Банк рефератов содержит более 364 тысяч рефератов, курсовых и дипломных работ, шпаргалок и докладов по различным дисциплинам: истории, психологии, экономике, менеджменту, философии, праву, экологии. А также изложения, сочинения по литературе, отчеты по практике, топики по английскому.
Полнотекстовый поиск
Всего работ:
364139
Теги названий
Разделы
Авиация и космонавтика (304)
Административное право (123)
Арбитражный процесс (23)
Архитектура (113)
Астрология (4)
Астрономия (4814)
Банковское дело (5227)
Безопасность жизнедеятельности (2616)
Биографии (3423)
Биология (4214)
Биология и химия (1518)
Биржевое дело (68)
Ботаника и сельское хоз-во (2836)
Бухгалтерский учет и аудит (8269)
Валютные отношения (50)
Ветеринария (50)
Военная кафедра (762)
ГДЗ (2)
География (5275)
Геодезия (30)
Геология (1222)
Геополитика (43)
Государство и право (20403)
Гражданское право и процесс (465)
Делопроизводство (19)
Деньги и кредит (108)
ЕГЭ (173)
Естествознание (96)
Журналистика (899)
ЗНО (54)
Зоология (34)
Издательское дело и полиграфия (476)
Инвестиции (106)
Иностранный язык (62791)
Информатика (3562)
Информатика, программирование (6444)
Исторические личности (2165)
История (21319)
История техники (766)
Кибернетика (64)
Коммуникации и связь (3145)
Компьютерные науки (60)
Косметология (17)
Краеведение и этнография (588)
Краткое содержание произведений (1000)
Криминалистика (106)
Криминология (48)
Криптология (3)
Кулинария (1167)
Культура и искусство (8485)
Культурология (537)
Литература : зарубежная (2044)
Литература и русский язык (11657)
Логика (532)
Логистика (21)
Маркетинг (7985)
Математика (3721)
Медицина, здоровье (10549)
Медицинские науки (88)
Международное публичное право (58)
Международное частное право (36)
Международные отношения (2257)
Менеджмент (12491)
Металлургия (91)
Москвоведение (797)
Музыка (1338)
Муниципальное право (24)
Налоги, налогообложение (214)
Наука и техника (1141)
Начертательная геометрия (3)
Оккультизм и уфология (8)
Остальные рефераты (21692)
Педагогика (7850)
Политология (3801)
Право (682)
Право, юриспруденция (2881)
Предпринимательство (475)
Прикладные науки (1)
Промышленность, производство (7100)
Психология (8692)
психология, педагогика (4121)
Радиоэлектроника (443)
Реклама (952)
Религия и мифология (2967)
Риторика (23)
Сексология (748)
Социология (4876)
Статистика (95)
Страхование (107)
Строительные науки (7)
Строительство (2004)
Схемотехника (15)
Таможенная система (663)
Теория государства и права (240)
Теория организации (39)
Теплотехника (25)
Технология (624)
Товароведение (16)
Транспорт (2652)
Трудовое право (136)
Туризм (90)
Уголовное право и процесс (406)
Управление (95)
Управленческие науки (24)
Физика (3462)
Физкультура и спорт (4482)
Философия (7216)
Финансовые науки (4592)
Финансы (5386)
Фотография (3)
Химия (2244)
Хозяйственное право (23)
Цифровые устройства (29)
Экологическое право (35)
Экология (4517)
Экономика (20644)
Экономико-математическое моделирование (666)
Экономическая география (119)
Экономическая теория (2573)
Этика (889)
Юриспруденция (288)
Языковедение (148)
Языкознание, филология (1140)

Реферат: Характеристика сосудистой системы

Название: Характеристика сосудистой системы
Раздел: Рефераты по медицине
Тип: реферат Добавлен 01:58:35 05 июня 2011 Похожие работы
Просмотров: 912 Комментариев: 21 Оценило: 2 человек Средний балл: 5 Оценка: неизвестно     Скачать

Сосудистая система слагается из кровеносных и лимфатических сосудов и капилляров, сердца и ряда органов — частью кроветворных, частью фагоцитарных, включенных в сосудистое русло. Такими органами являются селезенка, костный мозг и лимфатические узлы. В этой системе можно различать центральные части, в первую очередь представленные сердцем и крупными сосудами, и части периферические, каковыми являются главным образом капилляры, выполняющие трофическую функцию, и в значительной степени сосудистые органы, выполняющие защитную и кроветворную функции. Органы сосудистой системы стоят в теснейшей связи с системой тканей внутренней среды, с которыми (в частности, с так называемой рыхлой соединительной тканью) они составляют неразрывное единство, являясь для этих тканей дренажной системой, способствующей передвижению по организму крови и тканевой жидкости.

КРОВЕНОСНЫЕ И ЛИМФАТИЧЕСКИЕ СОСУДЫ
КРОВЕНОСНЫЕ СОСУДЫ

Общая характеристика

Кровеносные сосуды выполняют троякую функцию. Они, во-первых, проводят кровь, во-вторых, регулируют ее приток к отдельным органам и, наконец, в-третьих, обслуживают в этих органах обмен веществ, т. е. пропускают через свои стенки к тканям необходимые вещества из крови и принимают в кровь продукты обмена. Первая функция, функция проведения, преобладает в крупных сосудах — аорте, легочных артериях, полых венах, легочных венах. Регулирующая функция преобладает над проводящей в так называемых средних и мелких сосудах, куда относятся все остальные сосуды, за исключением капилляров. Эти же последние выполняют главным образом функцию обмена.

