|
ПАСПОРТНАЯ ЧАСТЬ
Ф.И.О.:
К. Иван Сергеевич
Время поступления в стационар:
24. 09. 2010 г. 10:00
Возраст:
25 лет (родился 11.07.1985 г.)
Пол:
мужской
Служебный адрес-в/ч-место работы:
1896 гарн. Финансовый отдел - инженер.
Постоянное место жительства:
г. Хабаровск
Кем направлен:
301 ОВКГ
Диагноз при поступлении
: Внутрисуставное повреждение правого коленного сустава. Гемартроз.
ЖАЛОБЫ
При поступлении предъявлял жалобы на боли в области правого коленного сустава при ходьбе.
На момент курации беспокоят боли в области правого коленного сустава при попытках сгибания; ограничение движений в суставе.
ANAMNESIS MORBI
21. 09. 2010 г. Во время игры в футбол упал на правую ногу. После падения попытался продолжить игру, но в правом колене возникла боль. Обратился в 301 ОВКГ. Выполнена пункция сустава, удалено 40 мл крови. Гипсовая иммобилизация конечности. От госпитализации отказался. 24.09.2010 г. боли в области коленного сустава усилились. Повторно обратился в 301 ОВКГ. Был госпитализирован в травматологическое отделение.
AMNESIS VITAE
Родился 11 июля 1985 года в г. Хабаровске. Родился в срок. Рос и развивался соответственно возрасту. Жилищно-бытовые условия хорошие. Питание разнообразное, полноценное, регулярное, пристрастия к определенным продуктам не отмечает. Вредные привычки: курение.
Перенесенные заболевания: простудные заболевания, краснуха в возрасте 16 лет. Венерические заболевания, туберкулез, вирусный гепатит и другие инфекционные заболевания у себя и родственников отрицает.
Наследственность не отягощена.
Аллергологический анамнез: аллергических реакций на пищевые продукты и лекарственные препараты не отмечает.
Гематрасфузии отрицает.
STATUS PRAESENS
Общий осмотр
Общее состояние удовлетворительное. Сознание ясное. Положение в постели активное. Настроение спокойное. Нормостеник. Внешний вид больного соответствует возрасту. Рост 187 см, вес 86 кг.
Кожные покровы чистые, бледно-розовые, тургор нормальный. Подкожно-жировой слой развит умеренно. Волосяной покров умеренный, оволосение по мужскому типу. Ногти прозрачные, миндалевидной формы.
Периферические лимфатические узлы не увеличены, при пальпации безболезненные, подвижные, неспаянные с окружающими тканями.
Правый коленный сустав отечный. Движения в суставе ограничены.
Органы дыхания
Жалоб со стороны дыхательной системы не предъявляет.
Форма грудной клетки – нормостеническая. Грудная клетка симметричная. Ширина межреберных промежутков обычная. Эпигастральный угол прямой. Над- и подключичные пространства симметричные. Тип дыхания брюшной. Число дыхательных движений в минуту – 18. Дыхание глубокое, ритмичное. Одышки нет.
При пальпации грудной клетки болезненности не выявляется; грудная клетка ригидна, эластичность сохранена.
При аускультации легких по всем легочным полям дыхание жесткое, хрипов нет. Крепитация, шум трения плевры не определяются.
Сердечно-сосудистая система
Жалоб со стороны сердечно-сосудистой системы не предъявляет.
Область сердца не изменена, патологической пульсации в области сердца и надчревия не выявлено.
При пальпации верхушечный толчок умеренной силы, определяется в 5 межреберье на 1,5 см кнутри от среднеключичной линии. Сонные артерии при пальпации мягкие. Артериальный пульс на лучевых артериях ритмичный, симметричный на обеих руках, удовлетворительного наполнения и напряжения, частота пульса – 72 ударов в минуту.
При аускультации сердца тоны сердца ясные, ритм правильный, частота сердечных сокращений 72 в мин. Патологические шумы не выслушиваются, шум трения перикарда не определяется. При аускультации сосудов патологии не найдено. Артериальное давление 120/80 мм.рт.ст.
Пищеварительная система
Жалоб со стороны пищеварительной системы не предъявляет.
Полость рта: видимые слизистые чистые, бледно-розового цвета без изъявлений, геморрагий, белесоватого налета, трещин и высыпаний, десна не кровоточат.
Живот овальный, симметричный, грыжевых выпячиваний не наблюдается. Брюшная стенка принимает участие в акте дыхания. Расширение подкожных вен не наблюдается.
При поверхностной ориентировочной пальпации живот мягкий, безболезненный.
Симптомов раздражения брюшины нет.
Мочевыделительная система
Жалоб со стороны мочевыделительной системы не предъявляет.
