Содержание
Введение
I.
Строение эмали зуба
II
. Этиология, патогенез, клиника, дифференциальная диагностика
II
.1. Местная гипоплазия
II
.2. Системная гипоплазия эмали зубов
II
.3. Дифференциальная диагностика
III
. Лечение гипоплазии эмали зубов
III
.1. Опыт лечения гипоплазии эмали постоянных зубов в
детском возрасте
IV
.
Профилактика
Заключение
Литература
Введение
Некариозные поражения зубов в виде эрозий, повышенной стираемости, клиновидных дефектов и других проявлений нарушения эмали и дентина были описаны ещё в XIX веке. К изучению этой патологии зубов исследователи возвращались неоднократно.
Однако, в сравнении с изучением патогенеза и этиологии кариеса зубов и заболеваний пародонта, работ, посвящённых этим же вопросам в отношении некариозных поражений зубов, относительно немного. В известной степени этим объясняется недостаточная изученность, которая остается и до настоящего времени тайной для врачей. Но в последнее время наметился определенный успех в изучении этиологии и патогенеза некариозных поражений твердых тканей зубов.
Среди некариозных заболеваний зубов у детей наиболее часто встречается гипоплазия эмали, характеризующаяся количественной и качественной неполноценностью последней.
В переводе с медицинского языка гипоплазия означает недоразвитие. По отношению к зубной эмали это недоразвитие включает целый ряд состояний от небольшого истончения до полного отсутствия самого твердого слоя зуба.
II.
Строение эмали зуба
Тонкой эмаль бывает только при гипоплазии. У здорового ребенка со здоровыми зубами этот слой толстый. Так, на жевательных поверхностях здоровых зубов толщина ее составляет порядка 2 мм, а на жевательных буграх толщина эмали достигает 3.5 мм. На остальных поверхностях этот защитный слой имеет толщину примерно 1 мм. Корням, которые защищены тканями пародонта, эмаль не требуется, поэтому они эмалью и не покрыты. Нисколько они от этого не страдают.
На рисунке изображена схема строения зуба:
1 — эпителий десны;
2 — соединительнотканная подкладка десны;
3 — десневой карман;
4 — круговая связка;
5 — периодонт;
6 — канал нижней челюсти;
7 — верхушечное отверстие;
8 — сосудисто-нервный пучок;
9 — костная ткань челюсти с костномозговыми пространствами;
10 — пульпа с сосудами и нервами;
11 — цемент;
12 — шейка зуба;
13 — дентин;
14 — эмаль.
Основой эмали являются эмалевые призмы, между которыми располагается склеивающее межпризменное вещество. Эмаль прорезавшегося зуба покрыта сверху оболочкой — кутикулой, которая представляет собой остаток редуцированных эпителиальных клеток эмалевого органа (зубного зачатка). Под действием механических факторов, в первую очередь вследствие пережевывания пищи, она быстро разрушается, стирается, хотя к воздействию кислот устойчива.
При электронно-микроскопическом исследовании установлено, что эмалевые призмы состоят из кристаллов гидроксиапатита. Пучки эмалевых призм идут от дентина к поверхности эмали в основном в радиальном направлении.
Изучение строения зубов с помощью электронной микроскопии открыло множество секретов. Так, оказалось, что эмаль состоит из коллагена. Да, именно этого вещества, которое придает коже упругость. Части этого белка самостоятельно "собираются" в призмы, которые пропитываются кристаллами солей кальция. В результате специфической укладки призм эмаль приобретает высокую плотность и хорошую прочность. Правда, устойчива эмаль к равномерным нагрузкам, например, жеванию, что же касается внезапных и кратковременных нагрузок, то эмаль выдерживает не всегда. Так удары детских зубов о металлические ложки, фарфоровую посуду, стекло и другие прочные материалы могут стать причиной появления трещин.
Зачатки молочных зубов закладываются в верхней и нижней челюсти задолго до рождения. Так, уже на 6-10 неделе беременности образуются зачатки всех молочных зубов. Последующие недели происходит созревание эмали и дентина, которое продолжается и после рождения, а также после прорезывания зубов. Процесс отложения солей кальция в зубах начинается с 5 месяца беременности, за 1-2 месяца до начала минерализации скелета малыша.
Постоянные зубы закладываются до рождения. Их зачатки возникают на 5 месяце беременности, а формирование их длится в течение 5 лет. Окончательно минерализация постоянных зубов завершается только к 8 годам.
Развитие и созревание эмали полностью зависит от обмена кальция, как в организме женщине, когда ребенок находится еще в животе, так и в организме родившегося ребенка. В свою очередь обмен кальция зависит от огромного количества факторов. И от питания, и от инсоляции, и от работы желудочно-кишечного тракта и многих других причин. Гипоплазия молочных зубов возникает вследствие воздействия неблагоприятных факторов во время беременности и сразу после рождения.