Сосуды развиваются в мезенхиме и во взрослом организме проходят всегда в соединительной ткани, являясь по своему происхождению системой каналов в этой ткани, облегчающих циркуляцию жидкости, служащей для питания всего организма.

Таким образом, трофическую функцию сосудистой системы следует считать ее главнейшей, первичной функцией, стоящей в связи с аналогичной трофической функцией соединительной ткани.

Кровеносные сосуды обнаруживают совершенную функциональную приспособляемость. Строение стенки того или иного сосуда точно соответствует тем гемодинамическим условиям, в которых находится проходящий через него ток крови. В особенности это относится к более крупным сосудам, и, в частности, к артериям.

Такое соответствие зависит от того, что стенки сосудов очень легко могут изменять свое строение. Поэтому всякое изменение условий кровяного тока, происходящее в силу естественных или патологических причин, неизменно отражается на строении сосудистых стенок. Так, при образовании обходного, или коллатерального (от латинского слова collateralis — боковой или обходный), кровяного русла мелкие сосуды и капилляры приобретают характер и строение более крупных сосудов. Аналогичные изменения происходят в сосудах и в период эмбрионального развития, во время тех превращений, которым подвергается кровеносная система зародыша.

Иначе говоря, кровеносные сосуды обнаруживают в течение всей жизни, как утробной, так и вне-утробной, весьма значительную пластичность, обусловленную в высокой степени совершенной функциональной приспособляемостью. В этом отношении их мояшо сравнить только с органами костной системы.

Развитие

Для понимания строения кровеносных сосудов необходимо знакомство с их эмбриональным развитием. Первые сосуды зародыша млекопитающих и человека возникают двояким образом: в желточном мешке и в теле зародыша. В мезенхиме стенки желточного мешка первые зачатки сосудов, закладываются, как мы уже отмечали в общей части, вместе с зачатками кровяных клеток в виде так называемых кровяных островков (рис. 344). Клетки этих островков развиваются в двух различных направлениях. Элементы, лежащие в середине, округляются и дают первые кровяные клетки первичные эритробласты и первичные гемоцитобласты (2 и 3), а элементы, отграничивающие кровяной островок от окружающей мезенхимы, уплощаются и дают сплошную эпителиоидную выстилку (1) той полости, которая появляется вследствие накопления жидкости на месте кровяного островка. Эта эндотелиальная выстилка возникших таким путем сосудов весьма тесно связана с прилежащей мезенхимой (4) и представляет лишь ее функциональную модификацию. Образовавшиеся первые сосуды, соединяясь вместе, дают начало сети желточных капилляров, которые вступают в сообщение с сосудами, развивающимися в самом теле зародыша. Эти последние закладываются сначала прямо в мезенхиме в виде щелей неправильной формы (рис. 345), наполненных жидкостью. Мезенхимные клетки, образующие стенки этих щелей, становятся плоскими и превращаются в эндотелий, не утрачивая связи с окружающей мезенхимой. Когда по этим сосудам начинается циркуляция крови, то очертания их становятся более правильными, а стенка, развивающаяся все время под воздействием механических условий кровяного тока, постепенно приобретает все более сложное строение, обнаруживающее ту совершенную функциональную приспособленность, о которой было уже упомянуто выше.

Основные типы кровеносных сосудов

Анатомически можно различить шесть основных типов кровеносных сосудов, отличающихся диаметром просвета, толщиной и строением своей стенки, а также определенно выраженными механическими свойствами. Эти типы следующие: крупные артерии, или артерии эластического типа, артерии среднего калибра, или артерии мышечного типа, артериолы, капилляры, венулы и вены. Кроме этого, как подтип капилляров можно выделить синусоидные капилляры, или просто кровеносные синусы (от латинского слова sinus — пазуха, бухта), развивающиеся главным образом в кроветворных органах.

Наиболее просто устроены капилляры. Их стенка образована одними эндотелиальными клетками. Во всех остальных типах сосудов стенка по мере развития приобретает сложное строение, хотя всегда функционирует как единое целое.

Для удобства изучения в гистологии и патогистологии укоренилось подразделение стенки кровеносных сосудов на три слоя: внутренний (tunica intima), средний (tunica media) и наружный (tunica adventitia) (от латинских слов ad — к, venio — прихожу и adventicus — пришлый, внешний).

Так как вне зависимости от своей величины и строения стенки решительно все кровеносные сосуды, равно как и сосуды лимфатические, а также и полость сосуда, начиная с момента закладки у эмбрионов, всегда по своей внутренней поверхности выстланы эндотелием, будет уместно во избежание повторения прежде всего ознакомиться с тонким строением эндотелия, а затем уже перейти к подробному разбору строения стенок сосудов.

Капилляры

Строение капилляров

Наше описание строения сосудов мы начнем с наиболее просто устроенных капилляров (от латинского слова capilli - волосы; капилляры — волосяные сосуды, хотя они в 5 раз тоньше волоса!).

По своему строению капилляры наиболее похожи на эмбриональные сосуды, вместе с тем они представляют весьма важную в функциональном отношении часть сосудистой системы. Капилляры образуют сети, которые заключены между приносящими кровь артериями и выносящими ее венами.

Исключением из этого правила у человека и млекопитающих являются капилляры печени, расположенные между двумя венозными системами, и капилляры мальпигиевых клубочков почек, расположенные по ходу артерий. У рыб, кроме того, имеются капиллярные сети в жаберных листках, заключенные также между двумя артериями.

