ВВЕДЕНИЕ
С помощью цифрового микроскопа происходит погружение в таинственный и увлекательный мир, где можно узнать много нового и интересного. Дети, благодаря микроскопу, лучше понимают, что всё живое так хрупко и поэтому нужно относиться очень бережно ко всему, что тебя окружает. Цифровой микроскоп – это мост между реальным обычным миром и микромиром, который загадочен, необычен и поэтому вызывает удивление. А всё удивительное сильно привлекает внимание, воздействует на ум ребёнка, развивает творческий потенциал, любовь к предмету, интерес к окружающему миру.
Каждое задание с использованием микроскопа дети встречают с восторгом, любопытством. Им, оказывается, очень интересно увидеть в увеличенном виде и клетки, и человеческий волос, и жилки листа, и споры папоротника, и плесневый гриб мукор.
Глава 1. ИСПОЛЬЗОВАНИЕ УВЕЛИЧИТЕЛЬНЫХ ПРИБОРОВ НА УРОКАХ БИОЛОГИИ
Лупа
— самый простой увеличительный прибор. Главная его часть — увеличительное стекло,
выпуклое с двух сторон и вставленное в оправу. С помощью лупы мы видим изображение предмета, увеличенное в 2—25 раз. Лупу берут за рукоятку и приближают к предмету на такое расстояние, при котором изображение предмета становится наиболее четким.
Микроскоп
— это прибор, увеличивающий изображение предмета в несколько сот и даже в тысячи раз 15 . Первые микроскопы начали изготавливать в XVII в. Наиболее совершенными в то время были микроскопы, сконструированные голландцем Анто-ни ван Левенгуком. Его микроскопы давали увеличение до 270 раз. Современные световые микроскопы увеличивают изображение до 3600 раз. В XX в. был изобретен электронный микроскоп, увеличивающий изображение в десятки и сотни тысяч раз.
Главная часть светового микроскопа, с которым вы работаете в школе,— увеличительные стекла,
вставленные в трубку, или тубус (по-латыни «тубус» значит «трубка»). В верхнем конце тубуса находится окуляр,
состоящий из оправы и двух увеличительных стекол. Название «окуляр» происходит от латинского слова «окулус», что значит «глаз». Рассматривая предмет с помощью микроскопа, глаз приближают к окуляру.

На нижнем конце тубуса помещается объектив,
состоящий из оправы и нескольких увеличительных стекол. Название «объектив» происходит от латинского слова «объектум», что значит «предмет».
Тубус прикреплен к штативу. К штативу прикреплен также предметный столик, в центре которого имеется отверстие, и под ним зеркало.
Пользуясь микроскопом, можно рассмотреть клетки всех органов растения.
Во время работы с микроскопом рекомендуется соблюдать следующие правила. Микроскоп поставить штативом к себе, на расстоянии 5—8 мм от края стола. Свет направлять зеркалом в отверстие предметного столика.
Приготовить препарат, поместить его на предметный столик и закрепить там предметное стекло двумя зажимами.
Пользуясь винтом, плавно опустить тубус так, чтобы нижний край объектива оказался на расстоянии 1—2 мм от препарата.
Смотря в окуляр, медленно поднимать тубус, пока не появится четкое изображение предмета.
После работы микроскоп убрать в футляр.
Микроскоп включает в себя три основные функциональные части
:
1.
Осветительная часть
Предназначена для создания светового потока, который позволяет осветить объект таким образом, чтобы последующие части микроскопа предельно точно выполняли свои функции. Осветительная часть микроскопа проходящего света расположена за объектом под объективом в прямых микроскопах и перед объектом над объективом
в инвертированных
. Осветительная часть включает источник света (лампа и электрический блок питания) и оптико-механическую систему (коллектор, конденсор, полевая и апертурная регулируемые/ирисовые диафрагмы).
2.
Воспроизводящая часть
Предназначена для воспроизведения объекта в плоскости изображения с требуемым для исследования качеством изображения и увеличения (т.е. для построения такого изображения, которое как можно точнее и во всех деталях воспроизводило бы объект с соответствующим оптике микроскопа
разрешением, увеличением, контрастом и цветопередачей). Воспроизводящая часть обеспечивает первую ступень увеличения и расположена после объекта до плоскости изображения микроскопа.
Воспроизводящая часть включает объектив
и промежуточную оптическую систему.
Современные микроскопы последнего поколения базируются на оптических системах объективов
, скорректированных на бесконечность. Это требует дополнительно применения так называемых тубусных систем, которые параллельные пучки света, выходящие из объектива
, «собирают» в плоскости изображения микроскопа
.
3.
Визуализирующая часть
Предназначена для получения реального изображения объекта на сетчатке глаза, фотопленке или пластинке, на экране телевизионного или компьютерного монитора с дополнительным увеличением (вторая ступень увеличения).
Визуализирующая часть расположена между плоскостью изображения объектива и глазами наблюдателя (камерой
, фотокамерой). Визуализирующая часть включает монокулярную, бинокулярную или тринокулярную визуальную насадку с наблюдательной системной (окулярами
, которые работают как лупа).
Кроме того, к этой части относятся системы дополнительного увеличения (системы оптовара/смены увеличения); проекционные насадки, в том числе дискуссионные для двух и более наблюдателей; рисовальные аппараты; системы анализа и документирования изображения с соответствующими адаптерными (согласующими) элементами.
Современный микроскоп
состоит из следующих конструктивно-технологических частей:
оптической;
механической;
электрической.
Механическая часть микроскопа
Основным конструктивно-механическим блоком микроскопа является штатив
. Штатив включает в себя следующие основные блоки: основание
и тубусодержатель
.
Основание
представляет собой блок, на котором крепится весь микроскоп
. В простых микроскопах на основание устанавливают осветительные зеркала или накладные осветители. В более сложных моделях осветительная система встроена в основание без или с блоком питания.
