Банк рефератов содержит более 364 тысяч рефератов, курсовых и дипломных работ, шпаргалок и докладов по различным дисциплинам: истории, психологии, экономике, менеджменту, философии, праву, экологии. А также изложения, сочинения по литературе, отчеты по практике, топики по английскому.
Полнотекстовый поиск
Всего работ:
364139
Теги названий
Разделы
Авиация и космонавтика (304)
Административное право (123)
Арбитражный процесс (23)
Архитектура (113)
Астрология (4)
Астрономия (4814)
Банковское дело (5227)
Безопасность жизнедеятельности (2616)
Биографии (3423)
Биология (4214)
Биология и химия (1518)
Биржевое дело (68)
Ботаника и сельское хоз-во (2836)
Бухгалтерский учет и аудит (8269)
Валютные отношения (50)
Ветеринария (50)
Военная кафедра (762)
ГДЗ (2)
География (5275)
Геодезия (30)
Геология (1222)
Геополитика (43)
Государство и право (20403)
Гражданское право и процесс (465)
Делопроизводство (19)
Деньги и кредит (108)
ЕГЭ (173)
Естествознание (96)
Журналистика (899)
ЗНО (54)
Зоология (34)
Издательское дело и полиграфия (476)
Инвестиции (106)
Иностранный язык (62791)
Информатика (3562)
Информатика, программирование (6444)
Исторические личности (2165)
История (21319)
История техники (766)
Кибернетика (64)
Коммуникации и связь (3145)
Компьютерные науки (60)
Косметология (17)
Краеведение и этнография (588)
Краткое содержание произведений (1000)
Криминалистика (106)
Криминология (48)
Криптология (3)
Кулинария (1167)
Культура и искусство (8485)
Культурология (537)
Литература : зарубежная (2044)
Литература и русский язык (11657)
Логика (532)
Логистика (21)
Маркетинг (7985)
Математика (3721)
Медицина, здоровье (10549)
Медицинские науки (88)
Международное публичное право (58)
Международное частное право (36)
Международные отношения (2257)
Менеджмент (12491)
Металлургия (91)
Москвоведение (797)
Музыка (1338)
Муниципальное право (24)
Налоги, налогообложение (214)
Наука и техника (1141)
Начертательная геометрия (3)
Оккультизм и уфология (8)
Остальные рефераты (21692)
Педагогика (7850)
Политология (3801)
Право (682)
Право, юриспруденция (2881)
Предпринимательство (475)
Прикладные науки (1)
Промышленность, производство (7100)
Психология (8692)
психология, педагогика (4121)
Радиоэлектроника (443)
Реклама (952)
Религия и мифология (2967)
Риторика (23)
Сексология (748)
Социология (4876)
Статистика (95)
Страхование (107)
Строительные науки (7)
Строительство (2004)
Схемотехника (15)
Таможенная система (663)
Теория государства и права (240)
Теория организации (39)
Теплотехника (25)
Технология (624)
Товароведение (16)
Транспорт (2652)
Трудовое право (136)
Туризм (90)
Уголовное право и процесс (406)
Управление (95)
Управленческие науки (24)
Физика (3462)
Физкультура и спорт (4482)
Философия (7216)
Финансовые науки (4592)
Финансы (5386)
Фотография (3)
Химия (2244)
Хозяйственное право (23)
Цифровые устройства (29)
Экологическое право (35)
Экология (4517)
Экономика (20644)
Экономико-математическое моделирование (666)
Экономическая география (119)
Экономическая теория (2573)
Этика (889)
Юриспруденция (288)
Языковедение (148)
Языкознание, филология (1140)

Реферат: Лучевая диагностика хронического панкреатита

Название: Лучевая диагностика хронического панкреатита
Раздел: Рефераты по медицине
Тип: реферат Добавлен 07:32:43 06 сентября 2011 Похожие работы
Просмотров: 675 Комментариев: 20 Оценило: 3 человек Средний балл: 5 Оценка: неизвестно     Скачать

МОСКОВСКИЙ ГОСУДАРСТВЕННЫЙ МЕДИКО-СТОМАТОЛОГИЧЕСКИЙ УНИВЕРСИТЕТ

Кафедра лучевой диагностики

Реферат

«Лучевая диагностика хронического панкреатита»

Выполнила студентка 3 курса

лечебного факультета

дневного отделения 26 группы

Савватеева А.И.