Кровеносные капилляры в каждом органе имерт приблизительно одинаковый калибр. Наиболее крупные капилляры имеют диаметр просвета от 20 до 30 μ, наиболее узкие - от 5 до 8 μ (рис. 347). На поперечных разрезах нетрудно убедиться, что у крупных капилляров просвет трубки выстлан многими эндотелиальными клетками, в то время как просвет самых мелких капилляров может быть образован всего двумя или даже одной клеткой.

Самые узкие капилляры находятся в поперечнополосатых мышцах, где их просвет достигает 5-6μ. Так как просвет таких узких капилляров меньше диаметра эритроцитов, то при прохождении по ним эритроциты, естественно, должны испытывать деформацию своего тела (рис. 348).

Стенка кровеносных капилляров имеет очень простое строение и состоит лишь из эндотелия, лежащего на очень тонкой и совершенно незаметной базальной пластинке, отделяющей капилляр от окружающей соединительной ткани. При обработке серебром удается обнаружить в эндотелии клеточные границы, имеющие в различных капиллярах различный вид (рис. 349).

В некоторых случаях границы между эндотелиальными клетками не обнаруживаются вовсе. Это наблюдается в капиллярах печени, мальпигиевых клубочков почки и внутреннего слоя (lamina choriocapillaris) сосудистой оболочки глаза.

Адвентициальиые клетки . Капилляры, как и все сосуды, расположены среди рыхлой соединительной ткани, с которой они обычно достаточно прочно связаны. Исключение составляют капилляры мозга, окруженные особыми лимфатическими пространствами, и капилляры поперечнополосатых мышц, где тканевые пространства, заполненные лимфатической жидкостью, развиты не менее мощно. Поэтому как из мозга, так и из поперечнополосатых мышц капилляры могут быть легко изолированы.

Окружающая капилляры соединительная ткань всегда богата клеточными элементами. Здесь обычно располагаются и жировые клетки, и плазматические клетки, и тучные клетки, и гистиоциты, и ретикулярные клетки, и камбиальные клетки соединительной ткани.

Гистиоциты и ретикулярные клетки, прилегая к стенке капилляров, имеют тенденцию распластываться и вытягиваться по длине капилляра. Все клетки соединительной ткани, окружающие капилляры, некоторыми авторами обозначаются как адвентиция капилляра (adventitia capillaris).

Кроме перечисленных выше типичных клеточных форм соединительной ткани, описывается еще ряд клеток, которые называют то перицитами, то адвентициалъными, то просто мезенхимными клетками.

Наиболее разветвленные клетки, прилегающие непосредственно к стенке капилляра и охватывающие ее со всех сторон своими отростками, называются клетками Руже (рис. 350). Они встречаются главным образом в прекапиллярных и посткапиллярных разветвлениях, переходящих в мелкие артерии и вены. Однако отличить их от вытянувшихся гистиоцитов или ретикулярных клеток не всегда удается (рис. 350).

За всеми этими формами проще всего сохранить название адвентициальных клеток.

Артерии и вены

Общая характеристика . Артерии и вены для удобства их описания можно подразделить на крупные, средние и мелкие. Средними и мелкими сосудами называются те из них, которые располагаются между крупными стволами и капиллярами. Почти всюду артерии сопровождаются венами (рис. 357, А). В средние артерии кровь вгоняется из крупных артериальных стволов, непосредственно связанных с сердцем, под большим давлением (систолическое давление в аорте человека в норме равно 110 мм Hg), по мере приближения к капиллярам постепенно падающим вследствие общего расширения русла. Особенно значительное расширение кровяного русла происходит в капиллярной сети. так что давление здесь становится очень низким (около 20 мм Hg). Это низкое давление остается и на протяжении всего венозного пути.

Таким образом, в артериях и венах кровь находится в различных механических условиях, что прежде всего отражается на строении стенок этих сосудов. Наиболее различны эти условия в средних и крупных артериях и венах и более сходны в мелких. Поэтому мелкие вены и артерии по своему строению более похожи друг на друга, чем крупные.

Переход от крупных кровеносных стволов к мелким, а от этих последних к капиллярам совершается постепенно, так что никаких резких границ между капиллярами, мелкими, средними и крупными сосудами провести нельзя (рис. 357,С).

Артерии

Как об этом было уже сказано выше, стенку всех кровеносных сосудов подразделяют на три оболочки (рис. 353, В): внутреннюю, или tunica intima (5), среднюю, или tunica media (3), и наружную,или tunica adventitia (1—2). Разделение это чисто условное, и границы между оболочками носят искусственный характер.

Артерии среднего калибра . Внутренняя оболочка. Если взять какую-либо артерию среднего калибра (рис. 353, А), то в ее стенке на поперечном разрезе мы обнаружим следующие слои. К просвету обращен слой эндотелия (рис. 353, А,6), за которым следует соединительнотканная прослойка (5), содержащая очень тонкие эластиновые волокна и состоящая из тонкофибриллярного вещества, красящегося теми же красками, что и коллагеновые пучки. В этом слое, непосредственно под эндотелием, находятся еще плоские клетки, плохо заметные на разрезах, однако образующие непрерывный слой.