Область поясницы деформации. Поколачивание по поясничной области безболезненное с обеих сторон. Мочеиспускание безболезненное, свободное, 5-6 раз в сутки. Моча прозрачная, соломенно-желтого цвета.
STATUS LOCALIS TRAUMATOLOGICUS
На момент поступления левый коленный сустав резко увеличен в объеме, контуры его сглажены. Наблюдается ограничение пассивных и активных движений в правом коленном суставе из-за выраженного болевого и отечного синдромов. Кожа в области надколенника правого коленного сустава темно-фиолетового оттенка. При пункции сустава выделено 40 мл крови.
Выявляется симптом «баллотирования» надколенника. Движения в суставе ограничены: сгибание 100о
, разгибание 165о
. Выявляется «портняжный» симптом Чаклина. Симптом «ладони» Ланда положительный. Симптом «переднего выдвижного ящика» положительный.
На момент курации область правого коленного сустава иммобилизована с помощью гипсовой лонгеты.
Пальпация в области правого коленного сустава безболезненная.
ПРЕДВАРИТЕЛЬНЫЙ ДИАГНОЗ
Разрыв передней крестообразной связки. Повреждение медиального мениска. Гемартроз.
ПЛАН ОБСЛЕДОВАНИЯ
· Общий анализ крови
· Общий анализ мочи
· Анализ кала на я/г
· Анализ крови на RW и ВИЧ
· Анализ крови на сахар
· ЭКГ
· Биохимический анализ крови
· Флюорография органов грудной клетки
· Рентгенография правого коленного сустава в передней и боковой проекциях.
РЕЗУЛЬТАТЫ ЛАБОРАТОРНЫХ И СПЕЦИАЛЬНЫХ
МЕТОДОВ ИССЛЕДОВАНИЯ
Анализ крови
№23 от 27.09.2010г.
эритроциты – 5,69 х 1012
/л
гемоглобин - 140 г/л
гематокрит - 43%
тромбоциты – 238 х 109
/л
лейкоциты – 7,4 х109
/л
лимфоциты 32,4 %
СОЭ – 2 мм/ч
Общий анализ мочи
от 27.09.2010г.
цвет - желтый
прозрачность - прозрачная
реакция среды – кислая
удельный вес - 1030
белок – нет
лейкоциты - 3-4 в п/зр
эпителий - 1-2 в п/зр
бактерии - нет
Анализ кала на я/г:
Яйца гельминтов не обнаружены.
Биохимический анализ крови
№9 от 27.09.2010г.
сахар крови – 4,6 ммоль/л
билирубин общий – 11,1 мкмоль/л
прямой – 2,8 мкмоль/л
общий белок - 74 г/л
АлТ - 0,2 ммоль/с*л
АсТ - 0,2 ммоль/с*л
мочевина – 6,9 ммоль/л
Флюорография органов грудной клетки:
Легкие расправлены. Очаговых и инфильтративных изменений не выявлено. Корни легких структурны, не расширены. Синусы свободны. Контур купола диафрагмы ровный, четкий. Тень органов средостения обычного расположения и конфигурации.
ЭКГ:
Ритм синусовый, правильный. 65 уд/мин.
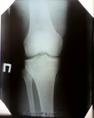
Рентгенограмма правого коленного сустава в двух проекциях
от 22.09.2010г.:
Форма сустава не изменена. Контуры четкие. В боковой проекции наблюдается затемнение костных структур, в связи с отеком. Межмышечные пространства расширены, в связи с отеком мягких тканей.

Боковая проекция
Прямая проекция
ОБОСНОВАНИЕ ДИАГНОЗА
На основании
1) жалоб больного при поступлении предъявлял жалобы на боли в области правого коленного сустава при ходьбе.
На момент курации беспокоят боли в области правого коленного сустава при попытках сгибания; ограничение движений в суставе.
2) анамнеза заболевания: 21.09.2010г. во время игры в футбол упал на правую ногу. После падения попытался продолжить игру, но в правом колене возникла боль. Обратился в 301 ОВКГ. Выполнена пункция сустава, удалено 40 мл крови. Гипсовая иммобилизация конечности. От госпитализации отказался. 24.09.2010 г. боли в области коленного сустава усилились. 3) status localis traumatologicus: на момент поступления левый коленный сустав резко увеличен в объеме, контуры его сглажены. Наблюдается ограничение пассивных и активных движений в правом коленном суставе из-за выраженного болевого и отечного синдромов. Кожа в области надколенника правого коленного сустава темно-фиолетового оттенка. При пункции сустава выделено 40 мл крови.
Выявляется симптом «баллотирования» надколенника. Движения в суставе ограничены: сгибание 100о
, разгибание 165о
. Выявляется «портняжный» симптом Чаклина. Симптом «ладони» Ланда положительный. Симптом «переднего выдвижного ящика» положительный.