Так, наиболее частыми причинами развития гипоплазии молочных зубов являются:
- Токсикоз I и II половины беременности;
- Инфекционные заболевания у матери и - краснуха, токсоплазмоз, грипп и ОРВИ;
- Заболевания желудочно-кишечного тракта у матери (гастрит, дуоденит, энтероколит);
- Недоношенность;
- Родовые травмы;
- Энцефалопатия;
- Гемолитическая болезнь;
- Искусственное вскармливание;
- Врожденная аллергия;
- Врожденные заболевания сердечно-сосудистой системы.
Гипоплазия постоянных зубов возникает вследствие воздействия неблагоприятных факторов в течение первых лет жизни ребенка. Так, чаще всего к гипоплазии приводят:
- Тяжело протекающие детские инфекции;
- Пневмонии и гнойные заболевания;
- Тяжело протекающие диатезы и аллергия;
- Рахит;
- Заболевания желудочно-кишечного тракта;
- Заболевания почек;
- Заболевания щитовидной и паращитовидных желез;
- Железодефицитная анемия.
Среди некариозных заболеваний зубов у детей наиболее часто встречается гипоплазия эмали, характеризующаяся количественной и качественной неполноценностью последней. Различают местную
и системную
гипоплазию эмали зубов у детей.
II
. Этиология, патогенез, клиника, дифференциальная диагностика
Гипоплазия тканей зуба (чаще всего эмали) возникает при нарушении метаболических процессов в зачатках зубов под влиянием нарушения минерального и белкового обмена в организме плода или ребенка. Недоразвитие эмали при гипоплазии необратимо. Часто гипоплазия эмали сопровождается нарушением строения дентина и пульпы зуба.
Гипоплазия молочных зубов
Гипоплазия молочных зубов, которые формируются во внутриутробный период, обусловлена нарушениями в организме беременной женщины (краснуха, токсоплазмоз, токсикоз, резус конфликты). У детей, страдающими хроническими соматическими заболеваниями, которые начались до или вскоре после рождения, гипоплазия зубов наблюдается в 50% случаев.
Гипоплазия постоянных зубов
Гипоплазия постоянных зубов развивается под влиянием различных заболеваний (рахит, тетания, острые инфекционные заболевания, болезни ЖКТ, токсическая диспепсия, алиментарная дистрофия, мозговые нарушения), возникших в период формирования и минерализации этих зубов, то есть в период от 6 месяцев до 1-1,5 года. Локализация гипоплазии на коронке зуба во многом зависит от возраста, в котором ребенок перенес заболевание (см. прорезывание зубов). Выраженность гипоплазии зависит от тяжести перенесенного заболевания.
II
.1. Местная гипоплазия
Это нарушение образования эмали на постоянных зубах в результате вовлечения в воспалительной процесс зачатков зубов или при их механической травме.
Местная гипоплазия – аплазия эмали
21 зуба (зуб Турнера)
Проявляется местная гипоплазия в виде беловато-желтоватых пятен, углублений, располагающихся на всех поверхностях. В тяжёлыхслучаях может быть аплазия (отсутствие) эмали.
Местная гипоплазия чаше наблюдается на постоянных малых коренных зубах, зачатки которых располагаются между корнями молочных зубов.
Это заболевание может быть предупреждено проведением профилактических мер против кариеса молочных зубов или лечением их на ранней стадии поражения.
Данная патология формируется вследствие нарушения деятельности клеток, строящих эмаль, однако причины этого нарушения не связаны с минеральным обменом в организме - местная гипоплазия эмали возникает в результате механической, травмы зачатка постоянного зуба либо воспалительный процесс в нём под влиянием биогенных аминов и инфекций, поступающих в фолликул при хроническом периодонтите молочного зуба. На временных зубах местная гипоплазия не наблюдается.
Более часто причиной местной гипоплазии является воспалительный процесс, распространяющийся из области верхушки корня временного зуба или из остеомиелитического очага челюсти. Зачаток любого постоянного зуба может оказаться вовлеченным в воспалительный процесс, но чаще страдают именно зачатки премоляров, располагающихся между корнями временных моляров. Как известно, временные моляры наиболее часто поражаются кариесом, а следовательно, и верхушечным периодонтитом.
При интенсивном и длительном воспалительном процессе, так же как и при глубоком вколоченном вывихе, могут пострадать клетки, строящие дентин. В таком случае обе ткани - эмаль и дентин - формируются неправильно, при этом постоянный зуб имеет неправильную форму - с искривленной или бочкообразной коронкой, причудливыми очертаниями.
II
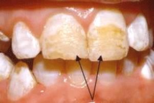
.2. Системная гипоплазия эмали зубов
(симметрично расположенные пятна белого цвета на одноименных зубах)
Гипоплазия эмали - порок её развития, наступающий в результате нарушения обменных процессов в развивающемся зубе и проявляющийся в количественном и качественном нарушении строения зуба, как нарушение минерализации при её формировании.