За этим волокнистым слоем следует хорошо развитая эластиновая оболочка, называемая внутренней эластической оболочкой (membrana elastica interna), представленная так называемой окончатой эластической мембраной (membrana fenestrata ). На поперечных срезах она имеет вид блестящей,сильно извилистой двуконтурной линии (4). Иногда внутренняя эластическая оболочка бывает двойной. С тонкими эластиновыми волокнами внутреннего слоя она стоит в теснейшей связи. Эндотелий, соединительнотканная прослойка с продольными эластиновыми волокнами и внутренняя эластическая оболочка, вместе взятые, и составляют внутреннюю оболочку (tunica interna, или intima) артерии.

Благодаря новейшим работам (Щелкунов), посвященным изучению артериальной стенки в нормальных и экспериментальных условиях, удалось не только обнаружить во всех артериях подэндотелиальный клеточный слой, но и выяснить его морфологическое и функциональное значение. Этот клеточный слой оказался важнейшей составной частью сосудистой стенки. Выяснилось, что все образовательные процессы, происходящие при регенерации и при пересройке сосудистой стенки, обусловливаются этими субэндотелиальными клетками (рис. 354). Очень возможно, что они могут давать клеточный материал для замещения износившегося эпителия; одновременно они являются источником возникновения волокнистых структур интимы и принимают участие в образовании эластиновых пластинок и волокон.

Этот слой, как мы увидим ниже, непрерывно распространяется в сторону аорты и сердца (в аорте он раньше был известен под названием ланггансова слоя) и в сторону капилляров, где он переходит в адвентициальные клетки.

Ввиду важного значения субэндотелиальных клеток для регенеративных процессов их можно назвать сосудистым камбием. По своему строению и по своим биологическим свойствам суоэндотелиальные клетки весьма напоминают камбиальные клетки соединительной ткани, хотя и отличаются от них некоторыми особенностями.

Возрастные изменения внутренней оболочки . В течение жизни внутренняя оболочка артерий мышечного типа не остается постоянной. С возрастом она значительно утолщается за счет увеличения соединительнотканного слоя. Очень часто с возрастом в ней начинают откладываться жировые вещества, состоящие главным образом из холестерина и жирных кислот. Кроме жировых веществ, в стенке внутренней оболочки, в частности, в основном веществе подэндотелиальной соединительной ткани, могут откладываться и соли кальция. Причины этих отложений выяснены недостаточно.

Средняя оболочка . Под названием средней оболочки в артериях вообще выделяют ткани, имеющие циркулярное расположение и лежащие между наружной и внутренней эластическими мембранами.

В рассматриваемой артерии средняя оболочка (tunica media) состоит главным образом из циркулярно расположенных гладких мышечных волокон, сокращение которых вызывает сужение просвета сосуда.

Вследствие того, что на препаратах мышечная оболочка обычно находится в сокращенном состоянии и сжимает внутренние слои, внутренняя эластическая оболочка собирается в складки, которые на поперечном разрезе представляются в виде извилистой линии (рис. 356 и 357, А,7). В средней оболочке, в соединительной ткани, связывающей ее мышечные волокна, пробегают в большем или меньшем количестве эластиновые волокна, такяге имеющие преимущественно циркулярное расположение. Мышечная оболочка, своими сокращениями изменяя просвет, регулирует приток крови к органам, снабжаемым данной артерией.

Наружная оболочка (рис. 353, А, 1, 2). Наружной оболочкой (tunica externa , или adventitia ) называют все поверхностные тканевые слои, облекающие артерии, начиная от наружной эластической оболочки, имеющие преимущественно продольное направление. В рассматриваемой артерии она состоит главным образом из продольных пучков коллагеновой ткани с большим содержанием эластиновых волокон. Эти последние образуют сети, вытянутые в продольном направлении, которые на границе со средней оболочкой сгущаются настолько, что приобретают характер сплошной эластической оболочки (membrana elastica externa ) (рис. 355). Однако эта наружная эластическая оболочка не всегда бывает развита (ее нет, например, в мозговых артериях).

Со стороны соединительной ткани, примыкающей со всех сторон к наружной оболочке, в нее входят кровеносные сосуды (рис. 353, А,2), обильно разветвляющиеся между волокнами, образующими ее стенку. Эти сосуды получили название сосуды сосудов (vasa vasorum ); за счет приносимой ими крови осуществляется питание тканей среднего слоя, который, как мы видели, кровеносных сосудов не содержит.

Единство эластиновой системы артерий . Все перечисленные эластйновые образования, начиная с внутренней эластической оболочки и кончая наружной, представляют собой общий, связанный в единое целое эластиновый остов артериальной стенки. Новейшие исследования показали, что внутренняя эластическая оболочка субстанционально связана с эластиновой сетью средней оболочки, а эта последняя непрерывно продолжается в волокна наружной оболочки. Эти отношения хорошо видны на рис. 355 и 356, где представлен эластиновой остов артерии в растянутом и сокращенном состоянии.

Эластиновой остов средней оболочки теснейшим образом связан с мышечными волокнами. Эластиновая строма работает, как пружина, в функциональном отношении антагонистичная мышечной оболочке, и поддерживает просвет сосуда в расширенном состоянии.

Кроме эластиновых волокон, в наружной оболочке некоторых артерий довольно часто встречаются пучки продольно расположенных мышечных волокон (гладких), иногда очень многочисленные (например, в почечных артериях).

Все сказанное обнаруживает искусственность разделения сосудистой стенки на слои. Вся стенка артерии является единым целым, объединенным общим камбием — подэндотелиальным слоем интимы.

Мелкие артерии . По мере уменьшения калибра и приближения к капиллярам в строении артериальной стенки происходят следующие изменения.