Москва

2011

Содержание

1. ВВЕДЕНИЕ

1.1. Эпидемиология хронического панкреатита

1.2. Классификация хронического панкреатита

2. ОСНОВНАЯ ЧАСТЬ

2.1. Лучевая диагностика

2.1.1. Обзорная рентгенография органов брюшной полости

2.1.2. Ультразвуковое исследование (УЗИ) поджелудочной железы

2.1.3 . Компьютерная томография (КТ) поджелудочной железы

2.1.4. Магнитно-резонансовая томография (МРТ)

2.1.5. Магнитно-резонансовая холангио-панкреатография

2.1.6. Эндоскопическая ретроградная панкреатохолангиография

2.1.7. Эндоскопическая ультрасонография (ЭУС)

2.1.8. Эндоскопическое исследование двенадцатиперстной кишки, желудка и пищевода

2.1.9. Ангиография поджелудочной железы

3. ЗАКЛЮЧЕНИЕ

4. СПИСОК ИСПОЛЬЗУЕМОЙ ЛИТЕРАТУРЫ

1. ВВЕДЕНИЕ

На сегодняшний день заболевания, протекающие со снижением ферментативной функции поджелудочной железы и слизистой оболочки тонкого кишечника, занимают значительное место в структуре болезней желудочно–кишечного тракта.Термином хронический панкреатит обозначают группу хронических заболеваний поджелудочной железы различной этиологии, преимущественно воспалительной природы, с фазово–прогрессирующими очаговыми, сегментарными или диффузными дегенеративными или деструктивными изменениями ее экзокринной ткани, атрофией железистых элементов (панкреоцитов) и замещением их соединительной (фиброзной) тканью, изменениями в протоковой системе поджелудочной железы с образованием кист и конкрементов, с различной степенью нарушения экзокринной и эндокринной функций.

1.1.Эпидемиология хронического панкреатита

За последние тридцать лет отмечен более чем двухкратный рост числа хронических и острых панкреатитов. Частота госпитализаций пациентов с диагнозом хронического панкреатита в различных частях света приблизительно одинакова.

В развитых странах хронический панкреатит стал встречаться в более молодом возрасте. Пик заболеваемости среди мужчин наблюдается в возрасте от 45 до 54 лет, а затем снижается. У женщин пик заболеваемости приходится к 35 годам и далее остаётся стабильным.

В популяционных исследованиях было отмечено, что мужчины заболевают хроническим панкреатитом чаще (6.7 случаев на 100 тыс. населения), чем женщины (3.2 случаев на 100 тыс. населения).

Доля алкогольного панкреатита в последние годы возросла с 40 до 75%. Алкогольная этиология хронического панкреатита чаще встречается среди мужчин, а билиарнозависимый, гиперлипидемический и идиопатический хронический панкреатит чаще наблюдается у женщин.

Накапливается все больше фактов о связи хронического панкреатита с сахарным диабетом. Частота возникновения патологии постоянно растет за счет употребления алкоголя и улучшения методов диагностики.

1.2. Классификация хронического панкреатита

Существует большое количество различных классификаций панкреатита. Только в отечественной медицине насчитывается более 40 классификаций, основанных на разных признаках. Данное разнообразие классификаций не помогло, а затруднило развитие представлений о причинах, патогенезе, клинике, диагностике и лечении панкреатита.

Одной из наиболее часто используемых классификаций служит Марсельско-Римская классификация (1988 г.), которая представляет собой модификацию Марсельской классификации (1983 г.) В 1983 г. на II Международном симпозиуме в Марселе, было решено отказаться от выделения "острого рецидивирующего панкреатита" и "хронического рецидивирующего панкреатита", поскольку на практике часто не удается четко их разделить.

Принято решение выделить две формы хронического панкреатита:

1) Хронический панкреатит с фокальным некрозом, сегментарным или диффузным фиброзом с наличием (или без):

1. Кальцинатов.

2. Расширения и деформации протоковой системы железы.

3. Воспалительной инфильтрации, формирования кист.