Клинически различают три формы системной гипоплазии:
Изменение цвета
Слабая степень недо-развития эмали проявляется в виде пятен чаще белого, реже желтоватого цвета, с четкими границами и одинаковой величины на одноименных зубах. Пятна обычно обнаруживаются на вестибулярной поверхности и не сопровождаются какими-либо неприятными ощущениями. Пятна при гипоплазии не окрашиваются красителями (в отличие от кариеса в стадии пятна).
Недоразвитие
Более тяжёлой формой гипоплазии эмали является ее недоразвитие, которая прояв-ляется по разному (волнистая, точечная, бороздчатая эмаль). На поверхности эмали обнаружи-ваются углубления или бороздки. Эмаль в углублениях остается плотной и гладкой.
Отсутствие эмали
Наиболее редко встречающейся формой гипоплазии является ее отсуствие (аплазия) на определенном участке. При этой форме могут быть жалобы на болевые ощущения от термических и химических раздражителей.
Гипоплазия при врожденном сифилисе
Для врожденного сифилиса характерны «зубы Гетчинсона», «Фурне» и «Пфлюгера». Эти признаки входят в триаду врожденного сифилиса: паренхиматозный кератит, врожденная глухота и гетчинсоновы зубы. Однако в дальнейшем было установлено, что эти аномалии могут быть не только при сифилисе. Авторы, чьими именами названы данные разновидности системной гипоплазии, считали причиной развития таких зубов наследственный сифилис.
Этиологическим фактором гипоплазии эмали считают недостаточную или замедленную функцию одонтобластов, что возникает в связи с нарушением обмена во всём организме под влиянием различных заболеваний или в результате нарушения обмена в отдельных фолликулах под влиянием механической травмы, инфекции, проникающей радиации и др. В зависимости от действующей причины нарушение возникает в группе зубов, формирующихся в один и тот же период (системная гипоплазия); на нескольких рядом стоящих зубах одного или разного периода развития (очаговая гипоплазия); на одном или нескольких зубах (местная гипоплазия). Системная гипоплазия составляет 90,6% поражений такого рода. Системная гипоплазия эмали встречается в 2-14% случаев, характеризуется нарушением развития эмали во всех или группе зубов одновременно. Гипоплазия эмали встречается у 12-19% детей, что подтверждают данные литературы. Дефекты гипоплазии локализуются на симметрично расположенных зубах, в одном и том же участке коронок, с очагом поражения одинаковой ширины, то есть клиническое её проявление одинаково на всех зубах. На молочных зубах она встречается редко, в основном как результат нарушения обмена в организме беременной женщины и крайне редко вследствие нарушения обмена у ребёнка в первые месяцы жизни. Нередко гипоплазия сочетается с врождённой аллергией, характеризующейся нарушением водно-минерального обмена. Гипоплазия возникает также у детей, перенёсших поражение ЦНС, переболевших гемолитической желтухой на фоне резус-конфликта, рахитом, тетанией, желудочно-кишечными заболеваниями, имеющих поражение эндокринной системы, у искусственно вскармливаемых, при врождённом сифилисе.
Пятна, бороздки и гнезда
Как уже говорилось, основным клиническим проявлением гипоплазии является изменение внешнего вида зуба. Существует несколько форм поражения. Гипоплазия может проявляться в виде белых пятен (пятнистая форма), чашеобразных углублений округлой формы (эрозивная форма), в виде одиночных или множественных бороздок (бороздчатая и волнистая форма).
Свидетельством тяжелого поражения является полное отсутствие эмали, называемое аплазией. Появление апластической формы является следствием грубых нарушений развития зуба и обычно сочетается с другими пороками развития.
По локализации участка гипоплазии можно судить о возрасте, в котором происходит нарушение минерального обмена, а по ширине участка поражения определяют длительность нарушения. По количеству участков гипоплазии, располагающихся параллельно режущему краю, уточняют, сколько раз возникало нарушение обмена в организме ребёнка. Следует отметить, что более 60% дефектов гипоплазии развиваются в первые 9 месяцев жизни ребёнка, когда ещё слабо выражены компенсаторные и адаптационные механизмы, и любые неблагоприятные факторы (болезнь, неправильное питание) могут вызывать нарушение обмена в организме (Дьякова С,В., 1965). Поэтому гипоплазия чаще встречается в области режущего края резцов, клыков и буфов первых моляров. При заболеваниях детей на протяжении 3-4 года жизни гипоплазия проявляется в остальных зубах. При этим поражаются коронки зубов вплоть до пришеечной области, а у премоляров и вторых моляров пятна могут быть на жевательной поверхности.
К сожалению, пятна остаются даже после самого успешного лечения гипоплазии. Дефекты постоянных зубов можно исправить только с помощью технологии микро-протезирования. Сделать это можно только по достижении 17-18 лет. Детские же годы придется провести с некрасивыми зубами.
Одной из разновидностей системной гипоплазии и примером измененной формы зубов являются зубы Гетчинсона, Пфлюгера и Фурнье, имеющие своеобразную форму коронок.