В мелких артериях во внутренней оболочке постепенно истончается соединительнотканный слой, и под эндотелием оказываются расположенными лишь редкие клетки камбиального слоя. Внутренняя эластическая оболочка при переходе в капилляры (в прекапиллярных артериях или артериолах) постепенно исчезает, превращаясь в мало заметную основную перепонку (m. basalis) капиллярного эндотелия. Количество эластиновых волокон в средней мышечной оболочке постепенно уменьшается; в мелких артериях они уже совершенно отсутствуют. Ндряду с этим убывает и мощность мышечного слоя. В самых мелких артериях мышечные клетки располагаются в один только ряд (рис. 357,В); затем и этот ряд делается не сплошным. В прекапиллярных артериях остаются только отдельные мышечные волокна, по мере приближения к капилляру становящиеся все более и более редкими. Наконец исчезают и они, а артерия превращается в капилляр (рис. 357, С).

Изменения в наружной оболочке менее характерны. В ней также уменьшается количество эластиновых элементов, что в первую очередь обусловливает исчезновение наружной эластической оболочки. В мелких артериях адвентиций становится уже мало отличимым от окружающей ткани и, в конце концов, в области капилляров сходит совершенно на нет.

Крупные артерии . С увеличением калибра артериальная стенка изменяется иначе. Она утолщается, причем во внутренней оболочке делается все более и более заметным подэндотелиальный соединительнотканный слой. В нем увеличивается и число клеток, и количество эластиновых волокон. В средней оболочке эластиновыз элементы также начинают все более и более выступать на первый план. В более крупных артериях сети волокон замещаются эластиновыми пластинками, подобными внутренней эластиновой мембране, так что средняя оболочка приобретает все более и более смешанный мышечно-эластиновый характер.

Соответствующее увеличение содержания элаетиновых элементов нат блюдается и в наружной оболочке. Таким образом, наиболее крупные из числа средних артерий (например, общие сонные) постепенно приобретают структуру, напоминающую строение аорты. Эти крупные сосуды построены по эластическому типу, и в их стенке эластиновые элементы преобладают над всеми остальными.

В качестве примера эластической артерии мы рассмотрим структуру аорты (рис. 358). Внутренняя оболочка (tunica intima) (9) этой последней представляет большой интерес в том отношении, что она имеет сравнительно сложное строение, а также и потому, что многие патологические процессы начинаются именно в ней. Сложно устроенной в интиме аорты является соединительнотканная прослойка между эндотелием, состоящим из сильно вытянутых по оси сосуда клеток, и внутренней эластической оболочкой. Здесь удается различить следующие слои. Непосредственно под эндотелием лежит нерезко от него отграниченный подэндотелиальный слой (3). Последний состоит из тонкой фибриллярной ткани, которая содержит многочисленные клетки вытянутой или звездчатой формы (слой Лангганса). За слоем Лангганса идет участок, соответствующий внутренней эластической оболочке. Однако в эластических артериях эта оболочка представлена не сплошной мембраной, как в артериях мышечного типа, а густой сетью более тонких эластиновых волокон, в которой обычно удается различить внутренний циркулярный и наружный продольный слой. Благодаря такому строению внутренней эластической оболочки в аорте трудно точно установить границу между внутренней и средней оболочкой. В соединительнотканных частях интимы аорты встречаются и продольно расположенные гладкие мышечные волокна.

Так же как и в артериях среднего калибра, толщина интимы с возрастом увеличивается, достигая у стариков 1 мм.

Клетки ланггансова слоя и вообще вся внутренняя оболочка в аорте (а также вообще в артериях) играют весьма большую роль. Не исключена прежде всего возможность прямого превращения ланггансовых клеток в эндотелий; кроме того, несомненно участие внутренней оболочки во всех регенеративных процессах. При разрывах стенок артерий новообразование ткани идет из интимы, при сращивании сосудов друг с другом рубец образуется за счет интимы, в клетках интимы впервые появляются отложения липоидов в начале артериосклероза и т.д. Все это говорит за то, что клетки Лангганса, подстилающие эндотелий, обладают теми же свойствами, что и камбиальные подэндотелиальные клетки средних и малых артерий.

Средняя оболочка состоит из циркулярных мышечных волокон и большого количества эластиновых волокон и эластиновых окончатых мембран (рис. 358, 2, б), которых здесь так много,что они в значительной степени маскируют мышечные клетки. Почти все эластиновые мембраны имеют окончатое строение и расположены в средней оболочке аорты концентрическими слоями в числе 40—50. Более, тонкими пластинками они связаны друг с другом и с внутренней эластической перепонкой.

Исследования последих лет показали, что в основном веществе между эластиновыми пластинками в средней части описываемого слоя всегда имеются соли извести.

В стенках сосудов эластического и мышечного типа (артериях и венах), а особенно в аорте недавно обнаружено еще особое вещество, наибольшее количество которого располагается обычно и в продольном слое внутренней эластической оболочки, и в других частях интимы, а также и во внутренних слоях средней оболочки. Это вещество имеет мукоидный характер и красится метахроматично теми же красками, что и слизь; оно пропитывает участки тонкой фибриллярной ткани, в которой лежат эластиновые сети внутренней оболочки (хромотропное вещество).

Наружная оболочка аорты построена из фиброзной ткани с большим содержанием толстых эластиновых волокон, которые, так же как и коллагеновые пучки, имеют преимущественно продольное направление. В наружной оболочке аорты всегда встречаются пучки продольных гладких мышц. Кроме того, в наружной оболочке аорты, как и вообще во всех более крупных сосудах, проходят сосуды (уаза Уазогит), питающие ее стенку и главным образом среднюю оболочку (рис. 358, В, 5).