Разновидности оснований микроскопа
основание с осветительным зеркалом;
так называемое «критическое» или упрощенное освещение;
освещение по Келлеру.
Тубусодержатель
представляет собой блок, на котором закрепляются:
узел смены объективов
, имеющий следующие варианты исполнения — револьверное устройство, резьбовое устройство для ввинчивания объектива
, «салазки» для безрезьбового крепления объективов
с помощью специальных направляющих;
фокусировочный механизм грубой и точной настройки микроскопа на резкость — механизм фокусировочного перемещения объективов или столиков;
узел крепления сменных предметных столиков;
узел крепления фокусировочного и центрировочного перемещения конденсора;
узел крепления сменных насадок (визуальных, фотографических, телевизионных, различных передающих устройств).
В микроскопах могут использоваться стойки для крепления узлов (например, фокусировочный механизм в стереомикроскопах или крепление осветителя в некоторых моделях инвертированных микроскопов).
Чисто механическим узлом микроскопа является предметный столик
, предназначенный для крепления или фиксации в определенном положении объекта наблюдения. Столики бывают неподвижные, координатные и вращающиеся (центрируемые и нецентрируемые).
Оптика микроскопа (оптическая часть)
Оптические узлы и принадлежности обеспечивают основную функцию микроскопа — создание увеличенного изображения объекта с достаточной степенью достоверности по форме, соотношению размеров составляющих элементов и цвету. Кроме этого, оптика должна обеспечивать такое качество изображения, которое отвечает целям исследования и требованиям методик проводимого анализа.
Основными оптическими элементами микроскопа являются оптические элементы, образующие осветительную (в том числе, конденсор), наблюдательную (окуляры
) и воспроизводящую (в том числе объективы) системы микроскопа.
Объективы микроскопа
- представляют собой оптические системы, предназначенные для построения микроскопического изображения в плоскости изображения с соответствующим увеличением, разрешением элементов, точностью воспроизведения по форме и цвету объекта исследования. Они имеют сложную оптико-механическую конструкцию, которая включает несколько одиночных линз и компонентов, склеенных из 2-х или 3-х линз. Количество линз обусловлено кругом решаемых объективом задач. Чем выше качество изображения, даваемое объективом, тем сложнее его оптическая схема. Общее число линз в сложном объективе может доходить до 14 (например, это может относиться к планапохроматическому объективу с увеличением 100х и числовой апертурой 1,40).
Объектив состоит из фронтальной и последующей частей. Фронтальная линза (или система линз) обращена к препарату и является основной при построении изображения соответствующего качества, определяет рабочее расстояние и числовую апертуру объектива. Последующая часть в сочетании с фронтальной обеспечивает требуемое увеличение, фокусное расстояние и качество изображения, а также определяет высоту объектива и длину тубуса микроскопа.
Классификация объективов
Классификация объективов значительно сложнее классификации микроскопов. Объективы разделяются по принципу расчетного качества изображения, параметрическим и конструктивно-технологическим признакам, а также по методам исследования и контрастирования.
По принципу расчетного качества изображения
объективы могут быть:
ахроматическими;
апохроматическими;
объективами плоского поля (план).
Ахроматические объективы
.
Ахроматические объективы рассчитаны для применения в спектральном диапазоне 486—656 нм. Исправление любой аберрации (ахроматизация) выполнено для двух длин волн. В этих объективах устранены сферическая аберрация, хроматическая аберрация положения, кома, астигматизм и частично — сферохроматическая аберрация. Изображение объекта имеет несколько синевато-красноватый оттенок.
Апохроматические объективы
.
Апохроматические объективы имеют расширенную спектральную область, и ахроматизация выполняется для трех длин волн. При этом, кроме хроматизма положения, сферической аберрации, комы и астигматизма, достаточно хорошо исправляются также вторичный спектр и сферохроматическая аберрация, благодаря введению в схему линз из кристаллов и специальных стекол. По сравнению с ахроматами, эти объективы обычно имеют повышенные числовые апертуры, дают четкое изображение и точно передают цвет объекта.
Полуапохроматы
или микрофлюары
.
Современные объективы, обладающие промежуточным качеством изображения.
Планобъективы
. В планобъективах исправлена кривизна изображения по полю, что обеспечивает резкое изображение объекта по всему полю наблюдения. Планобъективы обычно применяются при фотографировании, причем наиболее эффективно применение планапохроматов.
Потребность в подобного типа объективах возрастает, однако они достаточно дороги из-за оптической схемы, реализующей плоское поле изображения, и применяемых оптических сред. Поэтому рутинные и рабочие микроскопы комплектуются так называемыми экономичными объективами. К ним относятся объективы с улучшенным качеством изображения по полю: ахростигматы (фирма LEICA), СР-ахроматы и ахропланы (фирма CARLZEISS), стигмахроматы (фирма ЛОМО).
