайников / Н. Аленова // Постройка.ру [Электронный ресурс]. – 2001-2007. – Режим доступа: http://www.postroika.ru/html. – Дата доступа: 05.12.2010.
7. Кинкоф, Ш.В. Microsoft Office Excel 2003. Наглядное руководство / Ш.В. Кинкоф; пер. с англ. Н.В. Золотова. – Москва: НТ Пресс, 2007. – 416 с.
8. Кауфельд, Дж. Microsoft Office Access 2003 для «чайников» / Дж. Кауфельд; пер. с англ. – Москва, Санкт- Петербург, Киев: Диалектика, 2007. – 320 с.
9. Спека, М.В. Microsoft PowerPoint 2003: самоучитель / М.В. Спека. – Москва, Санкт- Петербург, Киев: Диалектика, 2004. – 368 с. ил.
10. Елисеев А.А. Применение компьютерных и информационных технологий в медицине / А.А. Елисеев [и др.] // Вестник Томского ГУ. – 2000. – №269. – С. 113-117.



|