2) Хронический обструктивный панкреатит, для которого характерно расширение и (или) деформация протоковой системы, атрофия паренхимы, диффузный фиброз проксимальнее места окклюзии протока.

В зависимости от клинической симптоматики предложено выделять хронический обструктивный панкреатит:

1) Латентный или субклинический хронический обструктивный панкреатит, когда в поджелудочной железе обнаруживаются морфологические изменения, нарушения функции органа, однако отчетливых клинических симптомов болезни нет.

2) Болевой хронический обструктивный панкреатит, характеризующийся наличием периодических или постоянных болей в животе.

3) Безболевой хронический обструктивный панкреатит, протекающий с экзо- и (или) эндокринной недостаточностью поджелудочной железы с осложнениями или без них.

При несомненных достоинствах Марсельская классификация 1983 г. мало применима в широкой клинической практике. Для ее использования необходимо выполнение эндоскопической ретроградной панкреатохолангиографии (ЭРПХГ) и биопсии железы с последующим гистологическим исследованием.

Прижизненное гистологическое (в отличии от цитологического) исследование поджелудочной железы вообще пока малоприемлемо, за исключением лиц, подвергшихся лапаротомии. Таким образом, получение основных параметров, необходимых для разделения панкреатитов соответственно Марсельской классификации, встречает большие, почти непреодолимые трудности.

Возникла необходимость создания классификации близкой к Марсельской, но базирующейся в основном на выполнимых клинико-инструментальных данных.

Эта классификация включает три основных типа хронического панкреатита.

1) Хронический кальцифицирующий панкреатит.

Наиболее частая причина - алкоголь. В результате воспаления и изменения структуры мельчайших протоков поджелудочной железы происходит сгущение секрета с образованием пробок, богатых белком и кальцием. В этом процессе важную роль играет понижение концентрации литостатина (белка, препятствующего камнеобразованию).

2) Хронический обструктивный панкреатит.

Наблюдается при выраженных сужениях главного панкреатического протока или его крупных ветвей, либо патологии Фатерова соска. Причины развития: желчнокаменная болезнь, травма, опухоль, врожденные дефекты, алкоголь. Встречается нечасто.

3) Хронический паренхиматозно-фиброзный (воспалительный) панкреатит, также сравнительно нечастая форма.

Представленная классификация достаточно широко используется в развитых странах. Уязвимым местом считают выделение "кальцифицирующего панкреатита". К нему можно относить как случаи с наличием кальцинатов железы, так и с их отсутствием, допуская возможность их развития в будущем.

2. ОСНОВНАЯ ЧАСТЬ

2.1. Лучевая диагностика

2.1.1. Обзорная рентгенография органов брюшной полости

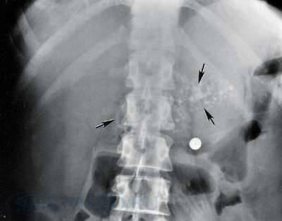
Обзорная рентгенографияверхнего отдела брюшной полос­ти имеет больше академическое значение в диагностике хронического панкреатита, од­нако характерные изменения удается выявить лишь у больных с выраженным обызвествлением паренхимы железы и/или доста­точно крупными обызвествленными конкрементами в панкреа­тическом протоке.

Типичным рентгенологическим признаком хронического панкреатита является кальциноз железы с характерной локализацией вблизи II поясничного позвонка.

Наиболее частой причиной кальциноза бывает алкоголь, но его причиной могут стать также тяжелая форма белково-калорийной недостаточности питания, гиперпаратиреоз, наследственный и посттравматический панкреатит.

Рис. 1. Рентгенография органов брюшной полости. Определяются множественные кальцификаты в поджелудочной железе, характерные для хронического панкреатита.

2.1.2. Ультразвуковое исследование (УЗИ) поджелудочной железы

УЗИ относится к необходимым исследованиям при подозрении на патологический процесс в поджелудочной железе.

Обычно для определения нижней границы тела и хвоста железы ориентиром служит селезеночная вена. Границы головки определяются соотносительно двенадцатиперстной кишки. Исследование можно считать полноценным, если визуализирован проток поджелудочной железы. Обычно это удается у 70-80% обследованных.