Зубы Гетчинсона (а)
Аномалия развития зуба, при которой верхние цент-ральные резцы имеют отвёрт-кообразную или бочкообразную форму коронки (размер у шейки больше, чем у режущего края) и полулунную выемку на режущем крае. При этом полулунная выемка может быть покрыта эмалью, но иногда эмаль наблюдается только на углах зуба, а в средней части дентин не имеет эмали. Cимптом врожденного сифилиса.

Зубы Фурнье (б)
Центральные резцы с отвертко-образной коронкой ( такой же как и у зубов Гетчинсона), но без полулунной выемки по режущему краю. Ранее полагали, что зубы Гетчинсона и Фурнье характерны для врожденного сифилиса. Этот признак входит в триаду врожденного сифилиса: паренхиматозный кератит, врожденная глухота и гетчинсоновы зубы. Однако в дальнейшем было установлено, что указанная аномалия формы зуба может наблюдаться не только при сифилисе.

Зубы Пфлюгера
Аномалия первых больших коренных зубов(моляры), при которой размер коронки у шейки зуба больше, чем у режущего края, а бугры недоразвиты и, сходясь, придают зубу вид конуса.

«Тетрациклиновые» зубы
«Тетрациклиновые» зубы — это зубы, имеющие измененную окраску в результате приема тетрациклина в период формирования и минерали-зации тканей зуба.
Тетрациклин откладывается в эмали и дентине зубных зачатков, а также в костях плода или ребенка в случае введения в организм беременной или ребенка. В зависимости от дозы тетрациклин может изменить не только цвет эмали, но и приводить к недоразвитию эмали зуба. В случае приема диметилхлортетрациклина изменение окраски более значительное.
При приеме тетрациклина во время беременности у ребенка окрашиваются молочные зубы, а именно 1/3 коронок резцов начиная от режущего края и жевательной поверхности больших коренных зубов. Прием тетрациклина ребенком старше 6-ти месяцев уже приводит к окрашиванию постоянных зубов. Как правило, окрашивается только часть коронки зуба, которая формируется в период приема препарата.
Интенсивность окрашивания и цвет зависит от вида тетрациклина и его количества. Зубы, окрашенные в желтый цвет, обладают способностью флюоресцировать под влиянием ультрафиолетовых лучей. Это свойство можно использовать для дифференциации окраски зубов, вызванной другими причинами, например билирубином при гемолитической болезни новорожденного.
II.3.
Дифференциальная диагностика
Гипоплазию эмали дифференцируют от начального и поверхностного кариеса.
При кариесе белое пятно обычно одиночное на поверхности зуба у шейки, при гипоплазии белые пятна множественные и располагаются на любом участке коронки. Кроме того, при гипоплазии пятно не окрашивается 2% раствором метиленового синего, а при кариесе окрашивается.
От поверхностного кариеса гипоплазию дифференцируют на основании того, что при ней поверхность эмали гладкая, а при поверхностном кариесе целость эмали нарушена, поверхность шероховатая (при зондировании).
III
. Лечение гипоплазии эмали зубов
Что касается лечения местной гипоплазии, то при значительной деформации коронки зуба показано изготовление искусственной коронки. При клиническом дефекте эмали, не распространяющемся на всю вестибулярную поверхность зуба, следует отдавать предпочтение эстетическим пломбировочным материалам с минимальным препарированием твёрдых тканей зуба.
Своевременная лечебная помощь при гипоплазии имеет не только большое эстетическое, но и психологическое значение, так как способствует устранению нежелательных эмоциональных наслоений. Кроме всего указанного, лечение гипоплазии способствует профилактике кариеса зубов. Дети старшего возраста, особенно девочки, тяжело переживают такой порок развития зубов. Это формирует замкнутость характера, нежелание контактировать. Эстетическая неудовлетворенность заставляет обращаться к стоматологу.
Вначале следует зафиксировать в амбулаторной карте очаги гипоплазии, зарисовав их схематично и измерив размеры по вертикали и горизонтали в мм. Это необходимо для того, чтобы контролировать результаты проводимой ремотерапии, которую при наличии белых пятен размером 4-5 мм необходимо будет проводить в течение 8-16 месяцев по определённой схеме. Практические наблюдения свидетельствуют о том, что объем (площадь) пятна под действием ремотерапии уменьшается в течение 2-3 мес. в среднем до 1-1,5 мм. С учетом психологии больных, ожидающих результата немедленного или хотя бы после нескольких дней лечебных мероприятий, они должны быть предупреждены и мотивированы на длительный курс лечения, но без каких-либо оперативных вмешательств, связанных с препарированием зубов. Особенность этого лечения состоит в том, что его проводит сам больной, а врач лишь контролирует его этапы и корректирует проведение мероприятий.
У 92,5% больных были получены хорошие и стойкие результаты, и лишь у отдельных пациентов, не соблюдавших основных правил лечения, не удалось полностью устранить пятна гипоплазии. Комплексная ремотерапия основана на местном применении фосфорно-кальциевых препаратов, витаминных составов и природных БАВ, назначаемых курсами, по схемам.