Таким образом, по строению своей стенки все артерии могут быть подразделены на три группы: артерии эластического типа (аорта, легочная артерия), артерии смешанного типа (сонная, подключичная и т.д.) и артерии мышечного типа (все остальные).

Количество эластиновых элементов в стенке артерий убывает в полном соответствии с уменьшением кровяного давления. В крупных сосудах эластиновые элементы придают стенке большую прочность, а кроме того, играют роль буфера, смягчающего, благодаря своей упругости, те резкие толчки, которыми сердце вгоняет кровь в сосудистое русло.

Вены

Средние вены . Строение вен среднего, или мышечного, типа, соответствующих типу рассмотренной в начале предыдущего раздела артерии, в общих чертах то же самое с той лишь разницей, что стенка вен оказывается всегда более тонкой, поскольку в ней гораздо меньше мышечных волокон (рис. 359).

В стенках вен мышечного типа (рис. 360 и 361) также можно различить три слоя: внутреннюю, среднюю и наружную оболочки. Внутренняя оболочка состоит из эндотелия, клетки которого имеют менее вытянутую форму, чем в артериях. Внутренняя эластиновая мембрана развита гораздо слабее, чем в соответствующей артерии, и почти не обособлена от лежащих кнаружи от нее эластиновых элементов средней и наружной оболочки. В венах эластиновая строма представляет такое же единое целое, как и в артериях. Кроме того, во внутренней оболочке обычно имеются продольные пучки мышечных волокон (рис. 360, 2). Подэндотелиальный камбиальный слой обнаружен также и в венах (рис. 354, В). Средняя оболочка развита слабо, и в ней преобладает коллагеновая ткань. Мышечные волокна, имеющие в общем циркулярное расположение, лежат отдельными пучками (рис. 360). Содержание эластиновых элементов также незначительно. Наибольшего развития в венах достигает наружная оболочка; однако и в ней преобладают продольно расположенные коллагеновые пучки, а не эластиновые волокна. Весьма часто в наружной оболочке (рис. 360, 3) вен встречаются значительные пучки продольных мышечных волокон.

Мелкие вены . Переход от вен к капиллярам совершается с горазда большей постепенностью, чем от артерий.

Раньше других исчезает здесь средняя оболочка: от нее остаются лишь отдельные циркулярные мышечные волокна, в свею очередь исчезающие еще задолго до перехода в капиллярную сеть, дольше сохраняется наружная оболочка, но и она до капилляров не доходит, так как самые мелкие (посткапиллярные) вены имеют еще строение капилляров и ничем, кроме своего диаметра, от них не отличаются.

Крупные вены . Что же касается изменения строения венозной стенки по мере приближения к главным венозным стволам, то здесь такой закономерности, как в артериях, совершенно не наблюдается.

Это вполне понятно, так как различные крупные вены находятся в разных гемодинамических условиях, в то время как для артерий эти условия более или менее одинаковы.

Как общее правило, можно отметить, что в венах верхней половины туловища и головы средняя оболочка развита гораздо слабее, а мышечных клеток вообще гораздо меньше, чем в венах нижней половины тела.

В некоторых венах мышечные волокна вообще отсутствуют; таковыми являются вены мозга, трабекулярные вены селезенки и вены костей. Зато в других венах эти волокна располагаются в три слоя (vv. iliaca, femoralis, poplitea, umbilicalis); в tunica intima содержится внутренний продольный, в tunica media — средний циркулярный, а в tunica adventitia наружный продольный мышечный слой.

Что же касается эластиновой ткани, то она в более крупных венах достигает значительного развития, причем ее элементы в средней оболочке имеют циркулярное, а в наружной продольное, направление.

Таким образом, по мере удаления от капилляров вены все более и более утрачивают свое типичное трехслойное строение, аналогичное строению соответствующих артерий.

Самые крупные венозные стволы - верхняя и нижняя полые вены — представляют особый интерес в том отношении, что, будучи стволами одинаковой мощности и вполне сходными по своему положению относительно сердца, они имеют стенку, устроенную различно. Это зависит от того, что по одной из этих вен кровь идет в направлении силы тяжести, по другой— в обратном направлении. Верхняя полая вена ни в средней, ни в наружной оболочке не содержит мышечных элементов, в то время как в нижней полой вене (рис.361) при почти полном отсутствии средней оболочки в наружной оболочке (А—А1) имеется слошной и довольно мощный слой продольных мышечных волокон. Вены, впадающие в сердце (полые и легочные), отличаются еще той интересной особенностью, что они в своих прилежащих к сердцу отрезках содержат в наружной оболочке поперечнополосатые мышечные волокна, являющиеся отпрысками миокарда предсердий. Кроме того, легочная вена отличается от всех других вен тем,что имеет очень хорошо развитый циркулярный мышечный слой, вследствие чего своим строением напоминает артерию.

У четвероногих животных с горизонтальным положением туловища такой разницы между верхней и нижней полыми венами не наблюдается.

В связи с тем, что кровяной ток идет в венах при низком давлении, близком к нулю, в силу vis a tergo (т.е. толчка сзади) в венах в качестве приспособления, облегчающего продвижение крови к сердцу, имеются клапаны. Эти последние наиболее развиты в венах нижней половины туловища.

Однако следует иметь в виду, что в полых венах — как в верхней, так и в нижней — клапанов нет.