В пользу хронического панкреатита наиболее часто свидетельствует увеличение эхогенной плотности железы, появление неровности контуров и изменение размеров. У части больных отмечается уменьшение железы, выявляются кальцинаты и деформации протоков железы.

Различным вариантом хронического панкреатита присуща различная эхографическая картина:

- При отечно-интерстициальном (подостром) варианте нередко отмечается увеличение размеров железы, наличие участков низкой плотности, явная нечеткость контуров железы за счет отека парапанкреатической клетчатки.

- Для паренхиматозного (рецидивирующего) варианта хронического панкреатита характерны нормальные размеры железы, умеренное ее уплотнение, волнистость контуров.

- Фиброзно-склеротический (индуративный) хронический панкреатит протекает с выраженным увеличением плотности железы, иногда с включением участков известковой плотности. Железа чаще неравномерно уменьшена в размерах. Нередки деформации и расширения крупных протоков железы.

- При кистозной форме хронического панкреатита выявляются мелкие кисты (до 15 мм в диаметре). Размеры железы нередко бывают увеличены. Часто отмечаются деформации и расширения протоков железы.

- Для гиперпластического (псевдотуморозного) варианта характерны локальные изменения, чаще в области головки. На контуре железы определяется дополнительное образование. В зоне этого поражения участки уплотнения чередуются с небольшими зонами низкой плотности, а также с выраженной деформацией протоков. Остальные отделы железы могут быть мало измененными.

УЗИ выявляет четкие изменения в железе у 60-70% больных

хроническим панкреатитом, поэтому метод не применим для исключения заболевания.

Рис. 2. УЗ-исследование поджелудочной железы при хроническом панкреатите. Тонкими стрелками указаны кальцификаты, а толстыми стрелками - расширенный и сегментированный проток поджелудочной железы.

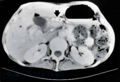
2.1.3. Компьютерная томография (КТ) поджелудочной железы

КТ является рентгенологическим методом высокой разрешающей способности, достаточно широко используемым при исследовании поджелудочной железы. В прин­ципе, метод позволяет получить данные, аналогичные получае­мым при ультразвуковом исследовании, однако в ряде случаев дает возможность уточнить последние, например, при ожирении больного, наличии метеоризма, преимущественной локализации изменений в области хвоста железы. Вместе с тем, встречаются случаи, когда очаговые изменения, выявленные при УЗИ, не об­наруживаются при КТ (изоденсны), или наоборот и, таким обра­зом, оба исследования дополняют друг друга. Учитывая высо­кую стоимость КТ, ее применение следует считать необходимым в случаях, когда на основании УЗИ не удается создать достаточ­но четкое представление о патологических изменениях в подже­лудочной железе (образование изоэхогенно частично).

В норме поджелудочная железа определяется на компьютер­ных томограммах в виде относительно гомогенного образования S-образной формы. Признаками поражения железы являются, неоднородность ее тени с участками уплотнения и разряжения, расширения, сужения и деформации протоков, одиночные или множественные полостные жидкостные образования. Для лож­ной кисты, как и при УЗИ, характерно наличие капсулы и одно­родное или неоднородное (при наличии в полости секвестров или замазкообразного детрита) содержимое. Высока разрешаю­щая способность КТ при наличии в железе обызвествлений и протоковых конкрементов. Злокачественные новообразования выглядят при КТ очагами, плотность которых ниже плотности железы.

Рис. 3. КТ снимок. Стрелкой указаны кальцификаты в просвете протока поджелудочной железы.

2.1.4. Магнитно-резонансовая томография (МРТ)

Роль исследования при заболеваниях ПЖ растет. Чувствительность метода по выявлению фиброза железы повышает ее диагностическую ценность. В выявлении кальцификатов уступает УЗИ.

2.1.5. Магнитно-резонансовая холангио-панкреатография (МРХПГ)

МРХПГ выполняется на установках последнего поколения. Этот новый неинвазивный метод исследования позволяет достаточно наглядно визуализировать нормальные и патологически измененные панкреатические и желчные протоки. Область применения МРПХГ расширяется, в первую очередь за счет уточнения причин обструкции протоков, оставшихся нерасшифрованными при ЭРПХГ. Достаточно широко используется для выявления камней крупных желчных и панкреатических протоков, особенно мелких камней в значительно расширенных протоках. Используется при ургентном выполнении пункции поджелудочной железы.