При гипоплазии лечение назначают на весь год, контролируя его результаты и добросовестность проведения лечебных мероприятий больным в среднем каждые 1,5-2 мес. Больной должен пройти 3 месячных курса приема глицерофосфата кальция, поливитаминов, антиоксидантов с перерывами 3 мес.
Больного обучают гигиене полости рта и назначают фосфатсодержащие зубные пасты типа «Жемчуг», «Жемчуг новый», «Жемчуг детский», «Арбат», «Чебурашка» для двукратной чистки зубов и аппликаций на участки гипоплазии (по 15 мин. ежедневно в течение всего времени лечения).
Устранение гипоплазированного участка эмали возможно путем наложения пломбы в углубления или бороздки из соответствующего по цвету и обладающего оптимальной прилипаемостью пломбировочного материала. При сильном истончении режущего края и аплазии эмали на буфах премоляров и моляров показано покрытие таких зубов искусственными коронками. На резцы и клыки у взрослых изготавливают фарфоровые, пластмассовые или металлические коронки с облицовкой.
Ортопедическое лечение у детей лучше проводить после окончания формирования зубочелюстной системы во избежание развития осложнений со стороны пульпы и пародонта. На зубы с несформированными корнями и обширными дефектами тканей можно изготавливать ортодонтические коронки, которые предохраняют зуб от разрушения, и только в возрасте старше 16 лет заменить их по показаниям постоянными протезами из указанных выше материалов.
Дети с гипоплазией эмали должны быть взяты на диспансерное наблюдение стоматологом для определения показаний к лечению различными методами (реминерализирующая терапия, ликвидация дефектов эмали с помощью пломбировочных материалов) и его осуществлению.
Профилактика местной гипоплазии - это предупреждение у детей травматизма, развития кариеса молочных зубов, раннее его выявление и своевременное лечение. Нередко родители не обращаются к стоматологу, ошибочно полагая, что лечить молочные зубы нет надобности, так как они меняются на постоянные. В результате воспалительный процесс распространяется на подлежащий зачаток постоянного зуба. Если в это время в зачатке идет минерализация, то ока нарушается, и формируется местная гипоплазия эмали.
В случае возникновения местного дефекта твердых тканей зуба необходимо с целью профилактики кариеса проводить реминерализующую терапию с временным пломбированием дефекта фторсодержащим цементом. В более старшем возрасте (по окончании формирования корня) прибегают к косметическому пломбированию.
При наличии местной гипоплазии эмали зуба у ребенка проводят рентгенологическое, обследование периапикальных тканей, так как ростковая зона в этих зубах часто гибнет до окончания формирования корня, а у верхушки развивается воспалительный процесс, представляющий собой очаг инфекции для организма ребенка. В таком случае аномальный зуб требует эффективного лечения или удаления.
При отсутствии в периодонте воспалительного процесса показано изготовление коронки с целью; придания зубу нормальной формы и восстановления его функции.
Неправильное построение эмали может наблюдаться в нескольких, развивающихся в один и тот же период, зубах, что приводит к системной гипоплазии. Причиной системной гипоплазии является нарушение минерального обмена в организме ребенка при различных патологических состояниях: инфекционных заболеваниях, рахите, диспепсии, пневмонии, а также при нерациональном вскармливании.
Системная гипоплазия проявляется различными клиническими формами, которые отражают степень поражения эмали в зависимости от выраженности нарушений минерального обмена.
По классификации проф. В. К. Патрикеева, различают: следующие формы системной гипоплазии эмали: Пятнистую, чашеобразную, бороздчатую и аплазию. Длят всех форм гипоплазии эмали характерны поражение группы зубов одного периода минерализации, расположение дефекта строго по одной линии ближе к режущему краю на всей группе зубов, четкие края, гладкая блестящая поверхность дна и стенок дефекта.
Иногда встречаются незначительные отклонения от описанной классической картины.
Пятнистая форма гипоплазии эмали проявляется гладкими белыми пятнами с четкими контурами. Эта форма указывает на недостаточное обызвествление эмали при законченном ее формировании. Чашеобразная форма имеет вид овальных или округлых углублений с гладкими стенками и дном. Бороздчатая форма гипоплазии проявляется бороздками различной глубины и ширины с четкими ровными краями, с гладким блестящим дном и стенками. Аплазия, т. е. полное отсутствие эмали на дне дефекта - наиболее, тяжелое поражение.
В связи с тем, что детские болезни наиболее интенсивно влияют на минеральный обмен на 1-м году жизни ребенка, в этот период гипоплазией эмали чаще поражаются участки зубов, расположенные ближе и режущему краю, так как процесс минерализации начинается с них.
Молочные зубы почти полностью минерализуются во внутриутробном периоде, когда состояние плода зависит от состояния здоровья матери. В связи с этим большое значение в профилактике недоразвития эмали у детей имеет предотвращение нарушений минерального обмена у беременной и у ребенка, т. е. раннее выявление и лечение интеркуррентных заболеваний, санитарно-просветительная работа в женских и детских консультациях.