По параметрическим признакам
объективы делятся следующим образом:
объективы с конечной длиной тубуса (например, 160 мм) и объективы, скорректированные на длину тубуса «бесконечность» (например, с дополнительной тубусной системой, имеющей фокусное расстояние 160 мм);
объективы малых (до 10х); средних (до 50х) и больших (более 50х) увеличений, а также объективы со сверхбольшим увеличением (свыше 100 х);
объективы малых (до 0,25), средних (до 0,65) и больших (более 0,65) числовых апертур, а также объективы с увеличенными (по сравнению с обычными) числовыми апертурами (например, объективы апохроматической коррекции, а также специальные объективы для люминесцентных микроскопов);
объективы с увеличенными (по сравнению с обычными) рабочими расстояниями, а также с большими и сверхбольшими рабочими расстояниями (объективы для работы в инвертированных микроскопах). Рабочее расстояние — это свободное расстояние между объектом (плоскостью покровного стекла) и нижним краем оправы (линзы, если она выступает) фронтального компонента объектива;
объективы, обеспечивающие наблюдение в пределах нормального линейного поля (до 18 мм); широкопольные объективы (до 22,5 мм); сверхширокопольные объективы (более 22,5 мм);
объективы стандартные (45 мм, 33 мм) и нестандартные по высоте. Высота — расстояние от опорной плоскости объектива (плоскости соприкосновения ввинченного объектива с револьверным устройством) до плоскости предмета при сфокусированном микроскопе, является постоянной величиной и обеспечивает парфокальность комплекта аналогичных по высоте объективов разного увеличения, установленных в револьверном устройстве. Иными словами, если с помощью объектива одного увеличения получить резкое изображение объекта, то при переходе к последующим увеличениям изображение объекта остается резким в пределах глубины резкости объектива.
По конструктивно-технологическим признакам
существует следующее разделение:
объективы, имеющие пружинящую оправу (начиная с числовой апертуры 0,50), и без нее;
объективы, имеющие ирисовую диафрагму внутри для изменения числовой апертуры (например, в объективах с увеличенной числовой апертурой, в объективах проходящего света для реализации метода темного поля, в поляризационных объективах отраженного света);
объективы с корректирующей (управляющей) оправой, которая обеспечивает движение оптических элементов внутри объектива (например, для корректировки качества изображения объектива при работе с различной толщиной покровного стекла или с различными иммерсионными жидкостями; а также для изменения увеличения при плавной — панкратической — смене увеличения) и без нее.
По обеспечению методов исследования и контрастирования
объективы можно разделить следующим образом:
объективы, работающие с покровным и без покровного стекла;
объективы проходящего и отраженного света (безрефлексные); люминесцентные объективы (с минимумом собственной люминесценции); поляризационные объективы (без натяжения стекла в оптических элементах, т. е. не вносящие собственную деполяризацию); фазовые объективы (имеющие фазовый элемент — полупрозрачное кольцо внутри объектива); объективы ДИК (DIC), работающие по методу дифференциально-интерференционного контраста (поляризационные с призменным элементом); эпиобъективы (объективы отраженного света, предназначенные для обеспечения методов светлого и темного поля, имеют в конструкции специально рассчитанные осветительные эпи-зеркала);
иммерсионные и безыммерсионные объективы.
Иммерсия (от лат. immersio — погружение) — жидкость, заполняющая пространство между объектом наблюдения и специальным иммерсионным объективом (конденсором и предметным стеклом). В основном применяются три типа иммерсионных жидкостей: масляная иммерсия (МИ/Oil), водная иммерсия (ВИ/W) и глицериновая иммерсия (ГИ/Glyc), причем последняя в основном применяется в ультрафиолетовой микроскопии. Иммерсия применяется в тех случаях, когда требуется повысить разрешающую способность микроскопа или ее применения требует технологический процесс микроскопирования. При этом происходит: 1. повышение видимости за счет увеличения разности показателя преломления среды и объекта;
2. увеличение глубины просматриваемого слоя, который зависит от показателя преломления среды.
Кроме того, иммерсионная жидкость может уменьшать количество рассеянного света за счет исчезновения бликов от объекта. При этом устраняются неизбежные потери света при его попадании в объектив.
Иммерсионные объективы.
Качество изображения, параметры и оптическая конструкция иммерсионных объективов рассчитываются и выбираются с учетом толщины слоя иммерсии, которая рассматривается как дополнительная линза с соответствующим показателем преломления. Иммерсионная жидкость, расположенная между объектом и фронтальным компонентом объектива, увеличивает угол, под которым рассматривается объект (апертурный угол). Числовая апертура безыммерсионного (сухого) объектива не превышает 1,0 (разрешающая способность порядка 0,3 мкм для основной длины волны); иммерсионного — доходит до 1,40 в зависимости от показателя преломления иммерсии и технологических возможностей изготовления фронтальной линзы (разрешающая способность такого объектива порядка 0,12 мкм).
Иммерсионные объективы больших увеличений имеют короткое фокусное расстояние — 1,5—2,5 мм при свободном рабочем расстоянии 0,1—0,3 мм (расстояние от плоскости препарата до оправы фронтальной линзы объектива).
Окуляры
Оптические системы, предназначенные для построения микроскопического изображения на сетчатке глаза наблюдателя. В общем виде окуляры состоят из двух групп линз: глазной — ближайшей к глазу наблюдателя — и полевой — ближайшей к плоскости, в которой объектив строит изображение рассматриваемого объекта.
Окуляры классифицируются по тем же группам признаков, что и объективы: 1. окуляры компенсационного (К — компенсируют хроматическую разность увеличения объективов свыше 0,8%) и безкомпенсационного действия; 2. окуляры обычные и плоского поля; 3. окуляры широкоугольные (с окулярным числом — произведение увеличения окуляра на его линейное поле — более 180); сверхширокоугольные (с окулярным числом более 225); 4. окуляры с вынесенным зрачком для работы в очках и без; 5. окуляры для наблюдения, проекционные, фотоокуляры, гамалы; 6. окуляры с внутренней наводкой (с помощью подвижного элемента внутри окуляра происходит настройка на резкое изображение сетки или плоскость изображения микроскопа; а также плавное, панкратическое изменение увеличения окуляра) и без нее.
Осветительная система
Осветительная система микроскопа представляет собой систему линз, диафрагм и зеркал (последние применяются при необходимости), обеспечивающую равномерное освещение объекта и полное заполнение апертуры объектива.
Осветительная система микроскопа проходящего света состоит из двух частей — коллектора и конденсора.
Коллектор.