Рис 3 – 4. МРХПГ. Хронический панкреатит – сообщение кисты головки с вирзунговым протоком.

2.1.6. Эндоскопическая ретроградная панкреатохолангиография (ЭРПХГ)

ЭРПХГ - комбинированное рентгеноэндоскопическое исследование. При этом методе исследования, через эндоскоп, под контролем зрения в фатеров сосок вводится тонкий катетер, а через него - рентгеноконтрастный раствор. Различные положения катетера в ампуле общего желчного протока, дают возможность (вернее увеличивают вероятность) введения контраста либо в общий желчный, либо в проток поджелудочной железы.

Успешная катетеризация наблюдается в 70-90%. При контрастировании протока поджелудочной железы можно обнаружить сужения и расширения протока, которые характерны для тяжелых форм хронического панкреатита. Наибольшая информация может быть получена при раке поджелудочной железы, если при этом поражается проток поджелудочной железы.

Показанием для проведения ЭРПХГ является, в первую очередь, подозрение на карциному поджелудочной железы или столь тяжелые формы хронического панкреатита, которые в дальнейшем предполагается оперировать - особенно панкреатиты у больных после операции на желчном пузыре и протоках и панкреатиты, протекающие с упорным болевым синдромом и похуданием. К показаниям также относятся псевдотуморозные формы хронического панкреатита. При хроническом панкреатите средней тяжести показания к проведению ЭРПХГ более чем относительны.

Сужение показаний к проведению ЭРПХГ объясняются прежде всего относительной частотой осложнений. Наиболее частые осложнения:

1) Развитие острого панкреатита.

2) Активизация инфекции в желчных путях.

Оценка значения результатов ЭРПХГ при хроническом панкреатите значительно колеблется. Большинство исследователей с момента появления КТ реже используют эту методику. Не последнюю роль в ограничении применения метода также играет отсутствие конструктивной информации у 20-40% обследованных.

Рис. 5. ЭРХПГ. Стрелкой указан конкремент в протоке поджелудочной железы.

Рис. 6. Определяется расширение протока поджелудочной железы при хроническом панкреатите.

2.1.7. Эндоскопическая ультрасонография (ЭУС)

Позволяет избежать помех, создаваемых газом в кишечнике и жировой тканью. Сочетание эндоскопии и ультразвукового исследования как в интрагастральной, так и в интрадуоденапьной позиции оказалось диагностически особенно плодотворным при нейроэндокринных опухолях поджелудочной железы.

При хронических билиарных панкреатитах данный метод используется для выявления мелких камней (3 мм и меньше), особенно в расширенном общем желчном протоке, диагностически труднодоступных для ЭРПХГ. ЭУС может оказать помощь при дифференциальной диагностике псевдотуморозного панкреатита и карциномы поджелудочной железы. В целом, при хроническом панкреатите метод выявляет изменения железы у 80-85% больных.

Рис. 7. Эндоскопическая ультрасонограмма поджелудочной железы при хроническом калькулезном панкреатите. Определяется главный панкреатический проток (показано тонкой стрелкой) с кальцинатом в пределах паренхимы поджелудочной железы (широкая стрелка). Круглая целевая структура в центре - инструмент.

2.1.8. Эндоскопическое исследование двенадцатиперстной кишки, желудка и пищевода

При эндоскопическом исследовании нередко выявляются спутники хронического панкреатита - гастродуоденальные язвы и рефлюксные эзофагиты. Исследование позволяет выявить ряд эндоскопических признаков, свидетельствующих о возможных патологических процессах в поджелудочной железе.

- Экзогастральная деформация (выбухание) задней стенки тела желудка - симптом панкреатического "порога" - свидетельство увеличенной в размерах железы.

- Признаки воспаления слизистой оболочки и дискинезии постбульбарного отдела двенадцатиперстной кишки.

- Болезненность при проведении дуоденоскопа в постбульбарную часть двенадцатиперстной кишки.

- Выявление признаков дуоденального папиллита (частого спутника хронического панкреатита).