Гипопластические участки на зубах в дальнейшем могут поражаться кариозным процессом, при котором дефект углубляется и развиваются осложнённые формы кариеса. В связи с этим раннее выявление пороков развития твердых тканей зуба приобретает особое значение в деле профилактики кариозного процесса. К системной гипоплазии эмали относятся и так называемые «тетрациклиновые зубы», окрашенные в желтый цвет на передней, небной и язычной поверхностях. Эти изменения являются следствием применения больших доз тетрациклина в период минерализации зубов. В 3-6-месячном возрасте начинается минерализация фронтальной группы постоянных зубов. Поэтому лечение тетрациклином в этом возрасте особенно нежелательно. Следует отметить, что постоянно под действием дневного света передняя поверхность зубов сереет, так как тетрациклин разлагается от ультрафиолетовых лучей, а язычная и небная, недоступные свету, остаются ярко-желтыми.
Для предупреждения этого косметического дефекта зубной врач должен работать в контакте с педиатрами. В периоды минерализации различных групп зубов, желательно исключить назначение антибиотиков желтого ряда, если к этому нет жизненных показаний.
В случае появления желтой окраски можно рекомендовать ультрафиолетовое облучение передней группы зубов. В настоящее время считают, что «тетрациклиновые зубы» больше подвержены кариесу. Поэтому необходимо раннее выявление аномалии и регулярное наблюдение за больным с использованием реминерализующей терапии (проводит врач-стоматолог).
Дети, страдающие системной или местной гипоплазией эмали, подлежат постоянному диспансерному наблюдения у врача-стоматолога и должны обследоваться 1 раз в 6 месяцев с целью профилактики осложнения гипоплазии эмали кариозным процессом, а также своевременного пломбирования и ликвидации функционального и косметического дефекта.
Для предотвращения развития гипоплазии важны следующие профилактические мероприятия:
1) забота о здоровье беременной женщины, а затем новорожденного;
2) профилактика инфекционных и неинфекционных заболеваний у детей;
3) своевременное и эффективное комплексное лечение возникшего соматического заболевания (острые инфекционные заболевания, алиментарные дистрофии, токсические диспепсии, гипо- и авитаминозы и т.д.);
4) усиление стоматологической санитарно-просветительной работы в женских и детских консультациях.
III
.1. Опыт лечения гипоплазии эмали постоянных зубов в детском возрасте
О том, что гипоплазия эмали постоянных зубов, частичная или полная – штука более чем гадкая известно давно. С институтских времен лечить это безобразие предлагают при помощи протезирования, либо, в современном варианте, при помощи реставрационных технологий. Одно мне только интересно: автор этих рекомендаций сам пробовал отреставрировать, притом как положено(!), зуб ребенку 6-7 лет? Ведь сделать это можно либо под общим наркозом, либо вызвав у ребенка психическую травму. Ну не высидит/вылежит 6-7 летний ребенок 40-60 минут в кресле с открытым ртом, с одетым кофердамом. Да и анестезию не всякий ребенок позволит нормально сделать. Кроме того, в таком возрасте я бы поостерегся реставрации композитным материалом: мало того, что гипоплазия, так и зуб то еще не зрелый. В общем – вырванные годы для ребенка, его родителей и доктора вместе взятых. А лечить-то как-то надо! И при том лечить хорошо. О коронках вообще разговор особый. Хотя, конечно, если доктор сможет как-то изловчиться о снять более-менее нормальные оттиски, если техник отштампует нормальную коронку, если доктор её нормально припасует и если установит на хороший цемент (при этом не забывая, что прикус еще не сформирован), тогда да. А теперь посчитаем, сколько там перечислено “если”.
Наверное, как для вводной части достаточно, теперь ближе к теме. Оговорюсь сразу, пациентов было всего два (ну не столь распространенное это заболевание), метод придумывался от безысходности; и ребенку нужно было помочь хорошо и качественно, и психику его и родителей не травмировать. Потому никаких дополнительных исследований типа морфологических или там микроскопических не проводилось. Только наблюдение в динамике на протяжении полутора и одного года соответственно (на сегодняшний момент).
Итак, клинический пример:
Пациент Дима Г., 6.5 лет. Жалобы на боли от термических (даже теплая вода вызывала боль), химических (кислое – сладкое) и механических раздражителей в области прорезавшихся 36 и 46 зубов.
Объективно: частичная аплазия эмали по язычной поверхности и в области язычных бугров 36, 46 зубов. Реакция на воздух из пустера резко положительная, быстропроходящая. Результат обработки кариес-детектором отрицательный. Кстати, если делать реставрацию, то без анестезии никак нельзя. Было принято решение развести лечение на несколько этапов.
На первом, в день обращения, проводилось снижение чувствительности праймером GLUMA-DESENSITAJZER (фирма H.-KULZER) согласно инструкции. Единственное, что время аппликации препарата сократили примерно в полтора раза. Через три дня процедуру повторили. В итоге – практически полное снижение чувствительности пораженных зубов.