При встроенной осветительной системе проходящего света коллекторная часть расположена вблизи источника света в основании микроскопа и предназначена для увеличения размера светящегося тела. Для обеспечения настройки коллектор может быть выполнен подвижным и перемещаться вдоль оптической оси. Вблизи коллектора располагается полевая диафрагма микроскопа.
Конденсор.
Оптическая система конденсора предназначена для увеличения количества света, поступающего в микроскоп. Конденсор располагается между объектом (предметным столиком) и осветителем (источником света). Чаще всего в учебных и простых микроскопах конденсор может быть выполнен несъемным и неподвижным. В остальных случаях конденсор является съемной частью и при настройке освещения имеет фокусировочное перемещение вдоль оптической оси и центрировочное перемещение, перпендикулярное оптической оси.
При конденсоре всегда находится осветительная апертурная ирисовая диафрагма.
Конденсор является одним из основных элементов, обеспечивающих работу микроскопа по различным методам освещения и контрастирования:
косое освещение (диафрагмирование от края к центру и смещение осветительной апертурной диафрагмы относительно оптической оси микроскопа);
темное поле
(максимальное диафрагмирование от центра к краю осветительной апертуры);
фазовый контраст
(кольцевое освещение объекта, при этом изображение светового кольца вписывается в фазовое кольцо объектива).
Классификация конденсоров
близка по группам признаков к объективам: 1. конденсоры по качеству изображения и типу оптической коррекции делятся на неахроматические, ахроматические, апланатические и ахроматические-апланатические; 2. конденсоры малой числовой апертуры (до 0,30), средней числовой апертуры (до 0,75), большой числовой апертуры (свыше 0,75); 3. конденсоры с обычным, большим и сверхбольшим рабочим расстоянием; 4. обычные и специальные конденсоры для различных методов исследования и контрастирования;
5. конструкция конденсора — единая, с откидным элементом (фронтальным компонентом или линзой большого поля), со свинчивающимся фронтальным элементом.
Конденсор Аббе
— не исправленный по качеству изображения конденсор, состоящий из 2-х неахроматических линз: одной — двояковыпуклой, другой — плосковыпуклой, обращенной к объекту наблюдения (плоская сторона этой линзы направлена вверх). Апертура конденсора А= 1,20. Имеет ирисовую диафрагму.
Апланатический конденсор
— конденсор, состоящий из трех линз, расположенных следующим образом: верхняя линза — плосковыпуклая (плоская сторона направлена к объективу), далее следуют вогнуто-выпуклая и двояковыпуклая линзы. Исправлен в отношении сферической аберрации и комы. Апертура конденсора А = 1,40. Имеет ирисовую диафрагму.
Ахроматический конденсор
— конденсор, полностью исправленный в отношении хроматической и сферической аберрации.
Конденсор темного поля
— конденсор, предназначенный для получения эффекта темного поля. Может быть специальным или переделан из обычного светлопольного конденсора путем установки в плоскости ирисовой диафрагмы конденсора непрозрачного диска определенного размера.
Глава 2. ЦИФРОВОЙ МИКРОСКОП И ПРИМЕНЕНИЕ ЕГО НА УРОКАХ БИОЛОГИИ
В современном мире цифровых технологий, оптические микроскопы считаются устаревшими, на смену им пришли цифровые аналоги. Это дает как преимущества, так и недостатки. Но, несомненно, у цифровых микроскопов больший потенциал и возможности, использовать которые теперь может любой ученик.
Микроскоп — лабораторная оптическая система для получения увеличенных изображений малых объектов с целью рассмотрения, изучения и применения на практике. Совокупность технологий изготовления и практического использования микроскопов называют микроскопией.
С помощью микроскопов определяют форму, размеры, строение и многие другие характеристики микрообъектов, а также микроструктуры макрообъектов.
История создания микроскопа в целом заняла немало времени. Постепенно развитее оптических технологий привело к появлению более качественных линз, более точных удерживающих устройств.
К концу 20 века оптические микроскопы подошли к вершине своего развития. Следующим этапом стало появление цифровых микроскопов, в которых объектив был заменен на цифровую камеру.
Собственно, главное отличие цифрового микроскопа от обычного – отсутствие окуляра, через который наблюдается объект человеческим глазом. Вместо этого установлена цифровая камера, во-первых, не дающая искажений (уменьшается кол-во линз), во-вторых, улучшается цветопередача, а так же изображения получаются в цифровом виде, что позволяет проводить дополнительную постобработку, а так же хранить огромные массивы фотографий всего лишь на одном жестком диске.
увеличительный прибор микроскоп биология


Цифровой микроскоп Digital Blue QX5 приспособлен для работы в школьных условиях. Он снабжен преобразователем визуальной информации в цифровую, обеспечивающим передачу в компьютер в реальном времени изображения микрообъекта и микропроцесса, а также их хранение, в том числе в форме цифровой видеозаписи. Микроскоп имеет простое строение, USB-интерфейс, двухуровневую подсветку. В комплекте с ним шло программное обеспечение с простым и понятным интерфейсом.
При скромных, с современной точки зрения, системных требованиях он позволяет:
Увеличивать изучаемые объекты, помещённые на предметный столик, в 10, 60 и 200 раз (переход осуществляется поворотом синего барабана)
Использовать как прозрачные, так и непрозрачные объекты, как фиксированные, так и нефиксированные
Исследовать поверхности достаточно крупных объектов, не помещающихся непосредственно на предметный столик
Фотографировать, а также производить видеосъёмку происходящего, нажимая соответствующую кнопку внутри интерфейса программы
Фиксировать наблюдаемое, не беспокоясь в этот момент о его сохранности – файлы автоматически оказываются на жёстком диске компьютера.
Задавать параметры съёмки, изменяя частоту кадров – от 4-х кадров в секунду до 1 в час
Производить простейшие изменения в полученных фотографиях, не выходя из программы микроскопа: наносить подписи и указатели, копировать части изображения и так далее.