2.1.9. Ангиография поджелудочной железы

С помощью целиакографии удается довольно хорошо контрастировать сосуды поджелудочной железы. При наличии хронического панкреатита выявляются:

- Изменение размеров и конфигурации органа.

- Участки гиперваскуляризации.

- Признаки затрудненного оттока крови по селезеночной вене, сдавленной увеличенной поджелудочной железой с развитием подпеченочной формы портальной гипертензии.

Раньше целиакография в специализированных гастроэнтерологических отделениях выполнялась достаточно часто. Теперь, с появлением УЗИ и КТ эта диагностическая процедура выполняется редко. Обычно к ней прибегают при сочетании хронического панкреатита и спленомегалии, когда можно предполагать подпеченочную форму портальной гипертензии. В этих же случаях для оценки состояния портального кровотока необходимо выполнить ультразвуковую допплерографию воротной и селезеночной вен.

При подозрении на наличие у больных хроническим панкреатитом абдоминального ишемического синдрома целесообразно с помощью ультразвуковой допплерографии исследовать брюшной отдел аорты и чревный ствол.

Рис. 8. Целиакограмма. Хронический панкреатит.

3. ЗАКЛЮЧЕНИЕ

Проблемы диагностики и лечения хронического панкреатита продолжают оставаться в центре внимания клиницистов. Увеличивается заболеваемость хроническим панкреатитом, который в ряде случаев приводит к осложнениям, требующим применения интервенционных и хирургических вмешательств. Поэтому обследование больных хроническим панкреатитом должно обеспечить установление точного диагноза, позволяющего своевременно выбрать адекватную тактику лечения. Изучив все используемые методы лучевой диагностики хронического панкреатита, я сделала вывод, что в настоящее время одним из информативных методов обследования поджелудочной железы и смежных с ней органов является ультразвуковое исследование. Метод отличает безопасность, неинвазивность, возможность применения в динамике, графическая регистрация полученных данных, общедоступность.Вследствие относительной простоты диагностической процедуры, УЗИ получило очень широкое распространение в клинике как при обследовании больных с заболеваниями поджелудочной железы, так и при скрининговом обследовании лиц без признаков патологии поджелудочной железы.

4. СПИСОК ИСПОЛЬЗУЕМОЙ ЛИТЕРАТУРЫ

1. С.К. Терновой, А.Ю. Васильев, В.Е. Синицын, А.И. Шехтер Лучевая диагностика и терапия. Москва 2008. 195 – 197 с.

2. А.А. Бабаев, А. В. Суханевич, А.В. Кукушкин, И.В. Федоров Ультразвуковая диагностика хронического панкреатита, www.sono.nino.ru

3. П.В. Банифатов Ультразвуковая диагностика хроничсеких панкреатитов, 2002, www.radiomed.ru

4. Аппаратные и инструментальные методы диагностики хронического панкреатита, Минск 2008

5. Ьолезни поджелудочной железы: лучевая диагностика, humbio.ru

6. Хронический панкреатит, www.smed.ru

7. С.Ю. Сереброва Хронический панкреатиат: современный подход к диагностике и лечению, www.rmj.ru

8. Магнитно-резонансная холангиопанкреатография, www.monikiweb.ru

9. Хронические панкреатиты, www.pishevod.ru

Оценить/Добавить комментарий
Имя
Оценка
Комментарии:
Хватит париться. На сайте FAST-REFERAT.RU вам сделают любой реферат, курсовую или дипломную. Сам пользуюсь, и вам советую!
Никита23:06:59 04 ноября 2021
.
.23:06:57 04 ноября 2021
.
.23:06:55 04 ноября 2021
.
.23:06:54 04 ноября 2021
.
.23:06:52 04 ноября 2021

Смотреть все комментарии (20)
Работы, похожие на Реферат: Лучевая диагностика хронического панкреатита

Назад
Меню
Главная
Рефераты
Благодарности
Опрос
Станете ли вы заказывать работу за деньги, если не найдете ее в Интернете?

Да, в любом случае.
Да, но только в случае крайней необходимости.
Возможно, в зависимости от цены.
Нет, напишу его сам.
Нет, забью.



Результаты(287285)
Комментарии (4157)
Copyright © 2005-2021 HEKIMA.RU [email protected] реклама на сайте