Далее, в третье посещение, спокойно и без всякой анестезии была проведена профчистка этих зубов и обработка поверхностей ПРАЙМ ЕНД БОНД–NT (фирма ДЕНТСПЛАЙ). Этап кондиционирования поверхностей исключили!!! После этого пораженные участки покрывались слоем текучего компомера и полимеризовались.
Весь этот этап занял в общей сложности не более 10 минут. Рабочее поле кофердамом не изолировалось.
В течение всего времени наблюдения никаких осложнений не отмечалось, сколов материала не было. В дальнейшем, в возрасте 12-13 лет будет проведена реставрация проблемных зубов с восстановлением их анатомической и функциональной целостности по всем правилам реставрационной технологии.
IV
.
Профилактика
Профилактика местной гипоплазии - это предупреждение у детей травматизма, развития кариеса молочных зубов, раннее его выявление и своевременное лечение. Нередко родители не обращаются к стоматологу, ошибочно полагая, что лечить молочные зубы нет надобности, так как они меняются на постоянные. В результате воспалительный процесс распространяется на подлежащий зачаток постоянного зуба. Если в это время в зачатке идет минерализация, то ока нарушается, и формируется местная гипоплазия эмали.
В случае возникновения местного дефекта твердых тканей зуба необходимо с целью профилактики кариеса проводить реминерализующую терапию с временным пломбированием дефекта фторсодержащим цементом. В более старшем возрасте (по окончании формирования корня) прибегают к косметическому пломбированию.
При наличии местной гипоплазии эмали зуба у ребенка проводят рентгенологическое, обследование периапикальных тканей, так как ростковая зона в этих зубах часто гибнет до окончания формирования корня, а у верхушки развивается воспалительный процесс, представляющий собой очаг инфекции для организма ребенка. В таком случае аномальный зуб требует эффективного лечения или удаления.
При отсутствии в периодонте воспалительного процесса показано изготовление коронки с целью; придания зубу нормальной формы и восстановления его функции.
Неправильное построение эмали может наблюдаться в нескольких, развивающихся в один и тот же период, зубах, что приводит к системной гипоплазии. Причиной системной гипоплазии является нарушение минерального обмена в организме ребенка при различных патологических состояниях: инфекционных заболеваниях, рахите, диспепсии, пневмонии, а также при нерациональном вскармливании.
В связи с тем, что детские болезни наиболее интенсивно влияют на минеральный обмен на 1-м году жизни ребенка, в этот период гипоплазией эмали чаще поражаются участки зубов, расположенные ближе и режущему краю, так как процесс минерализации начинается с них.
Молочные зубы почти полностью минерализуются во внутриутробном периоде, когда состояние плода зависит от состояния здоровья матери. В связи с этим большое значение в профилактике недоразвития эмали у детей имеет предотвращение нарушений минерального обмена у беременной и у ребенка, т. е. раннее выявление и лечение интеркуррентных заболеваний, санитарно-просветительная работа в женских и детских консультациях.
Гипопластические участки на зубах в дальнейшем могут поражаться кариозным процессом, при котором дефект углубляется и развиваются осложнённые формы кариеса. В связи с этим раннее выявление пороков развития твердых тканей зуба приобретает особое значение в деле профилактики кариозного процесса. К системной гипоплазии эмали относятся и так называемые «тетрациклиновые зубы», окрашенные в желтый цвет на передней, небной и язычной поверхностях. Эти изменения являются следствием применения больших доз тетрациклина в период минерализации зубов. В 3-6-месячном возрасте начинается минерализация фронтальной группы постоянных зубов. Поэтому лечение тетрациклином в этом возрасте особенно нежелательно. Следует отметить, что постоянно под действием дневного света передняя поверхность зубов сереет, так как тетрациклин разлагается от ультрафиолетовых лучей, а язычная и небная, недоступные свету, остаются ярко-желтыми.
Для предупреждения этого косметического дефекта зубной врач должен работать в контакте с педиатрами. В периоды минерализации различных групп зубов, желательно исключить назначение антибиотиков желтого ряда, если к этому нет жизненных показаний.
В случае появления желтой окраски можно рекомендовать ультрафиолетовое облучение передней группы зубов. В настоящее время считают, что «тетрациклиновые зубы» больше подвержены кариесу. Поэтому необходимо раннее выявление аномалии и регулярное наблюдение за больным с использованием реминерализующей терапии (проводит врач-стоматолог).
Дети, страдающие системной или местной гипоплазией эмали, подлежат постоянному диспансерному наблюдения у врача-стоматолога и должны обследоваться 1 раз в 6 месяцев с целью профилактики осложнения гипоплазии эмали кариозным процессом, а также своевременного пломбирования и ликвидации функционального и косметического дефекта.
Заключение
Гипоплазия эмали расценивается как порок ее развития, наступающий в результате нарушения метаболических процессов в развивающихся зубах и проявляющийся в количественном и качественном нарушении эмали зубов.