Экспортировать результаты для использования в других программах:
графические файлы - в форматах *.jpg или *.bmp, а видео файлы – в формате *.avi
Собирать из полученных результатов фото - и видеосъёмки демонстрационные подборки-«диафильмы» (память программы может хранить одновременно 4 последовательности, включающих до 50 объектов каждая). Впоследствии подборку кадров, временно неиспользуемую, можно спокойно разобрать, так как графические файлы остаются на жёстком диске компьютера
Распечатывать полученный графический файл в трёх разных режимах:
9 уменьшенных изображений на листе А4, лист А4 целиком, увеличенное изображение, разбитое на 4 листа А4
Демонстрировать исследуемые объекты и все производимые с ними действия на мониторе персонального компьютера и/или на проекционном экране, если к компьютеру подключён мультимедиа проектор
Что даёт учителю и ученику цифровой микроскоп, применительно к урокам биологии?
Одна из самых больших сложностей, подстерегающих учителя биологии при проведении лабораторной работы с традиционным микроскопом, это практически отсутствующая возможность понять, что же в действительности видят его ученики. Сколько раз зовут ребята совсем не к тому, что нужно – в поле зрения либо край препарата, либо пузырёк воздуха, либо трещина…
Хорошо, если для проведения подобных обязательных по программе работ есть постоянный лаборант, либо подготовленные общественные помощники. А если Вы один - на 25 человек и 15 микроскопов? А стоящий посередине парты (один на двоих!) микроскоп нельзя сдвигать – иначе все настройки света и резкости сбиваются, при этом результаты работы (а также время и интерес) теряются.
Те же занятия проходят значительно легче и эффективнее, если проведение лабораторной работы предваряется вводным инструктажём, проведённым с помощью цифрового микроскопа.
В этом случае реально производимые и одновременно демонстрируемые через проектор действия с препаратом и получаемое при этом изображение – лучшие помощники.
Они наглядно предъявляют ученику правильный образ действия и ожидаемый результат. Резкость изображения и в компьютерном варианте микроскопа достигается с помощью поворота винтов.
Важно и то, что можно указать и подписать части препарата, собрав из этих кадров слайд-шоу.
Сделать это можно как сразу на уроке, так и в процессе подготовки к нему.
После такого вводного инструктажа проведение лабораторной работы с помощью традиционных оптических микроскопов становится легче и эффективнее.
Если у Вас нет луп, то данный микроскоп можно использовать как бинокуляр (увеличение в 10 или 60 раз). Объектами исследования являются части цветка, поверхности листьев, корневые волоски, семена или проростки. А плесени – хоть мукор, хоть пеницилл? Для членистоногих – это все их интересные части: лапки, усики, ротовые аппараты, глаза, покровы (например, чешуйки крыльев бабочек). Для хордовых – чешуя рыбы, перья птиц, шерсть, зубы, волосы, ногти, и многое-многое другое. Это далеко не полный список.
Важно и то, что очень многие из указанных объектов после исследования, организованного с помощью цифрового микроскопа, останутся живы: насекомых – взрослых или их личинок, пауков, моллюсков, червей можно наблюдать, поместив в специальные чашечки Петри (их в наборе с каждым микроскопом две + пинцет, пипетка, 2 баночки с крышечками для сбора материала). А любое комнатное растение, поднесённое в горшке на расстояние около 2-х метров к компьютеру, легко становится объектом наблюдения и исследования, не теряя при этом ни одного листочка или цветочка. Это возможно благодаря тому, что верхняя часть микроскопа снимается, и при поднесении к объекту работает как веб-камера, давая 10-кратное увеличение. Единственное неудобство состоит в том, что фокусировка при этом осуществляется только за счёт наклона и приближения-удаления.
Зато, поймав нужный угол, Вы легко выполните фотографию, не тянясь к компьютеру – прямо на части микроскопа, находящейся у Вас в руках, есть необходимая кнопка: нажали раз – получили фотографию, нажали и удерживаете – осуществляется видеосъёмка.
Качество получаемых с помощью цифрового микроскопа графических файлов
Эпидермис листа
Эпидермис листа - это покровная ткань листа, иначе ее называют кожицей. Она образована одним слоем плоских клеток, которые плотно прилегают друг к другу. Эти клетки под микроскопом кажутся светлыми, прозрачными из-за того, что значительный объем в них занимает центральная вакуоль, заполненная клеточным соком. Вакуоль оттесняет к периферии клетки ядро и все клеточные органоиды. Тем не менее, ядро хорошо видно в каждой клетке, в нем хранится вся наследственная информация. Хлоропласты в основных клетках эпидермиса листа обычно отсутствуют. Среди основных клеток кожицы выделяются клетки другой формы, они лежат попарно, образуя устьица. Каждое устьице состоит из двух замыкающих клеток бобовидной формы, и между этими клетками имеется щель в виде линзы. Эта щель называется устьичной щелью и представляет собой межклеточное пространство. Форма устьичной щели и ее размер могут изменяться в зависимости от того, насколько плотно прилегают друг к другу замыкающие устьичные клетки. В замыкающих устьичных клетках можно увидеть ядро, и в них всегда присутствуют хлоропласты, осуществляющие процесс фотосинтеза. С внешней поверхности каждая клетка кожицы листа покрыта особым защитным слоем - кутикулой. Кутикула может быть толстой и жесткой. В ее состав могут входить жироподобные вещества и воск. Кутикула должна быть прозрачной, чтобы не препятствовать проникновению солнечного света к внутренним тканям листа, где активно проходит процесс фотосинтеза. Эпидермис выполняет очень важную роль в жизнедеятельности листьев. Он защищает лист от повреждений и высыхания. Через открытые устьичные щели внутрь листа поступает воздух, он необходим для дыхания и фотосинтеза. Также через открытые устьичные щели выделяются кислород, который образуется в процессе фотосинтеза, и пары воды. Если растение испытывает недостаток воды, например, в жаркую сухую погоду, то устьичные щели закрываются. Так растение защищает себя от излишней потери воды. Ночью устьица так же обычно бывают закрыты.