Клапаны в венах имеют форму карманов и образованы внутренней оболочкой, причем поверхность клапана, обращенная в просвет, отличается своим строением от поверхности, обращенной к стенке. Первая покрыта эндотелием, клетки которого имеют форму, вытянутую по длине сосуда; под эндотелием здесь лежит эластиновая сеть. Клетки эндотелия, покрывающие вторую поверхность (внутреннюю), имеют неправильное циркулярное расположение.Обычно они обладают полигональной формой и лежат на волокнистой (коллагеновой) ткани.

Общая характеристика строения

Наряду с кровеносными сосудами у позвоночных и человека существует еще параллельная система лимфатических сосудов, выполняющих в тканях как бы дренажную роль.

Лимфатические сосуды начинаются на периферии, в тканях, тонкими слепыми трубками, напоминающими скорее щелевидные пространства. Соединяясь вместе, они образуют сеть лимфатических капилляров; укрупняясь, капилляры переходит в лимфатические сосуды, которые обычно идут вместе с венами, располагаясь, однако, в более глубоких частях органов. Лимфатические сосуды сливаются и в конце концов соединяются в два крупных лимфатических ствола: ductus thoracicus (грудной проток) и ductus bronchomediastinalis dexter (проток грудного средостения). Оба эти ствола открываются в большие вены, снабжая, таким образом, венозную кровь продуктами, оттекающими от тканей. Через ductus bronchomediastinalis кровь получает жидкое содержимое, называемое лимфой, из верхней правой половины тела. Этот проток обычно открывается в правую безыдейную вену. Через ductus thoracicus в кровь вливается лимфа из всех остальных частей тела, включая и пищеварительные органы. Ductus thoracicus открывается в вены в месте соединения левой внутренней вены с веной подключичной.

Лимфатическая система появляется впервые только у позвоночных и у млекопитающих достигает наибольшей сложности. У беспозвоночных лимфатической системы нет.

У позвоночных и человека лимфатические сосуды распространены преимущественно в коже, слизистых и серозных оболочках. Их нет в нервной системе; что же касается поперечнополосатых мышц, то распределение в них лимфатических сосудов остается еще в значительной степени спорным. Повидимому, последние действительно отсутствуют в мелких мышечных пучках и имеются только в более толстых соединительных прослойках.

Здесь зато сильно развиты так называемые периваскулярные лимфатические пространства.

Характерной особенностью лимфатической системы млекопитающих и человека является присутствие в ней лимфатических узлов, расположенных по ходу периферических лимфатических сосудов.

В организме имеются еще какие-то циркуляционные лимфатические пути, которые не организованы в форме сосудов или капилляров. В настоящее время нет еще достаточного количества гистологических данных, чтобы можно было обрисовать картину строения этих путей. Поэтому в дальнейшем мы и ограничимся описанием только лимфатических капилляров и лимфатических сосудов.

Однако раньше, чем перейти к описанию сосудов, необходимо сказать несколько слов о жидком содержимом сосудов или о лимфе (от латинского слова lympha). Очень старое латинское слово, означающее «чистая вода источника». В биологии лимфой обозначают содержимое лимфатических сосудов.

Химический и клеточный состав лимфы

Лимфа представляет собой жидкость, сходную по своему химическому составу с плазмой крови. Она состоит из воды, кровяных протеинов, экстрактивных веществ и неорганических солей. Из газообразных веществ в лимфе всегда содержится некоторое количество углекислоты и почти отсутствует кислород. Так же, как и плазма крови, лимфа свертывается, однако свертывание ее протекает гораздо медленнее.

Изучение лимфы, оттекающей из различных органов, показывает, что химический состав ее не столь постоянен, как химический состав крови. Это зависит от того, что тканевая жидкость в отдельных органах и тканях различна. Просачиваясь через тончайшие стенки конечных лимфатических капилляров, тканевая жидкость как раз и дает начало сосудистой лимфе.

Тканевую жидкость часто называют интерстицальной лимфой. Химический состав этой жидкости изучен плохо. Предполагается, что он в основном Очень близок к лимфе сосудистой.

Накапливаясь в лимфатических капиллярах, лимфа не содержит никаких форменных клеточных элементов, но они всегда могут быть обнаружены в сосудах, отходящих, от лимфатических узлов.

Форменные элементы лимфы представлены почти исключительно лимфоцитами и моноцитами. Количество лимфоцитов в лимфе человека в течение суток может подвергаться весьма значительным колебаниям, поэтому точными количественными данными мы не располагаем. Считается, что в норме у человека в лимфе около 8 000 лимфоцитов и моноцитов в 1 мм3.

При различных патологических состояниях в лимфе могут появляться и гранулоциты, но их число все же никогда не бывает значительным.

Лимфатические капилляры

Лимфатические капилляры обнаруживаются либо путем наливки, «инъекции», либо путем обработки азотнокислым серебром. Оба эти метода не отличаются большим совершенством, почему лимфатические капилляры изучены еще далеко не достаточно. Сети этих капилляров лежат обычно глубже, чем сети кровеносных капилляров. В различных органах они имеют различное и иногда (например, в слизистой оболочке тонкой кишки) весьма характерное расположение.

Благодаря хорошо развитой системе клапанов наинъицировать лимфатическую систему против тока лимфы чрезвычайно трудно. Лимфатические сосуды обычно инъицируются путем вкалывания иглы в ткань, где они находятся.