Некоторые исследователи считают, что при гипоплазии нарушается формирование зубных тканей за счет изменения в образующих эмаль клетках – энамелобластах (Абрикосов А.И., 1914 и др.).
Другие авторы (Лукомский И.Г., 1953; Вайс С.И., 1965 и др.) рассматривают гипоплазию эмали как дефект ее минерализации при нормальном формировании зубных тканей.
Ряд авторов указывают на невозможность разделения этих двух взаимосвязанных процессов. По их мнению, гипоплазия твердых тканей зуба возникает в результате нарушения как формирования эмали энамелобластами, так и ослабления процесса минерализации эмалевых призм.
Гипоплазия эмали зуба возникает при нарушении метаболических процессов в зачатках зубов под влиянием нарушения минерального и белкового обмена в организме плода или ребенка (системная гипоплазия) или местно действующей на зачаток зуба причины (местная гипоплазия). При гибели энамелобластов эмаль не образуется. Недоразвитие эмали при гипоплазии необратимо, т.е. гипопластические дефекты не претерпевают обратного развития и остаются на эмали зубов на весь период жизни.
Устранить действие всех неблагоприятных факторов в жизни получается далеко не всегда, поэтому оптимальным способом предупреждения как гипоплазии эмали молочных и постоянных зубов, так и кариеса, пародонтита и челюстно-лицевых аномалий является диспансерное наблюдение беременной женщины, а затем и малыша. Проводится такое наблюдение, начиная с 6-8 недель беременности, и продолжается в течение первых лет жизни ребенка, плавно перерастая в обыкновенное наблюдение. При нормально протекающей беременности и отсутствии проблем с зубами женщина должна посетить стоматолога в 6-8, 16-18, 26-28 и 36-38 недель. Задачей стоматолога является раннее выявление кариеса и пародонтита, а также назначение профилактического лечения, профессиональная гигиена полости рта и обучение навыкам индивидуальной гигиены. При не гладко протекающей беременности и возникновении заболеваний полости рта количество посещений стоматолога удваивается, что позволяет своевременно корректировать назначенное лечение.
При отсутствии проблем с полостью рта у ребенка стоматолог осматривает его 1 раз в год до 2-3 лет. После этого стандартным является посещение стоматолога два раза в год. При наличии причин развития гипоплазии эмали наблюдение переходит в лечение и длится столько, сколько этого требуют зубы.
Литература
1. Бажанов Н.Н. Стоматология. – Москва: Медицина, 1990
2. Беляков Ю.А. Стоматологические проявления наследствен-ных болезней и синдромов.- М.: Медицина,1993
3. Боровский Е.В., Леонтьев В.К. Биология полости рта. - М: Медицинская книга, Издательство НГМА, 2001
4. Грошиков М.И. Некариозные поражения тканей зуба. – М.: Медицина, 1985 г. - 176 с.
5. Грошков М.М., Некариозные поражения тканей зуба. - М.: Медицина, 1985.
6. Кисельникова Л.П., Ожгихина Н.В. Гипоплазия эмали у детей.// Санкт-Петербургский Институт Стоматологии, 2001
7. Колесов А.А., Каспарова Н.Н., Жилина В.В. Стоматология детского возраста. - М.: Медицина,1991
8. Олейник Е.А. Распространенность факторов риска развития зубочелюстных аномалий у детей //Актуальные вопросы стоматологии детского возраста и профилактики стоматологических заболеваний: сб. науч. тр.- СПб., 2007. - С. 52-53.
9. Олейник Е.А. Определение риска развития кариеса у детей, имеющих зубочелюстные аномалии // Актуальные вопросы стоматологии детского возраста и профилактики стоматологических заболеваний: сб. науч. тр.- СПб., 2007. - С. 50-52
10. Олейник Е.А. Результаты исследования твердых тканей зубов у лиц с аномалиями структуры твердых тканей зубов // Стоматология детского возраста и профилактика. - 2008. - № 1 .- С. 36-38.
11. Патрикеев В.К., Клинические и электронно-микроскопические исследования твердых тканей зубов при некариозных поражениях. - М., 1978.
12. Симинович В. Как позаботиться о здоровье зубов ребёнка до его рождения// 9 месяцев. – Кишинев, 2002. - №6 [http://www.9months.ru/razvitie/1023]
13. Справочник по стоматологии/ Под ред. Рыбакова А.И. - 1993.
14. Терапевтическая стоматология/ под ред. Е.В. Боровского, Ю.Д. Барышева и др. – Москва: ТОО Техлит, 1997. – 544 с.
15. Федоров Ю.А., В.А.Дрожжина, Клиника, диагностика и лечение некариозных поражений зубов // Новое в стоматологии. – 2001, №10. – С. 60
16. Федоров Ю.А., Дрожжина В.А., Клиника, диагностика и лечение некариозных поражений зубов // Новое в стоматологии. - 2001, №10. – С. 54
|