Зародыш семени
Зародыш - это самая главная часть семени. Фактически - это микроскопическое растение, у которого есть все органы: зародышевый побег с зародышевым стеблем, зародышевыми листьями и зародышевой верхушечной почкой, а так же зародышевый корень. На препарате зародышевый побег направлен в одну сторону, зародышевый корень ориентирован строго противоположно. На участке между зародышевой почкой, прикрытой зародышевыми листьями, и корнем находится зародышевый стебель. Непосредственно к зародышу с одной стороны примыкает семядоля. Ее клетки по интенсивности окрашивания такие же, как клетки стебля. Семядоля - это особый лист зародыша. Семядоли защищают зародышевую почку, первыми появляясь на поверхности почвы. На препарате видно одну семядолю, следовательно, данный зародыш относится к однодольным растениям. Зародыш семени лучше рассматривать под малым увеличением микроскопа, чтобы он смог поместиться в поле зрения микроскопа целиком.
Кожица лука
Луковица - это видоизмененный побег с коротким плоским стеблем (донцем) и мясистыми сочными листьями чешуями. Поэтому кожица лука представляет собой эпидермис листа, который развивается в темноте без доступа света, в результате чего в клетках кожицы лука отсутствуют хлоропласты. Вместо хлоропластов в этих клетках имеются бесцветные пластиды - лейкопласты. Клетки кожицы лука имеют удлиненную форму, близкую прямоугольной. Границы клеток хорошо видны, они представлены прозрачными оболочками, достаточно твердыми, чтобы поддерживать форму клеток. По клеточным оболочкам возможна передача воды от клетки к клетке, а так же растворенных в воде веществ. Клетки выглядят светлыми прозрачными, благодаря тому, что значительный их объем занимает большая центральная вакуоль с клеточным соком. Вакуоль - это место запаса воды в клетке. В ней в растворенном виде могут находиться запасные питательные вещества, пигменты, растворы органических кислот, минеральных солей и разнообразные продукты жизнедеятельности растительной клетки. Вакуоль оттесняет ядро и цитоплазму к периферии клетки, при этом цитоплазма разделяется на отдельные тяжи. Тяжи цитоплазмы выявляются под микроскопом при большом увеличении в виде узких лент, отходящих лучами от ядра. В тяжах цитоплазмы проявляется зернистая структурированность, что связано с наличием в цитоплазме разнообразных органелл.
Корневой чехлик
Верхушка корня вытянута в конус и направлена к центру Земли. Она защищена корневым чехликом, который представляет собой колпачок на верхушке корня. Он состоит из нескольких слоев клеток. Эти клетки играют очень важную роль при углублении корня в почву. С поверхности чехлика клетки слущиваются, при этом выделяется слизь, которая смазывает почву и обеспечивает скольжение корня в глубину. С внутренней поверхности корневого чехлика идет постоянное пополнение клеток. Своей внутренней поверхностью корневой чехлик примыкает к самой верхушечной части корня, где постоянно происходит деление клеток, то есть находится образовательная ткань. За счет образовательной ткани верхушки корня и происходит постоянное пополнение клеток корневого чехлика. На препарате зона корневого чехлика хорошо отличается от верхушки корня. Корневой чехлик в виде короны обрамляет образовательную зону корня. Клетки в нем лежат более рыхло, чем на верхушке корпя. Наружный край неровный за счет слушивания клеток. Толщина слоя корневого чехлика в самом объемном месте - несколько десятков клеток.
Пыльца цветкового растения
Пыльца образуется внутри пыльника тычинки цветущего растения. Созревшая пыльца принимает участие в процессе опыления, то есть переносится с тычинок на рыльце пестика. Если опыление не произойдет, то плодов не образуется. Пыльца переносится ветром или насекомыми, в зависимости от того, к какому опылению приспособлен цветок. Пыльца может переноситься на рыльце пестика того же цветка, где она созрела (самоопыление), на рыльца пестиков других цветков того же растения, а так же на рыльца пестиков цветков других растений того же вида (перекрестное опыление). При анализе под микроскопом пыльца выявляется в виде зернышек с ярко выраженной морфологией. Поверхность пылинки покрыта сложной защитной оболочкой, па которой могут выявляться выступы или бугорки разнообразной формы. Эти структуры являются морфологическим видовым признаком растения. Под оболочками пыльцевого зерна находятся живые клетки. Одна клетка называется вегетативной. Когда пыльцевое зерно прорастает, попав на рыльце пестика, она образует пыльцевую трубку. Пыльцевая трубка проходит через отверстие в оболочке пыльцевого зерна и растет, продвигаясь внутрь рыльца и столбика пестика, по направлению к завязи. Кроме вегетативной клетки, в прорастающем пыльцевом зерне имеются мужские половые клетки - спермин, их два. Вот они-то и участвуют в процессе оплодотворения, перемещаясь по пыльцевой трубке к завязи.