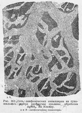
Лимфатические капилляры наиболее изучены в сухожильном центре диафрагмы, в серозных оболочках и т.д., т.е. в таких местах, где они лежат в более плотной соединительной ткани. Здесь они образуют неправильные сети (рис. 362), состоящие из сосудов неодинаковой толщины, от которых отходят многочисленные боковые слепые выступы.

Поперечник лимфатических капилляров гораздо значительнее, чем поперечник кровеносных,— он достигает 100µ и более. При этом надо иметь в виду, что просветы этих капилляров имеют не цилиндрическую форму, а являются плоскими щелями, выстланными эндотелием. Границы клеток последнего на препаратах, обработанных серебром, представляются извилистыми; следовательно, клетки эти имеют неправильную форму. В прежнее время, главным образом из чисто теоретических соображений, считали, что лимфатические капилляры стоят в прямом сообщении с тканевыми щелями; однако в новейшее время такая связь отрицается, так как факты ее не подтверждают. Сеть лимфатических капилляров является, по всей вероятности, слепо заканчивающейся системой, и полость ее отделена от окружающей ткани протоплазмой эндотелия, через которую и совершается обмен между тканевой жидкостью и содержимым капилляров. Этот обмен происходит, повидимому, благодаря активной деятельности эндотелия капилляров. В пользу такого представления говорит тот факт, что при введении в организм некоторых химических веществ деятельность капиллярного эндотелия значительно повышается. Капиллярную лимфатическую сеть можно сравнить с корневой системой растений, подобно которой лимфатические капилляры высасывают из соединительной ткани жидкость, попадающую туда из кровяной плазмы через стенки кровеносные капилляров. Таким образом, лимфатические капилляры помогают оттоку жидкости из тканей, который не всегда может быть осуществлен только по кровеносным капиллярам.

Лимфатические сосуды

Лимфатические сосуды можно подразделить на мелкие, средние и крупные. Самые мелкие лимфатические сосуды имеют меньший диаметр, чем лимфатические капилляры, так что их удается отличить уже по этому признаку. Кроме того, все лимфатические сосуды, начиная с самых мелких, снабжены богато развитой системой клапанов. На месте каждого клапана сосуд немного расширяется. Это придает лимфатическим сосудам весьма характерный вид (рис. 363). Эндотелий их состоит из более правильно контурированных клеток, вытянутых по длине сосуда и нанрминающих клетки эндотелия вен.

Вообще лимфатические сосуды по строению своей стенки сильно напоминают вены. Последнее, несомненно, стоит в связи с тем, что ток лимфы по сосудам совершается в условиях, подобных тем, в которых находится кровь в венах. И там, и здесь налицо низкое давление и vis a tergo . Только тэта сила, толкающая по сосудам лимфу, еще меньше, чем в венах, почему стенка лимфатических сосудов и является еще более приспособленной к проталкиванию жидкости, в ней находящейся, чем стенка вены. В лимфатических сосудах больше клапанов, а в стенках сильнее развита мускулатура и эластиновые элементы (рис. 364). Лимфатические сосуды со своими клапанами являются как бы насосом. При сокращении стенки находящаяся в них лимфа прогоняется по направлению к венам. То же самое происходит и при массировании сосудов. Обратный ток лимфы невозможен благодаря присутствию многочисленных карманных клапанов, имеющих приблизительно такое же строение, как и клапаны вен.

Одновременно в просачивании тканевой жидкости в лимфатические капилляры может иметь значение и кровяное давление, как допускают некоторые физиологи. Плазма крови просачивается из капилляров в ткани и затем в результате создавшегося здесь давления диффундирует в лимфатические капилляры.

В самых мелких сосудах, начинающихся из капиллярной сети, стенка построена почти из одного эндотелия, так же как в посткапиллярных венах. В средних и крупных сосудах можно различить, хотя столь же неотчетливо, как и в венах, внутреннюю, среднюю и наружную оболочки. Направление элементов во внутренней и наружной оболочках продольное, а в средней— более или менее циркулярное.

Эластиновых элементов и мышечных волокон в мелких сосудах настолько мало, что в них бывает трудно провести разграничение стенки на три слоя. Зато в главных стволах число тех и других значительно увеличивается, так что, например, грудной проток на разрезе напоминает скорее артерию мышечного типа, чем вену (рис 364). Мышечные волокна в средней оболочке лимфатических сосудов часто бывают расположены в двух косых взаимно перекрещивающихся направлениях. В наружной оболочке имеются мышечные клетки продольного напрамения.

Оценить/Добавить комментарий
Имя
Оценка
Комментарии:
Хватит париться. На сайте FAST-REFERAT.RU вам сделают любой реферат, курсовую или дипломную. Сам пользуюсь, и вам советую!
Никита15:05:24 04 ноября 2021
.
.15:05:23 04 ноября 2021
.
.15:05:21 04 ноября 2021
.
.15:05:20 04 ноября 2021
.
.15:05:18 04 ноября 2021

Смотреть все комментарии (21)
Работы, похожие на Реферат: Характеристика сосудистой системы

Назад
Меню
Главная
Рефераты
Благодарности
Опрос
Станете ли вы заказывать работу за деньги, если не найдете ее в Интернете?

Да, в любом случае.
Да, но только в случае крайней необходимости.
Возможно, в зависимости от цены.
Нет, напишу его сам.
Нет, забью.



Результаты(286975)
Комментарии (4154)
Copyright © 2005-2021 HEKIMA.RU [email protected] реклама на сайте