На момент курации область правого коленного сустава иммобилизована с помощью гипсовой лонгеты.
Пальпация в области правого коленного сустава безболезненная.
4) результатов дополнительных методов исследования: Рентгенограмма правого коленного сустава в двух проекциях от 22.09.2010г.: форма сустава не изменена. Контуры четкие. В боковой проекции наблюдается затемнение костных структур, в связи с отеком. Межмышечные пространства расширены, в связи с отеком мягких тканей.
выставлен клинический диагноз: Разрыв передней крестообразной связки. Повреждение медиального мениска. Гемартроз.
ОКОНЧАТЕЛЬНЫЙ ДИАГНОЗ
Разрыв передней крестообразной связки. Повреждение медиального мениска. Гемартроз.
ЛЕЧЕНИЕ
1. Режим - II (полупостельный)
2. Стол №15
3. Медикаментозная терапия:
Rp.: Sol. Analgini 50% - 2 ml
D.S. В/м при болях
4. Diclofenaс: 3.0 ml
D.S. в/м 1 р/д
5. Гипсовая иммобилизация правой конечности на неделю
7. Физиотерапевтическое лечение
ДНЕВНИК НАБЛЮДЕНИЯ ЗА БОЛЬНЫМ
28.09.2010г.
Жалобы на ограничение функций правого коленного сустава, сохранение болей при ходьбе. Общее состояние удовлетворительное. Положение в постели активное. Кожные покровы чистые, бледные. В легких дыхание везикулярное, хрипы не выслушиваются. ЧД - 18 в мин. Сердечные тоны ясные, ритмичные. ЧСС - 75 в мин, АД - 120/80 мм рт.ст. Живот при пальпации мягкий, безболезненный. В коленном суставе определяется отек. Лонгета фиксирована хорошо, не беспокоит.
29.09.2010г.
Жалобы на сохранение болей в суставе при ходьбе. Состояние удовлетворительное. По органам и системам без изменений. ЧД - 16 в мин. ЧСС - 88 в мин. АД - 120/80 мм рт.ст. Status localis traumatologicus: без отрицательной динамики.
30.09.2010г.
Жалобы на сохранение болей в коленном суставе при ходьбе, ограничение функции правого коленного сустава. Состояние удовлетворительное. По органам и системам органов без патологии. ЧСС - 79 в мин. АД - 120/75 мм рт.ст. Status localis traumatologicus: Гипсовая лонгета снята.
1.10.2010г.
Жалобы на сохранение болей в суставе при ходьбе. Состояние удовлетворительное. По органам и системам без изменений. ЧД - 16 в мин. ЧСС - 80 в мин. АД - 120/80 мм рт.ст. Status localis traumatologicus: без отрицательной динамики.
ЭПИКРИЗ
Больной Клинков Иван Сергеевич находится на стационарном лечении в травматологическом отделении 301 ОВКГ с 24.09.2010г. с диагнозом: Разрыв передней крестообразной связки. Повреждение медиального мениска. Гемартроз. При поступлении предъявлял жалобы на боли в области правого коленного сустава, ограничение его функции. Из анамнеза: 21.09.2010г. во время игры в футбол упал на правую ногу. После падения попытался продолжить игру, но в правом колене возникла боль. Обратился в 301 ОВКГ. Выполнена пункция сустава, удалено 40 мл крови. Гипсовая иммобилизация конечности. От госпитализации отказался. 24.09.2010 г. боли в области коленного сустава усилились. На момент поступления левый коленный сустав резко увеличен в объеме, контуры его сглажены. Наблюдается ограничение пассивных и активных движений в правом коленном суставе из-за выраженного болевого и отечного синдромов. Кожа в области надколенника правого коленного сустава темно-фиолетового оттенка. При пункции сустава выделено 40 мл крови. Выявляется симптом «баллотирования» надколенника. Движения в суставе ограничены: сгибание 100о
, разгибание 165о
. Выявляется «портняжный» симптом Чаклина. Симптом «ладони» Ланда положительный. Симптом «переднего выдвижного ящика» положительный. На момент курации область правого коленного сустава иммобилизована с помощью гипсовой лонгеты. Пальпация в области правого коленного сустава безболезненная.
Обследован. На рентгенограмме: форма сустава не изменена. Контуры четкие. В боковой проекции наблюдается затемнение костных структур, в связи с отеком. Межмышечные пространства расширены, в связи с отеком мягких тканей.
Проведено лечение: Анальгин при болях; пункция правого коленного сустава и удаление крови; гипсовая иммобилизация правого коленного сустава на неделю; физиотерапевтическое лечение, противовоспалительное лечение.
Рекомендовано:
- артроскопия правого коленного сустава
- продолжать физиотерапевтическое и противовоспалительное лечение.
Прогноз заболевания: для выздоровления, жизни и трудоспособности благоприятный.
|