Срез ветки дерева
Ветвление дерева - это процесс образования новых побегов. Увеличение числа побегов приводит к возрастанию поверхности листьев, обеспечивающих процесс фотосинтеза, с помощью которого растение производит все необходимые ему органические вещества. Длинную ось каждого побега составляет стебель. На поперечном срезе хорошо видно, что снаружи стебель покрыт кожицей, которая защищает стебель от воздействия окружающей среды. К кожице изнутри прилегает пробка - многослойная ткань, в которой нет живых клеток. На срезе в составе пробки видны толстые оболочки клеток, они не проницаемы для воды и воздуха. В некоторых местах пробки встречаются участки, где клетки не плотно прилегают друг к другу, а расположены рыхло. Это чечевички, структуры, через межклетники которых осуществляется газообмен. Под пробкой стебля находится кора. Она образована разными тканями. По самому краю корм залегают живые клетки с утолщенными оболочками и зернами крахмала. Внутренняя часть коры называется лубом, который включает проводящую ткань, паренхимные клетки и лубяные волокна. Главный проводящий элемент луба - ситовидные трубки с клетками спутницами. Ситовидные трубки образованы длинными живыми клетками, расположенными строго друг над другом. В местах соединения этих длинных клеток имеется множество мелких отверстий, совокупность которых напоминает сито, что объясняет название этих клеток. Ситовидные трубки собраны в пучки, между которыми находятся паренхимные клетки и лубяные волокна. Ситовидные трубки проводят вещества, синтезированные в листьях, к более низко расположенным частям растения. К центру от луба расположена древесина. Это другая проводящая ткань, она проводит воду и растворенные в ней минеральные и органические вещества от подземных органов - к надземным. Проводящую функцию в древесине выполняют сосуды и трахеиды. Сосуды состоят из мертвых клеток, оболочки которых утолщенные и одревесневшие. Перегородки между клетками отсутствуют, и, фактически, сосуд представляет собой трубку с многочисленными порами в стенке. Трахеиды так же состоят из мертвых клеток, но с перегородками. Клетки трахеид сильно вытянуты в длину и имеют заостренные концы, которые и образуют косые перегородки. Стенки трахеид так же одревесневшие, в них и в перегородках имеется множество пор. К центру от древесины расположена сердцевина. Она образована живыми паренхимными клетками, сходными с паренхимными клетками коры. Эти клетки выполняют запасающую функцию. Между лубом и древесиной залегает тонкий слой клеток, способных к делению, - это камбий. Благодаря делению клеток камбия стебель растет в толщину. Большее количество клеток камбия превращается в древесину, меньшее - в луб. Прирост древесины за год по толщине стебля называется годичным кольцом. По количеству годичных колец можно подсчитать возраст спиленной ветки.
Срез стебля травянистого растения
У травянистых растений отсутствуют прямостоячие надземные стебли, способные пережить зимы. Их стебли являются мягкими, сочными, одревеснение, если и наблюдается, то слабое. Основная масса стебля представлена паренхимой, камбий в проводящих пучках отсутствует или его деятельность выражена слабо. На данном препарате представлен поперечный срез однодольного травянистого растения. Снаружи стебель покрыт кутикулой. Это тонкая защитная пленка из жироподобных веществ, которая покрывает эпидермис, образованный клетками, лежащими в один слой. Под эпидермисом находится тонкий слой клеток, в которых могут быть хлоропласты. Глубже этого слоя находится основная ткань стебля - паренхима, в которой нет подразделения на кору и сердцевину. В паренхиме расположены проводящие пучки, в состав которых входят ситовидные трубки с клетками спутницами и 2 - 3 крупных сосуда. По периферии стебля пучки более мелкие, ближе к центру стебля - они гораздо крупнее. По сосудам поднимается вода из почвы с растворенными в ней минеральными и органическими веществами. По ситовидным трубкам происходит отток веществ, синтезированных в листьях, к более низким частям растения.
Поперечный срез корня
Корень - это вегетативный орган растения, который расположен в почве. Корень выполняет очень важные функции. Он закрепляет растение в почве, поглощает воду с растворенными в ней минеральными и органическими веществами, некоторые вещества, синтезированные в листьях растения, откладываются в клетках корня в запас. По длине корень делится на несколько зон, каждая из которых выполняет свои специфические функции. На данном препарате представлен срез корня через зону всасывания. Это зона корневых волосков. Корневые волоски представляют собой выросты клеток покровной ткани корня. Они могут достигать 1 см в длину. Эти структуры увеличивают всасывательную поверхность корня. К покровным тканям корня относятся 1 - 2 ряда клеток, покрывающих корень снаружи. Эти клетки плотно прилегают друг к другу и выделяют слизь. Под ними в глубине корня находится кора. Оболочки наружных слоев клеток коры опробковевают и выполняют защитные и опорные функции. Под этим защитным слоем клеток находится паренхима, представленная живыми клетками с тонкими стенками. В этих клетках откладываются запасные питательные вещества. Кора окружает центральный цилиндр корня. На границе центрального цилиндра залегает слой клеток, способных к делению, благодаря чему могут образовываться боковые и придаточные корни. Основную часть центрального цилиндра занимают проводящие ткани: сосуды и ситовидные трубки. Тяжи этих тканей тянутся вдоль всего корня и проходят, не прерываясь, в другие органы. По сосудам вода с растворенными минеральными солями поступает к надземным органам. По ситовидным трубкам растворы органических веществ, образованных в листьях в процессе фотосинтеза, поступают в паренхиму корня.
Биологические исследования с использованием цифрового микроскопа. Лабораторная работа "Строение эпителиальных тканей"
В условиях перехода общего образования к профильному обучению учащихся на старшей ступени школы повышение качества биологического образования, уровня биологических знаний учащихся и выпускников общеобразовательных школ может быть достигнуто при внедрении в практику школ использования цифрового микроскопа.
Цифровой микроскоп может быть использован при проведении лабораторных работ элективных курсов повышенного уровня в которых углубленно изучают отдельные разделы основного курса биологии. Такие работы выходят за рамки базового образования и включают практические и лабораторные работы, проведение которых с использованием цифрового микроскопа позволит учащимся почувствовать себя исследователями при изучении тканей растений, животных, человека.
Использование на уроке биологии цифрового микроскопа совместно с компьютером позволяет получить увеличенное изображение изучаемого объекта (микропрепарата) на экране монитора (при работе в группе или в классах с малым числом учащихся) или на большом экране (при работе с целым классом) с помощью выносного проекционного устройства, подключаемого к компьютеру. Цифровой микроскоп позволяет
· изучать исследуемый объект не одному ученику, а группе учащихся одновременно;
· использовать изображения объектов в качестве демонстрационных таблиц для объяснения темы или при опросе учащихся;
· применять разноуровневые задания для учеников одного класса;
· создавать презентационные видеоматериалы по изучаемой теме;
· использовать изображения объектов на бумажных носителях в качестве раздаточного или отчетного материала.
Использование цифрового микроскопа при проведении школьных биологических исследований дает ощутимый дидактический эффект в планемотивации
, систематизации и углубления знаний учеников, то есть формирования так называемых обучающих возможностей, развития способностей учащихся к приобретению и усвоению знаний.
Ход урока
Лабораторная работа «Строение эпителиальных тканей».
Цель:
познакомиться с особенностями строения и классификацией эпителиев, примерами желез.
Объекты иизученя:
готовые микропрепараты «Высокий призматический эпителий почки кролика», «Низкий призматический эпителий почки кролика», «Роговица глаза коровы», «Мерцательный эпителий кишечника беззубки», «Однослойный эпителий».
Оборудование:
цифровой микроскоп.
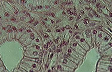
Клетки микропрепарата окрашены розовым цветом, ядра сиреневым. При изучении микропрепарата обращают внимание на форму клеток, их тесное соприкосновение. Микропрепарат рассматривают под микроскопом при увеличении 80х и 200х.
При увеличении 80х наблюдают рыхлую соединительную ткань, состоящую из одноядерных округлых клеток и межклеточного вещества. На фоне соединительной ткани наблюдают срезы множества поперечных канальцев. В зависимости от диаметра просвета канальцев, они выстланы изнутри кубическими или призматическими клетками однослойного эпителия.
При увеличении 200х выбирают участок микропрепарата с хорошо различными клетками канальца. Ядра этих клеток крупные, расположены приблизительно в центре или ближе к базальной части клетки. Базальные концы эпителиальных клеток обращены к соединительной ткани и расположены на так называемой базальной мембране. Противоположные (апикальные) концы клеток, обращены в просвет канальца и скреплены замыкательными пластинками, которые препятствуют проникновению тканевой жидкости из канальцев в межклеточное пространство рыхлой соединительной ткани.
Препарат зарисовывают. После проведения наблюдений, используя материал учебника, заполняют таблицу «Эпителиальные ткани» по форме: начале урока учитель знакомлю учащихся с понятием ткани, основываясь на знаниях о

Микропрепарат «Высокий призматический эпителий почки кролика»

Микропрепарат «Низкий призматический эпителий почки кролика»
На микропрепарате «Высокий призматический эпителий почки кролика» при увеличении 200х наблюдают однослойный высокопризматический железистый эпителий. Обращают внимание на форму клеток и их тесное соприкосновение. Это высокие и узкие цилиндрические клетки. Благодаря такой форме на единицу площади эпителия приходится больше цитоплазмы. В каждой клетке наблюдают ядро, расположенное ближе к базальной части клеток. Базальные концы эпителиальных клеток обращены к соединительной ткани и расположены на базальной мембране. Противоположные (апикальные) концы клеток, обращены в просвет канала. Цилиндрический эпителий выстилает стенки желудка; слизь, выделяемая железистыми клетками, защищает слизистую желудка от воздействия его кислого содержимого и от переваривания ферментами.

Микропрепарат «Роговица глаза коровы»
На микропрепарате «Роговица глаза коровы» при увеличении 80х наблюдают несколько слоев эпителиальных клеток. На базальной мембране лежит слой клеток, которые активно размножаются — базальный слой. Выше этого слоя, по мере продвижения к свободной поверхности ткани, они уплощаются. Такие клетки называют чешуйками. На микропрепарате они неороговевшие, защищают нижележащие ткани от механических повреждений. Эпителий подстилает оболочка из соединительной ткани и строма.
Находят многослойный эпителий и перемещая микропрепарат, располагают его в верхней части поля зрения микроскопа. Находят строму, базальную мембрану, клетки базального, шиповатого и плоского слоев, обращая внимание на количество слоев клеток и форму ядер.

Препарат «Мерцательный эпителий кишечника беззубки».
Предлагаю ученикам зарисовать микропрепарат при увеличении 200х. На микропрепарате «Мерцательный эпителий кишечника беззубки» изучают однослойный многорядный мерцательный эпителий. Клетки разной высоты, все лежат на базальной мембране, ядра располагаются на разных уровнях. Клетки несут на своих свободных поверхностях многочисленные реснички.
Микропрепарат «Однослойный эпителий»


На микропрепарате «Железистый эпителий. Зеленая железа рака» (разветвленные альвеолярно-трубчатые железы) среди эпителиальных клеток могут находиться отдельные секреторные клетки, такие, как бокаловидные клетки, или скопления секреторных клеток, образующих многоклеточную железу. Существует два типа секреторных клеток — зкзокринные и эндокринные. Экзокринные клетки выделяют секрет на свободную поверхность эпителия. Продукты многоклеточных экзокринных желез выводятся на поверхность через протоки. Эндокринными называют железы, секрет которых выделяется непосредственно в кровоток. Эндокринные железы не имеют протоков; их называют также железами внутренней секреции.
На микропрепарате находят группы светло окрашенных секреторных отделов, имеющих форму округлых или вытянутых мешочков. От них в сторону просвета отходят узкие эпителиальные трубки - выводные протоки
После проведения наблюдений микропрепаратов ученикам заполняют таблицу «Эпителиальные ткани» следующего вида
.
|